IHCeasy® CDH16 Ready-To-Use IHC Kit
CDH16 Ready-to-use reagent kit for IHC.
Reactivity
Human, Mouse
Sample Type
FFPE tissue
Cat no : KHC0214
Synonyms
cadherin 16, KSP cadherin, Cadherin-16, CDH16, Kidney specific cadherin, Ksp cadherin
Validation Data Gallery
Product Information
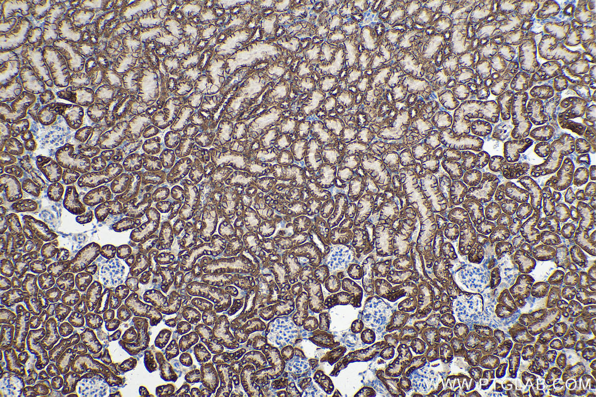
KHC0214 is a ready-to-use IHC kit for staining of CDH16 (Cadherin-16). The kit provides all reagents, from antigen retrieval to cover slip mounting, that require little to no diluting or handling prior to use. Simply apply the reagents to your sample slide according to the protocol and you're steps away from obtaining high-quality IHC data.
| Product name | IHCeasy CDH16 Ready-To-Use IHC Kit |
| Sample type | FFPE tissue |
| Assay type | Immunohistochemistry |
| Primary antibody type | Rabbit Polyclonal |
| Secondary antibody type | Polymer-HRP-Goat anti-Rabbit |
| Reactivity | Human, Mouse |
Kit components
| Component | Size | Concentration |
|---|---|---|
| Antigen Retrieval Buffer | 100 mL | 50× |
| Washing Buffer | 100 mL ×2 | 20× |
| Blocking Buffer | 5 mL | RTU |
| Primary Antibody | 5 mL | RTU |
| Secondary Antibody | 5 mL | RTU |
| Chromogen Component A | 0.2 mL | RTU |
| Chromogen Component B | 4 mL | RTU |
| Signal Enhancer | 5 mL | RTU |
| Counter Staining Reagent | 5 mL | RTU |
| Mounting Media | 5 mL | RTU |
| Datasheet | 1 Copy | |
| Manual | 1 Copy |
Background Information
Cadherin-16 (CDH16), also known as kidney-specific cadherin (Ksp-cadherin), is a tissue-specific member of the cadherin family of adhesion molecules. It is a glycoprotein expressed by tubular epithelial cells in the kidney. Cadherin-16 expression is down-regulated in renal cell carcinoma, suggesting a role in tumor suppression.
Properties
| Storage Instructions | All the reagents are stored at 2-8°C. The kit is stable for 6 months from the date of receipt. |
| Synonyms | cadherin 16, KSP cadherin, Cadherin-16, CDH16, Kidney specific cadherin, Ksp cadherin |




