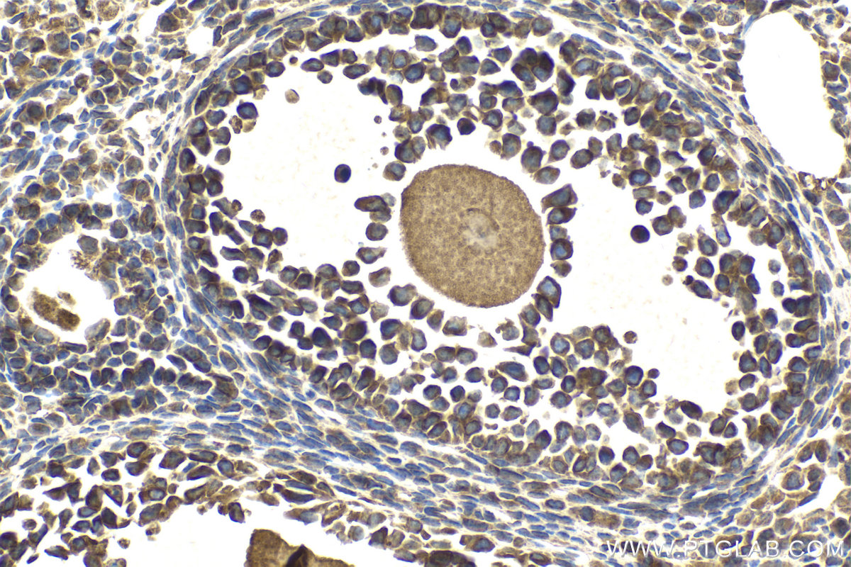
IHCeasy® BMP15 Ready-To-Use IHC Kit
BMP15 Ready-to-use reagent kit for IHC.
Reactivity
Human, Mouse
Sample Type
FFPE tissue
Cat no : KHC2150
Synonyms
BMP15,BMP 15,BMP-15,Bone morphogenetic protein 15
Validation Data Gallery
Product Information
KHC2150 is a ready-to-use IHC kit for staining of BMP15. The kit provides all reagents, from antigen retrieval to cover slip mounting, that require little to no diluting or handling prior to use. Simply apply the reagents to your sample slide according to the protocol and you're steps away from obtaining high-quality IHC data.
| Product name | IHCeasy BMP15 Ready-To-Use IHC Kit |
| Sample type | FFPE tissue |
| Assay type | Immunohistochemistry |
| Primary antibody type | Rabbit Polyclonal |
| Secondary antibody type | Polymer-HRP-Goat anti-Rabbit |
| Reactivity | Human, Mouse |
Kit components
| Component | Size | Concentration |
|---|---|---|
| Antigen Retrieval Buffer | 100 mL | 50× |
| Washing Buffer | 100 mL ×2 | 20× |
| Blocking Buffer | 5 mL | RTU |
| Primary Antibody | 5 mL | RTU |
| Secondary Antibody | 5 mL | RTU |
| Chromogen Component A | 0.2 mL | RTU |
| Chromogen Component B | 4 mL | RTU |
| Signal Enhancer | 5 mL | RTU |
| Counter Staining Reagent | 5 mL | RTU |
| Mounting Media | 5 mL | RTU |
| Datasheet | 1 Copy | |
| Manual | 1 Copy |
Background Information
BMP15, also named as GDF9B, is a member of the bone morphogenetic protein family which is part of the transforming growth factor beta superfamily. The transforming growth factor beta superfamily includes large families of growth and differentiation factors. BMP15 may be involved follicular development and oocyte-specific growth/differentiation factor that stimulates folliculogenesis and granulosa cell (GC) growth. Mutation of BMP15 will cause of ovarian dysgenesis type 2 (ODG2) and premature ovarian failure type 4 (POF4).
Properties
| Storage Instructions | All the reagents are stored at 2-8°C. The kit is stable for 6 months from the date of receipt. |
| Synonyms | BMP15,BMP 15,BMP-15,Bone morphogenetic protein 15 |



