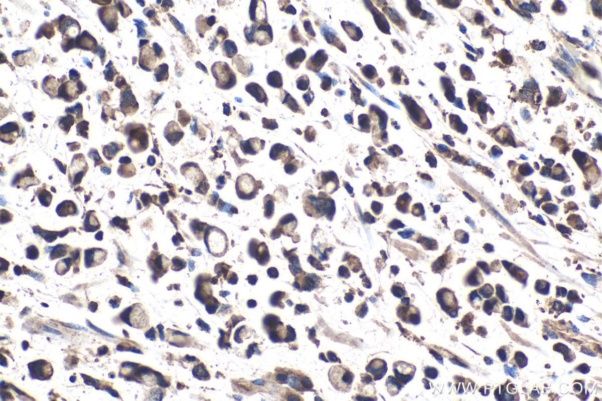
IHCeasy® CNOT1 Ready-To-Use IHC Kit
CNOT1 Ready-to-use reagent kit for IHC.
Reactivity
Human, Mouse, Rat
Sample Type
FFPE tissue
Cat no : KHC1415
Synonyms
AD 005, CCR4 associated factor 1, CDC39, CNOT1, hNOT1, KIAA1007, NOT1, NOT1H
Validation Data Gallery
Product Information
KHC1415 is a ready-to-use IHC kit for staining of CNOT1. The kit provides all reagents, from antigen retrieval to cover slip mounting, that require little to no diluting or handling prior to use. Simply apply the reagents to your sample slide according to the protocol and you're steps away from obtaining high-quality IHC data.
| Product name | IHCeasy CNOT1 Ready-To-Use IHC Kit |
| Sample type | FFPE tissue |
| Assay type | Immunohistochemistry |
| Primary antibody type | Mouse Monoclonal |
| Secondary antibody type | Polymer-HRP-Goat anti-Mouse |
| Reactivity | Human, Mouse, Rat |
Kit components
| Component | Size | Concentration |
|---|---|---|
| Antigen Retrieval Buffer | 100 mL | 50× |
| Washing Buffer | 100 mL ×2 | 20× |
| Blocking Buffer | 5 mL | RTU |
| Primary Antibody | 5 mL | RTU |
| Secondary Antibody | 5 mL | RTU |
| Chromogen Component A | 0.2 mL | RTU |
| Chromogen Component B | 4 mL | RTU |
| Signal Enhancer | 5 mL | RTU |
| Counter Staining Reagent | 5 mL | RTU |
| Mounting Media | 5 mL | RTU |
| Datasheet | 1 Copy | |
| Manual | 1 Copy |
Background Information
CNOT1 is a component of CCR4-NOT protein complex, which is a regulator of RNA polymerase II transcription, acts as a transcription repressor. CCR4-NOT complex could participate in transcription as well as mRNA degradation. It's highly expressed in brain, heart, thymus, but weak in skeletal muscle and colon. CNOT1 undergoes alternative splicing to produce four isoforms.
Properties
| Storage Instructions | All the reagents are stored at 2-8°C. The kit is stable for 6 months from the date of receipt. |
| Synonyms | AD 005, CCR4 associated factor 1, CDC39, CNOT1, hNOT1, KIAA1007, NOT1, NOT1H |






