IHCeasy® CD68 Ready-To-Use IHC Kit
CD68 Ready-to-use reagent kit for IHC.
Reactivity
Mouse, Rat
Sample Type
FFPE tissue
Cat no : KHC1414
Synonyms
Cd68, CD68 antigen, gp110, Scard1
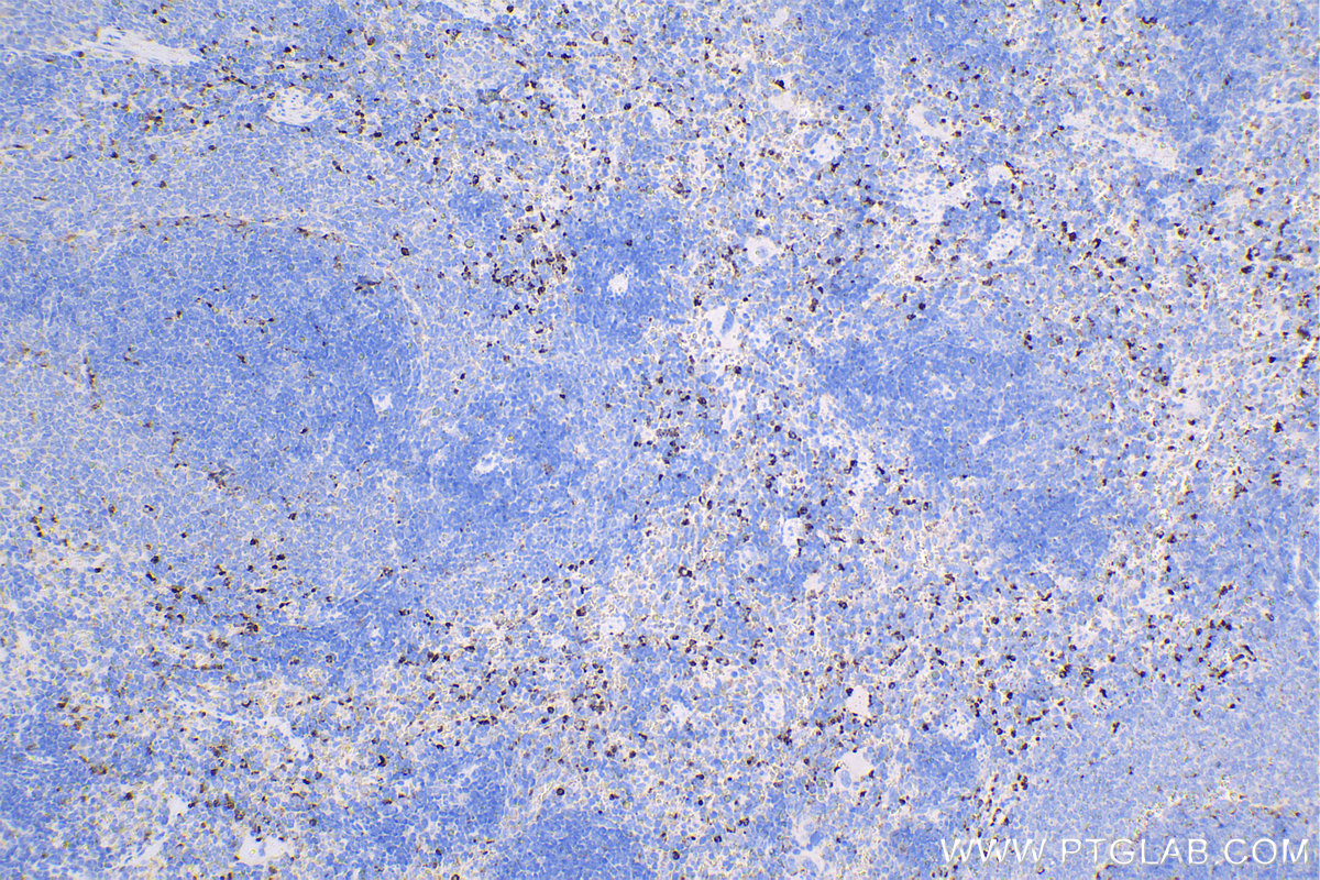
Validation Data Gallery
Product Information
KHC1414 is a ready-to-use IHC kit for staining of CD68. The kit provides all reagents, from antigen retrieval to cover slip mounting, that require little to no diluting or handling prior to use. Simply apply the reagents to your sample slide according to the protocol and you're steps away from obtaining high-quality IHC data.
| Product name | IHCeasy CD68 Ready-To-Use IHC Kit |
| Sample type | FFPE tissue |
| Assay type | Immunohistochemistry |
| Primary antibody type | Rabbit Polyclonal |
| Secondary antibody type | Polymer-HRP-Goat anti-Rabbit |
| Reactivity | Mouse, Rat |
Kit components
| Component | Size | Concentration |
|---|---|---|
| Antigen Retrieval Buffer | 100 mL | 50× |
| Washing Buffer | 100 mL ×2 | 20× |
| Blocking Buffer | 5 mL | RTU |
| Primary Antibody | 5 mL | RTU |
| Secondary Antibody | 5 mL | RTU |
| Chromogen Component A | 0.2 mL | RTU |
| Chromogen Component B | 4 mL | RTU |
| Signal Enhancer | 5 mL | RTU |
| Counter Staining Reagent | 5 mL | RTU |
| Mounting Media | 5 mL | RTU |
| Datasheet | 1 Copy | |
| Manual | 1 Copy |
Background Information
Mouse CD68 (also known as macrosialin) is a type I transmembrane glycoprotein that is highly and specifically expressed by mouse tissue macrophages, and to a lesser extent by dendritic cells. It belongs to the lysosomal/endosomal-associated membrane glycoprotein (LAMP) family and primarily localizes to lysosomes and endosomes with a smaller fraction circulating to the cell surface. CD68 is also a member of the scavenger receptor family. It may play a role in phagocytic activities of tissue macrophages.
Properties
| Storage Instructions | All the reagents are stored at 2-8°C. The kit is stable for 6 months from the date of receipt. |
| Synonyms | Cd68, CD68 antigen, gp110, Scard1 |






