IHCeasy® GTF3C2 Ready-To-Use IHC Kit
GTF3C2 Ready-to-use reagent kit for IHC.
Reactivity
Human, Mouse, Rat
Sample Type
FFPE tissue
Cat no : KHC1843
Synonyms
GTF3C2, KIAA0011, TF3C beta, TFIIIC 110 kDa subunit, TFIIIC BETA, TFIIIC110
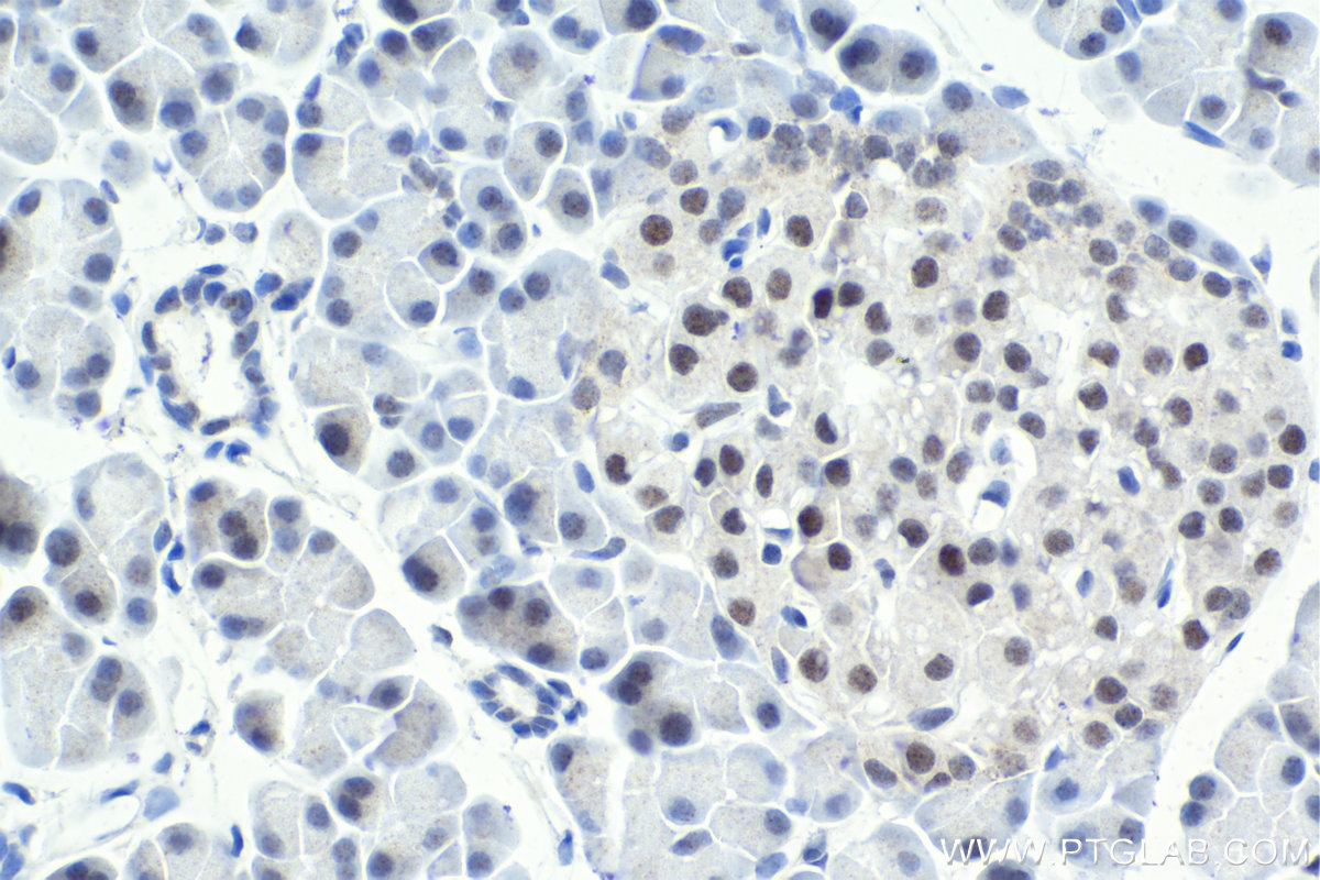
Validation Data Gallery
Product Information
KHC1843 is a ready-to-use IHC kit for staining of GTF3C2. The kit provides all reagents, from antigen retrieval to cover slip mounting, that require little to no diluting or handling prior to use. Simply apply the reagents to your sample slide according to the protocol and you're steps away from obtaining high-quality IHC data.
| Product name | IHCeasy GTF3C2 Ready-To-Use IHC Kit |
| Sample type | FFPE tissue |
| Assay type | Immunohistochemistry |
| Primary antibody type | Rabbit Polyclonal |
| Secondary antibody type | Polymer-HRP-Goat anti-Rabbit |
| Reactivity | Human, Mouse, Rat |
Kit components
| Component | Size | Concentration |
|---|---|---|
| Antigen Retrieval Buffer | 100 mL | 50× |
| Washing Buffer | 100 mL ×2 | 20× |
| Blocking Buffer | 5 mL | RTU |
| Primary Antibody | 5 mL | RTU |
| Secondary Antibody | 5 mL | RTU |
| Chromogen Component A | 0.2 mL | RTU |
| Chromogen Component B | 4 mL | RTU |
| Signal Enhancer | 5 mL | RTU |
| Counter Staining Reagent | 5 mL | RTU |
| Mounting Media | 5 mL | RTU |
| Datasheet | 1 Copy | |
| Manual | 1 Copy |
Background Information
GTF3C2, also named as KIAA0011, is a 911 amino acid protein, which localizes in the nucleus. GTF3C2 is required for RNA polymerase III-mediated transcription. GTF3C2 is a component of TFIIIC that initiates transcription complex assembly on tRNA and is required for transcription of 5S rRNA and other stable nuclear and cytoplasmic RNAs. GTF3C2 may play a direct role in stabilizing interactions of TFIIIC2 with TFIIIC1.
Properties
| Storage Instructions | All the reagents are stored at 2-8°C. The kit is stable for 6 months from the date of receipt. |
| Synonyms | GTF3C2, KIAA0011, TF3C beta, TFIIIC 110 kDa subunit, TFIIIC BETA, TFIIIC110 |





