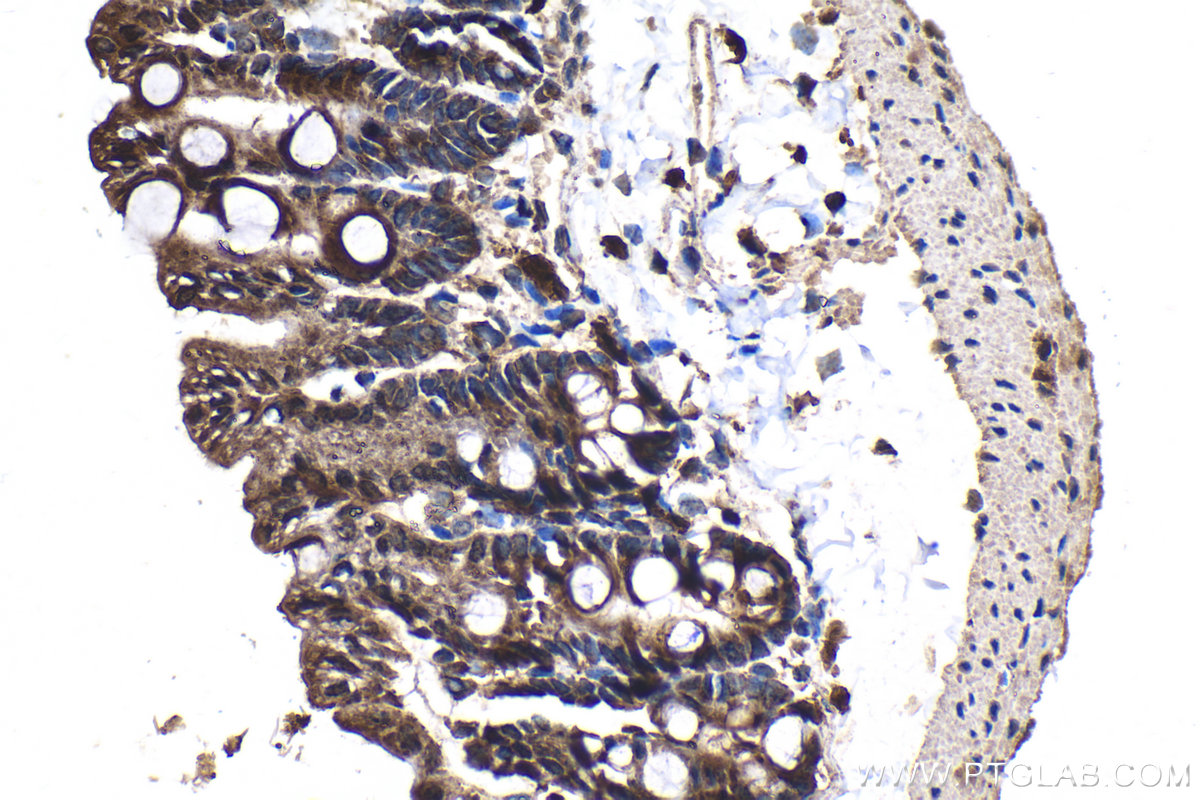
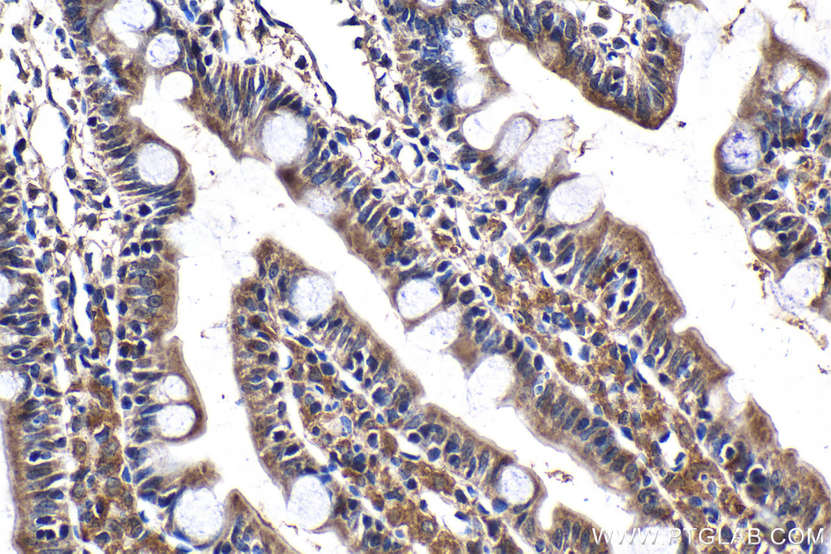
IHCeasy® DPM1 Ready-To-Use IHC Kit
DPM1 Ready-to-use reagent kit for IHC.
Reactivity
Human, Mouse, Rat
Sample Type
FFPE tissue
Cat no : KHC2103
Synonyms
DPM synthase subunit 1, DPM synthase, Dolichyl-phosphate beta-D-mannosyltransferase subunit 1, Dolichol-phosphate mannosyltransferase subunit 1, Dolichol-phosphate mannose synthase subunit 1
Validation Data Gallery
Product Information
KHC2103 is a ready-to-use IHC kit for staining of DPM1. The kit provides all reagents, from antigen retrieval to cover slip mounting, that require little to no diluting or handling prior to use. Simply apply the reagents to your sample slide according to the protocol and you're steps away from obtaining high-quality IHC data.
| Product name | IHCeasy DPM1 Ready-To-Use IHC Kit |
| Sample type | FFPE tissue |
| Assay type | Immunohistochemistry |
| Primary antibody type | Rabbit Polyclonal |
| Secondary antibody type | Polymer-HRP-Goat anti-Rabbit |
| Reactivity | Human, Mouse, Rat |
Kit components
| Component | Size | Concentration |
|---|---|---|
| Antigen Retrieval Buffer | 100 mL | 50× |
| Washing Buffer | 100 mL ×2 | 20× |
| Blocking Buffer | 5 mL | RTU |
| Primary Antibody | 5 mL | RTU |
| Secondary Antibody | 5 mL | RTU |
| Chromogen Component A | 0.2 mL | RTU |
| Chromogen Component B | 4 mL | RTU |
| Signal Enhancer | 5 mL | RTU |
| Counter Staining Reagent | 5 mL | RTU |
| Mounting Media | 5 mL | RTU |
| Datasheet | 1 Copy | |
| Manual | 1 Copy |
Properties
| Storage Instructions | All the reagents are stored at 2-8°C. The kit is stable for 6 months from the date of receipt. |
| Synonyms | DPM synthase subunit 1, DPM synthase, Dolichyl-phosphate beta-D-mannosyltransferase subunit 1, Dolichol-phosphate mannosyltransferase subunit 1, Dolichol-phosphate mannose synthase subunit 1 |






