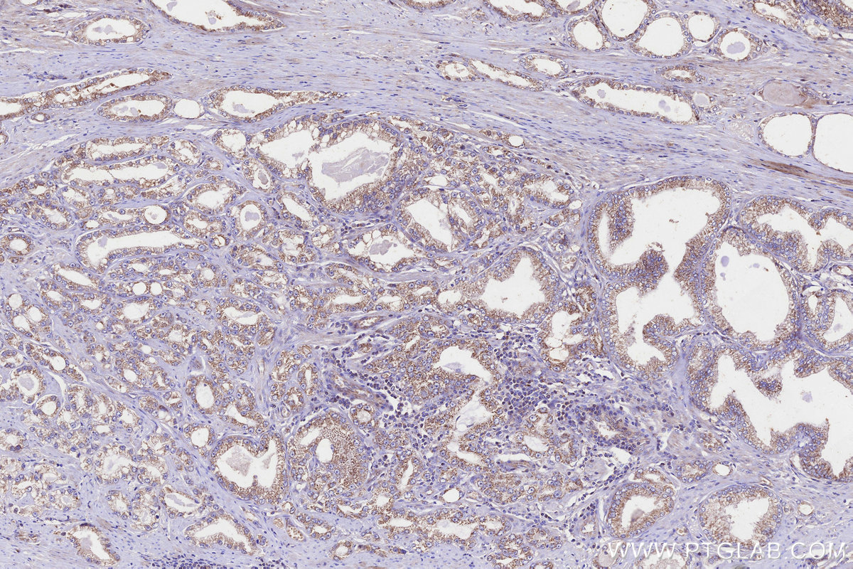
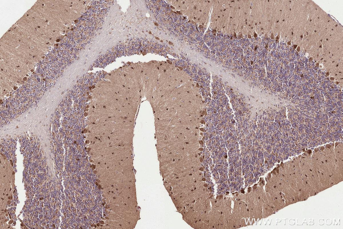
IHCeasy® GALNT17/WBSCR17 Ready-To-Use IHC Kit
GALNT17/WBSCR17 Ready-to-use reagent kit for IHC.
Reactivity
Human, Mouse
Sample Type
FFPE tissue
Cat no : KHC3270
Synonyms
WBSCR17, EC:2.4.1.41, GalNAc T like protein 3, GalNAc-T-like protein 3, GALNT17
Validation Data Gallery
Product Information
KHC3270 is a ready-to-use IHC kit for staining of GALNT17/WBSCR17. The kit provides all reagents, from antigen retrieval to cover slip mounting, that require little to no diluting or handling prior to use. Simply apply the reagents to your sample slide according to the protocol and you're steps away from obtaining high-quality IHC data.
| Product name | IHCeasy® GALNT17/WBSCR17 Ready-To-Use IHC Kit |
| Sample type | FFPE tissue |
| Assay type | Immunohistochemistry |
| Primary antibody type | Rabbit Polyclonal |
| Secondary antibody type | Polymer-HRP-Goat anti-Rabbit |
| Reactivity | Human, Mouse |
Kit components
| Component | Size | Concentration |
|---|---|---|
| Antigen Retrieval Buffer | 100 mL | 50× |
| Washing Buffer | 100 mL ×2 | 20× |
| Blocking Buffer | 5 mL | RTU |
| Primary Antibody | 5 mL | RTU |
| Secondary Antibody | 5 mL | RTU |
| Chromogen Component A | 0.2 mL | RTU |
| Chromogen Component B | 4 mL | RTU |
| Signal Enhancer | 5 mL | RTU |
| Counter Staining Reagent | 5 mL | RTU |
| Mounting Media | 5 mL | RTU |
| Datasheet | 1 Copy | |
| Manual | 1 Copy |
Background Information
WBSCR17, also known as GALNT17, which encodes a brain-expressed N-acetylgalactosaminyl transferase (GalNAcT), is located at the distal edge of a region that is commonly deleted or duplicated in Williams Beuren Syndrome (WBS), a developmental disorder with motor and coordination problems, impaired visuospatial memory, and abnormal social interaction. WBSCR17 loss-of-function has significant effects on cerebellar development, and is associated with phenotypes including developmental delay, deficits in motor coordination, reduced exploratory activity, and impaired social behavior.
Properties
| Storage Instructions | All the reagents are stored at 2-8°C. The kit is stable for 6 months from the date of receipt. |
| Synonyms | WBSCR17, EC:2.4.1.41, GalNAc T like protein 3, GalNAc-T-like protein 3, GALNT17 |




