IHCeasy® GSDMD Ready-To-Use IHC Kit
GSDMD Ready-to-use reagent kit for IHC.
Reactivity
Human, Mouse, Rat
Sample Type
FFPE tissue
Cat no : KHC2332
Synonyms
Gasdermin-D, C-terminal, Gasdermin-D, gasderminD, Gasdermin domain-containing protein 1, gasdermin D
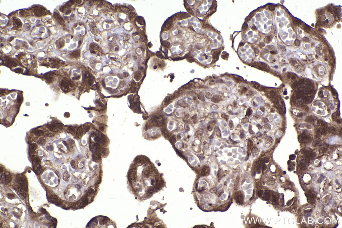
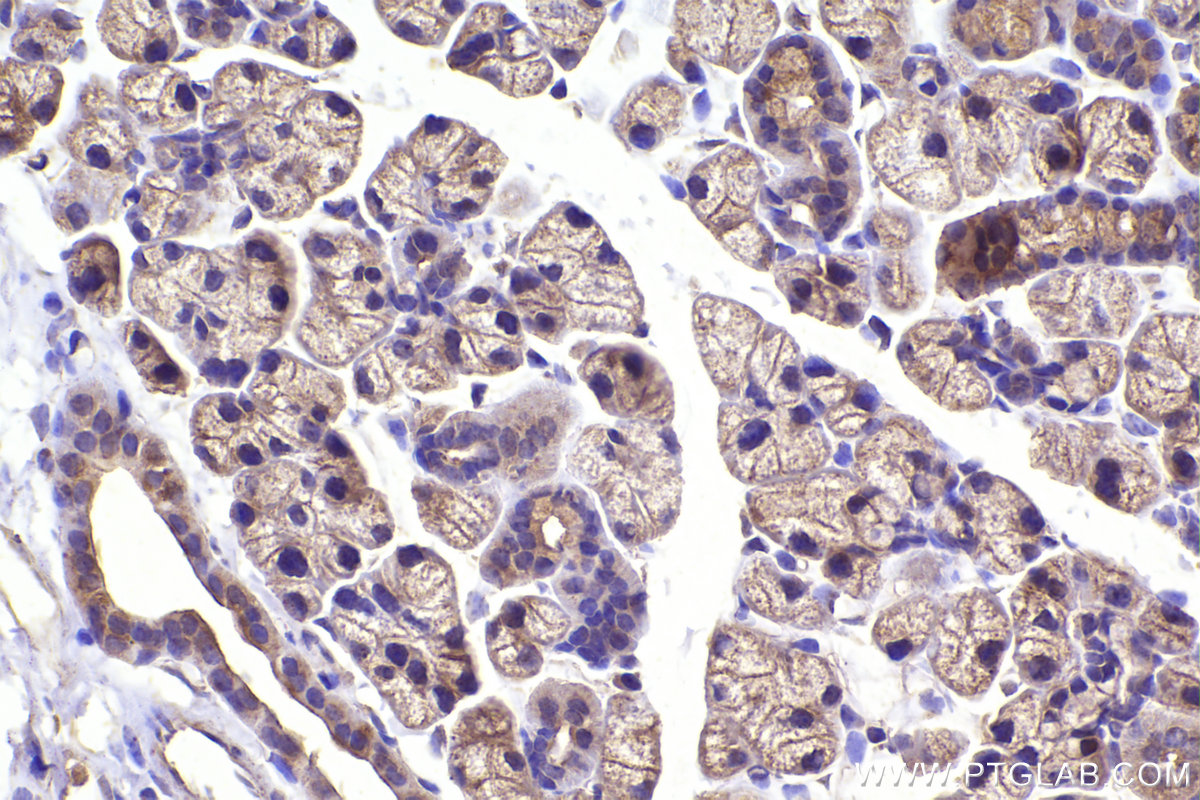
Validation Data Gallery
Product Information
KHC2332 is a ready-to-use IHC kit for staining of GSDMD. The kit provides all reagents, from antigen retrieval to cover slip mounting, that require little to no diluting or handling prior to use. Simply apply the reagents to your sample slide according to the protocol and you're steps away from obtaining high-quality IHC data.
| Product name | IHCeasy GSDMD Ready-To-Use IHC Kit |
| Sample type | FFPE tissue |
| Assay type | Immunohistochemistry |
| Primary antibody type | Rabbit Polyclonal |
| Secondary antibody type | Polymer-HRP-Goat anti-Rabbit |
| Reactivity | Human, Mouse, Rat |
Kit components
| Component | Size | Concentration |
|---|---|---|
| Antigen Retrieval Buffer | 100 mL | 50× |
| Washing Buffer | 100 mL ×2 | 20× |
| Blocking Buffer | 5 mL | RTU |
| Primary Antibody | 5 mL | RTU |
| Secondary Antibody | 5 mL | RTU |
| Chromogen Component A | 0.2 mL | RTU |
| Chromogen Component B | 4 mL | RTU |
| Signal Enhancer | 5 mL | RTU |
| Counter Staining Reagent | 5 mL | RTU |
| Mounting Media | 5 mL | RTU |
| Datasheet | 1 Copy | |
| Manual | 1 Copy |
Background Information
GSDMD is a member of the gasdermin family. Members of this family appear to play a role in regulation of epithelial proliferation. GSDMD has been suggested to act as a tumor suppressor. Recently, GSDMD is identified as a new component of inflammasomes, and it is an executor of pyroptosis and required for interleukin-1β secretion. Cleavage of GSDMD by inflammatory caspases determines pyroptotic cell death.
Properties
| Storage Instructions | All the reagents are stored at 2-8°C. The kit is stable for 6 months from the date of receipt. |
| Synonyms | Gasdermin-D, C-terminal, Gasdermin-D, gasderminD, Gasdermin domain-containing protein 1, gasdermin D |





