IHCeasy® Glutaredoxin 5 Ready-To-Use IHC Kit
Glutaredoxin 5 Ready-to-use reagent kit for IHC.
Reactivity
Human, Mouse
Sample Type
FFPE tissue
Cat no : KHC3282
Synonyms
C14orf87, FLB4739, GLRX 5, GLRX5, Glutaredoxin-related protein 5, mitochondrial
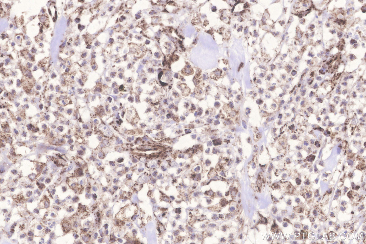
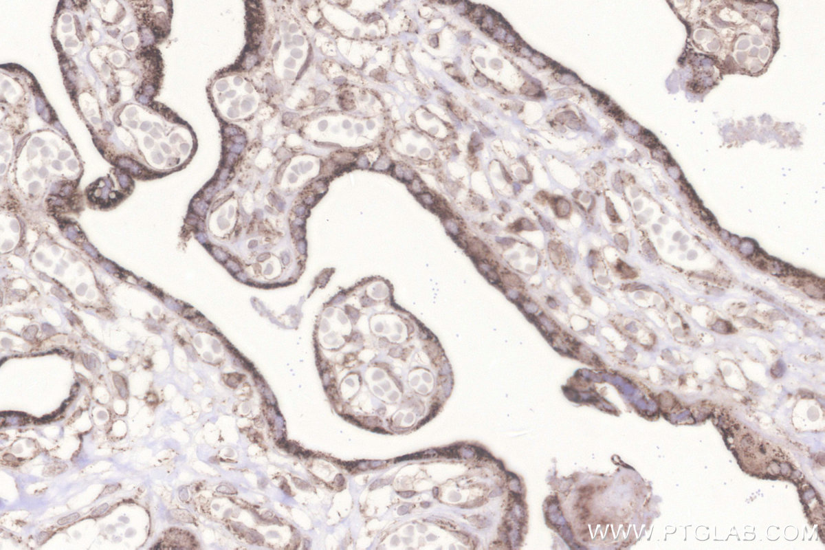
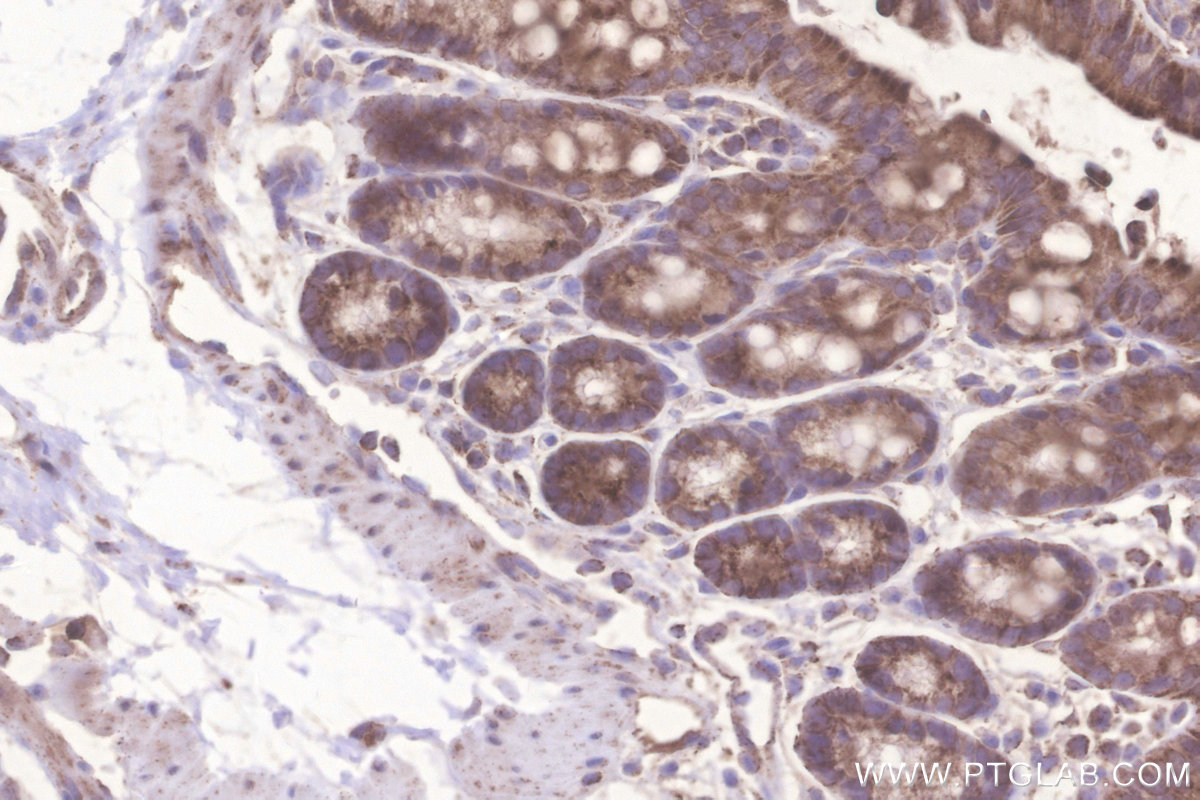
Validation Data Gallery
Product Information
KHC3282 is a ready-to-use IHC kit for staining of Glutaredoxin 5. The kit provides all reagents, from antigen retrieval to cover slip mounting, that require little to no diluting or handling prior to use. Simply apply the reagents to your sample slide according to the protocol and you're steps away from obtaining high-quality IHC data.
| Product name | IHCeasy® Glutaredoxin 5 Ready-To-Use IHC Kit |
| Sample type | FFPE tissue |
| Assay type | Immunohistochemistry |
| Primary antibody type | Rabbit Polyclonal |
| Secondary antibody type | Polymer-HRP-Goat anti-Rabbit |
| Reactivity | Human, Mouse |
Kit components
| Component | Size | Concentration |
|---|---|---|
| Antigen Retrieval Buffer | 100 mL | 50× |
| Washing Buffer | 100 mL ×2 | 20× |
| Blocking Buffer | 5 mL | RTU |
| Primary Antibody | 5 mL | RTU |
| Secondary Antibody | 5 mL | RTU |
| Chromogen Component A | 0.2 mL | RTU |
| Chromogen Component B | 4 mL | RTU |
| Signal Enhancer | 5 mL | RTU |
| Counter Staining Reagent | 5 mL | RTU |
| Mounting Media | 5 mL | RTU |
| Datasheet | 1 Copy | |
| Manual | 1 Copy |
Background Information
Glutaredoxin 5 (GLRX5) is an essential protein engaging in mitochondrial iron-sulfur cluster (ISC) transfers to iron regulatory protein (IRP), m-aconitase, and ferrochelatase. GLRX5 deficiency impairs heme biosynthesis, causing sideroblastic anemia and variant nonketotic hyperglycinemia in humans. Mutations of GLRX5 lead to distinct effects on downstream ISC biosynthesis and maturation.
Properties
| Storage Instructions | All the reagents are stored at 2-8°C. The kit is stable for 6 months from the date of receipt. |
| Synonyms | C14orf87, FLB4739, GLRX 5, GLRX5, Glutaredoxin-related protein 5, mitochondrial |





