IHCeasy® CDK14/PFTK1 Ready-To-Use IHC Kit
CDK14/PFTK1 Ready-to-use reagent kit for IHC.
Reactivity
Human, Mouse, Rat
Sample Type
FFPE tissue
Cat no : KHC2130
Synonyms
CDK14, hPFTAIRE1, KIAA0834, PFTAIRE protein kinase 1, PFTAIRE1, PFTK1
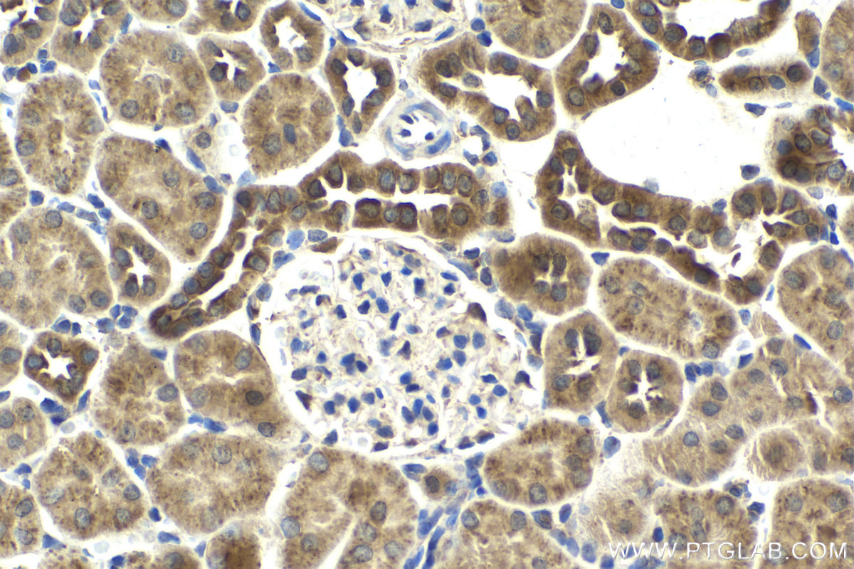
Validation Data Gallery
Product Information
KHC2130 is a ready-to-use IHC kit for staining of CDK14/PFTK1. The kit provides all reagents, from antigen retrieval to cover slip mounting, that require little to no diluting or handling prior to use. Simply apply the reagents to your sample slide according to the protocol and you're steps away from obtaining high-quality IHC data.
| Product name | IHCeasy CDK14/PFTK1 Ready-To-Use IHC Kit |
| Sample type | FFPE tissue |
| Assay type | Immunohistochemistry |
| Primary antibody type | Rabbit Polyclonal |
| Secondary antibody type | Polymer-HRP-Goat anti-Rabbit |
| Reactivity | Human, Mouse, Rat |
Kit components
| Component | Size | Concentration |
|---|---|---|
| Antigen Retrieval Buffer | 100 mL | 50× |
| Washing Buffer | 100 mL ×2 | 20× |
| Blocking Buffer | 5 mL | RTU |
| Primary Antibody | 5 mL | RTU |
| Secondary Antibody | 5 mL | RTU |
| Chromogen Component A | 0.2 mL | RTU |
| Chromogen Component B | 4 mL | RTU |
| Signal Enhancer | 5 mL | RTU |
| Counter Staining Reagent | 5 mL | RTU |
| Mounting Media | 5 mL | RTU |
| Datasheet | 1 Copy | |
| Manual | 1 Copy |
Background Information
PFTK1 is a Cdc2-related protein kinase, also named as PFTAIRE1, CDK14 and belongs to the CMGC Ser/Thr protein kinase family and CDC2/CDKX subfamily. It acts as a cyclin-dependent kinases that regulates cell cycle progression and cell proliferation. The PFTK1 protein shows high homology with mouse Pftaire1, a Cdc2-related protein expressed primarily in the postnatal and adult nervous system. The protein contains 2 predicted nuclear localization signals that the N-terminal nuclear localization signals do not play a role in vivo. It has 3 isoforms produced by alternative splicing. Primary antibody in this kit is specific to PFTK1.
Properties
| Storage Instructions | All the reagents are stored at 2-8°C. The kit is stable for 6 months from the date of receipt. |
| Synonyms | CDK14, hPFTAIRE1, KIAA0834, PFTAIRE protein kinase 1, PFTAIRE1, PFTK1 |







