IHCeasy® HADH Ready-To-Use IHC Kit
HADH Ready-to-use reagent kit for IHC.
Reactivity
Human
Sample Type
FFPE tissue
Cat no : KHC0552
Synonyms
HAD, HADH, HADH1, HADHSC, HCDH, HHF4, M/SCHAD, SCHAD
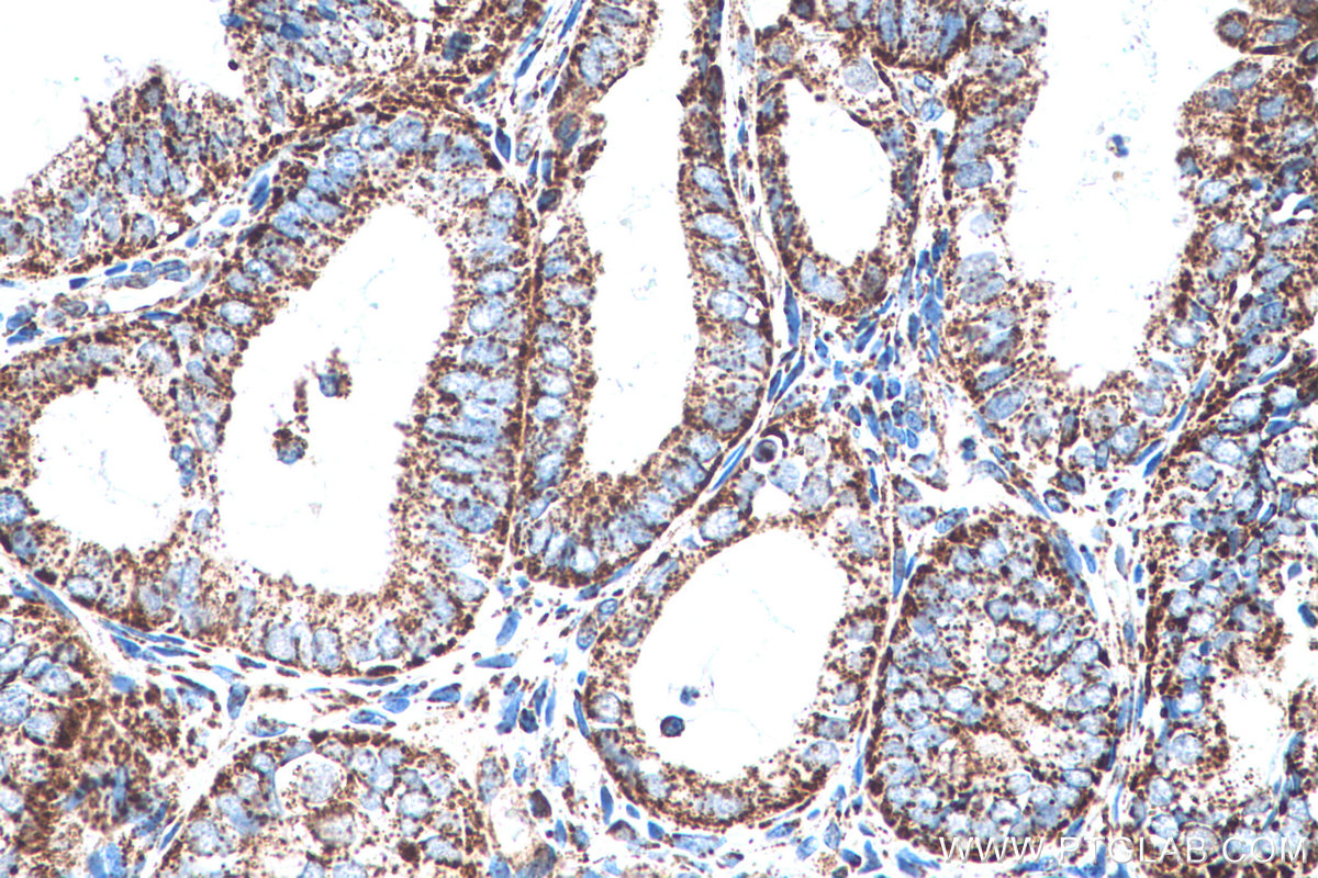
Validation Data Gallery
Product Information
KHC0552 is a ready-to-use IHC kit for staining of HADH. The kit provides all reagents, from antigen retrieval to cover slip mounting, that require little to no diluting or handling prior to use. Simply apply the reagents to your sample slide according to the protocol and you're steps away from obtaining high-quality IHC data.
| Product name | IHCeasy HADH Ready-To-Use IHC Kit |
| Sample type | FFPE tissue |
| Assay type | Immunohistochemistry |
| Primary antibody type | Rabbit Polyclonal |
| Secondary antibody type | Polymer-HRP-Goat anti-Rabbit |
| Reactivity | Human |
Kit components
| Component | Size | Concentration |
|---|---|---|
| Antigen Retrieval Buffer | 100 mL | 50× |
| Washing Buffer | 100 mL ×2 | 20× |
| Blocking Buffer | 5 mL | RTU |
| Primary Antibody | 5 mL | RTU |
| Secondary Antibody | 5 mL | RTU |
| Chromogen Component A | 0.2 mL | RTU |
| Chromogen Component B | 4 mL | RTU |
| Signal Enhancer | 5 mL | RTU |
| Counter Staining Reagent | 5 mL | RTU |
| Mounting Media | 5 mL | RTU |
| Datasheet | 1 Copy | |
| Manual | 1 Copy |
Background Information
HADH(Hydroxyacyl-coenzyme A dehydrogenase, mitochondrial) is also named as HAD, HADHSC, SCHAD and belongs to the 3-hydroxyacyl-CoA dehydrogenase family. It catalyzes the reversible dehydrogenation of 3-hydroxyacyl-CoAs to their corresponding 3-ketoacyl-CoAs with concomitant reduction of NAD to NADH and exerts it highest activity toward 3-hydroxydecanoyl-CoA.
Properties
| Storage Instructions | All the reagents are stored at 2-8°C. The kit is stable for 6 months from the date of receipt. |
| Synonyms | HAD, HADH, HADH1, HADHSC, HCDH, HHF4, M/SCHAD, SCHAD |




