IHCeasy® CEP83 Ready-To-Use IHC Kit
CEP83 Ready-to-use reagent kit for IHC.
Reactivity
Human, Rat
Sample Type
FFPE tissue
Cat no : KHC3077
Synonyms
CCDC41, Centrosomal protein of 83 kDa, Coiled-coil domain-containing protein 41, NY REN 58, Renal carcinoma antigen NY-REN-58
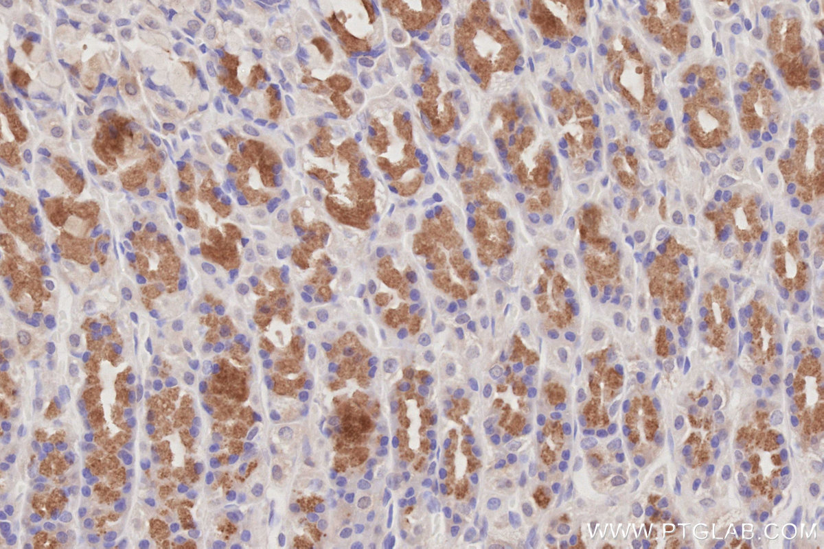
Validation Data Gallery
Product Information
KHC3077 is a ready-to-use IHC kit for staining of CEP83. The kit provides all reagents, from antigen retrieval to cover slip mounting, that require little to no diluting or handling prior to use. Simply apply the reagents to your sample slide according to the protocol and you're steps away from obtaining high-quality IHC data.
| Product name | IHCeasy® CEP83 Ready-To-Use IHC Kit |
| Sample type | FFPE tissue |
| Assay type | Immunohistochemistry |
| Primary antibody type | Rabbit Polyclonal |
| Secondary antibody type | Polymer-HRP-Goat anti-Rabbit |
| Reactivity | Human, Rat |
Kit components
| Component | Size | Concentration |
|---|---|---|
| Antigen Retrieval Buffer | 100 mL | 50× |
| Washing Buffer | 100 mL ×2 | 20× |
| Blocking Buffer | 5 mL | RTU |
| Primary Antibody | 5 mL | RTU |
| Secondary Antibody | 5 mL | RTU |
| Chromogen Component A | 0.2 mL | RTU |
| Chromogen Component B | 4 mL | RTU |
| Signal Enhancer | 5 mL | RTU |
| Counter Staining Reagent | 5 mL | RTU |
| Mounting Media | 5 mL | RTU |
| Datasheet | 1 Copy | |
| Manual | 1 Copy |
Background Information
CEP83 (centrosomal protein), also known as CCDC41 (coiled-coil domain containing 41), is required for ciliary vesicle docking to the mother centriole. It is a key component of the centriolar distal appendages. CCDC41 may collaborate with IFT20 in the trafficking of ciliary membrane proteins from the Golgi complex to the cilium during the initiation of primary cilium assembly.
Properties
| Storage Instructions | All the reagents are stored at 2-8°C. The kit is stable for 6 months from the date of receipt. |
| Synonyms | CCDC41, Centrosomal protein of 83 kDa, Coiled-coil domain-containing protein 41, NY REN 58, Renal carcinoma antigen NY-REN-58 |




