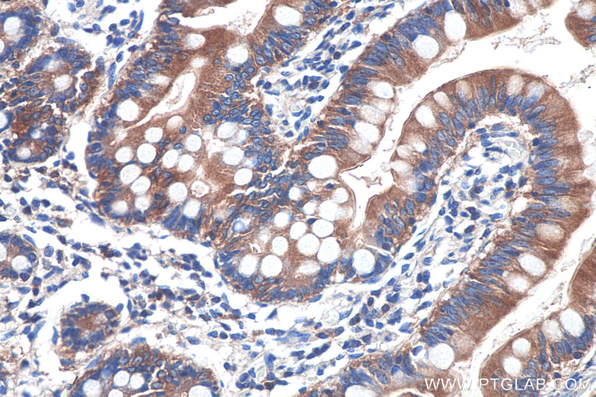
IHCeasy® Ezrin Ready-To-Use IHC Kit
Ezrin Ready-to-use reagent kit for IHC.
Reactivity
Human, Mouse
Sample Type
FFPE tissue
Cat no : KHC0094
Synonyms
CVIL, CVL, Cytovillin, EZR, Ezrin, p81, VIL2, Villin 2
Validation Data Gallery
Product Information
KHC0094 is a ready-to-use IHC kit for staining of Ezrin. The kit provides all reagents, from antigen retrieval to cover slip mounting, that require little to no diluting or handling prior to use. Simply apply the reagents to your sample slide according to the protocol and you're steps away from obtaining high-quality IHC data.
| Product name | IHCeasy Ezrin Ready-To-Use IHC Kit |
| Sample type | FFPE tissue |
| Assay type | Immunohistochemistry |
| Primary antibody type | Rabbit Polyclonal |
| Secondary antibody type | Polymer-HRP-Goat anti-Rabbit |
| Reactivity | Human, Mouse |
Kit components
| Component | Size | Concentration |
|---|---|---|
| Antigen Retrieval Buffer | 100 mL | 50× |
| Washing Buffer | 100 mL ×2 | 20× |
| Blocking Buffer | 5 mL | RTU |
| Primary Antibody | 5 mL | RTU |
| Secondary Antibody | 5 mL | RTU |
| Chromogen Component A | 0.2 mL | RTU |
| Chromogen Component B | 4 mL | RTU |
| Signal Enhancer | 5 mL | RTU |
| Counter Staining Reagent | 5 mL | RTU |
| Mounting Media | 5 mL | RTU |
| Datasheet | 1 Copy | |
| Manual | 1 Copy |
Background Information
Three closely related proteins, Ezrin, Radixin, and Moesin, or named as ERM family, work as cross-linkers between plasma membranes and actin-based cytoskeletons. Emerging evidence suggest that Ezrin is an oncogene protein, as high levels of Ezrin are associated with metastatic behavior in various types of cancer such as osteosarcoma, lung cancer, colorectal cancer, breast cancer, etc.. Ezrin is also involved in EMT (Epithelial-Mesenchymal Transition) progress.
Properties
| Storage Instructions | All the reagents are stored at 2-8°C. The kit is stable for 6 months from the date of receipt. |
| Synonyms | CVIL, CVL, Cytovillin, EZR, Ezrin, p81, VIL2, Villin 2 |






