IHCeasy® ATP6V1H Ready-To-Use IHC Kit
ATP6V1H Ready-to-use reagent kit for IHC.
Reactivity
Human, Mouse, Rat
Sample Type
FFPE tissue
Cat no : KHC3027
Synonyms
CGI 11, CGI-11, MSTP042, NBP1, Nef binding protein 1
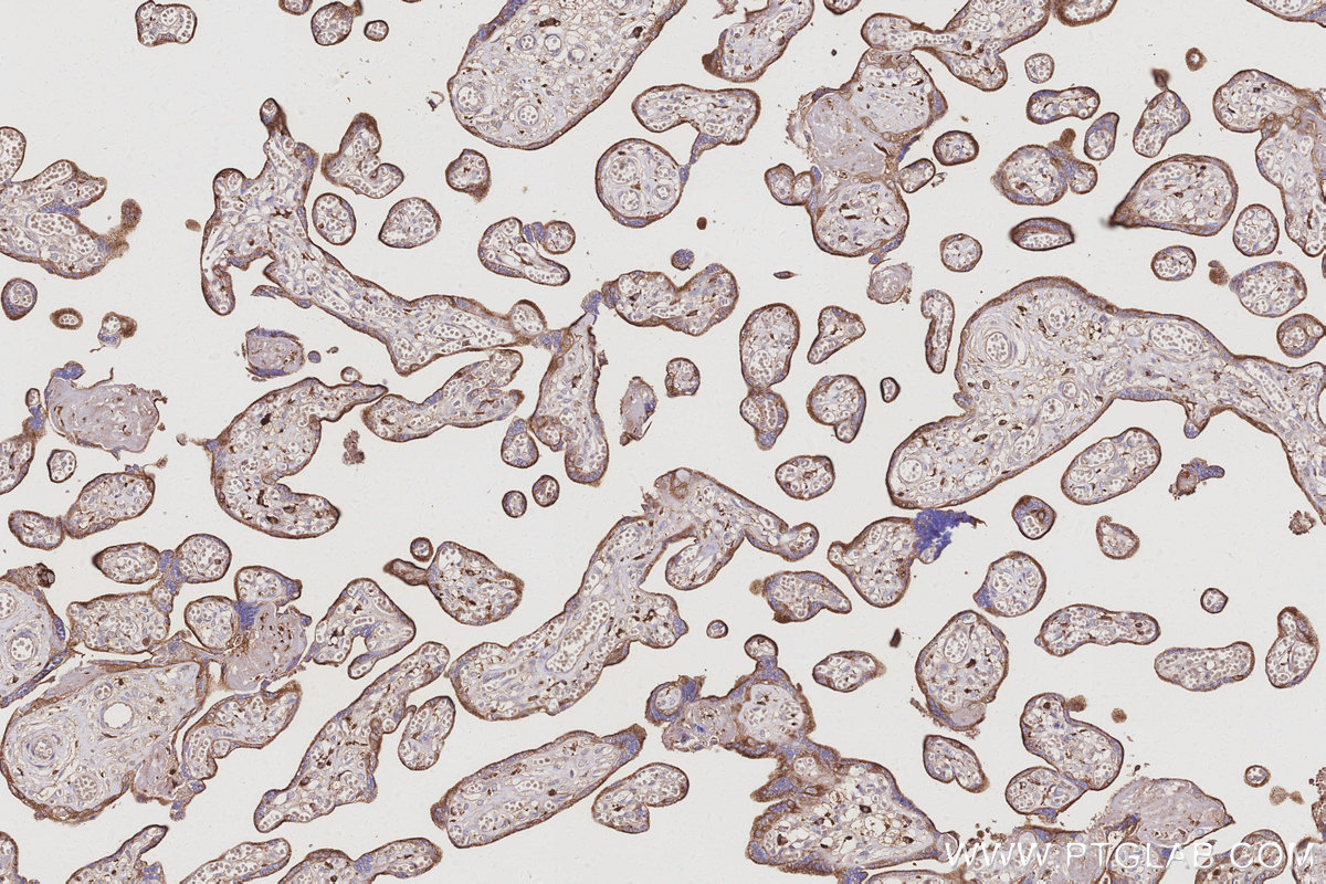
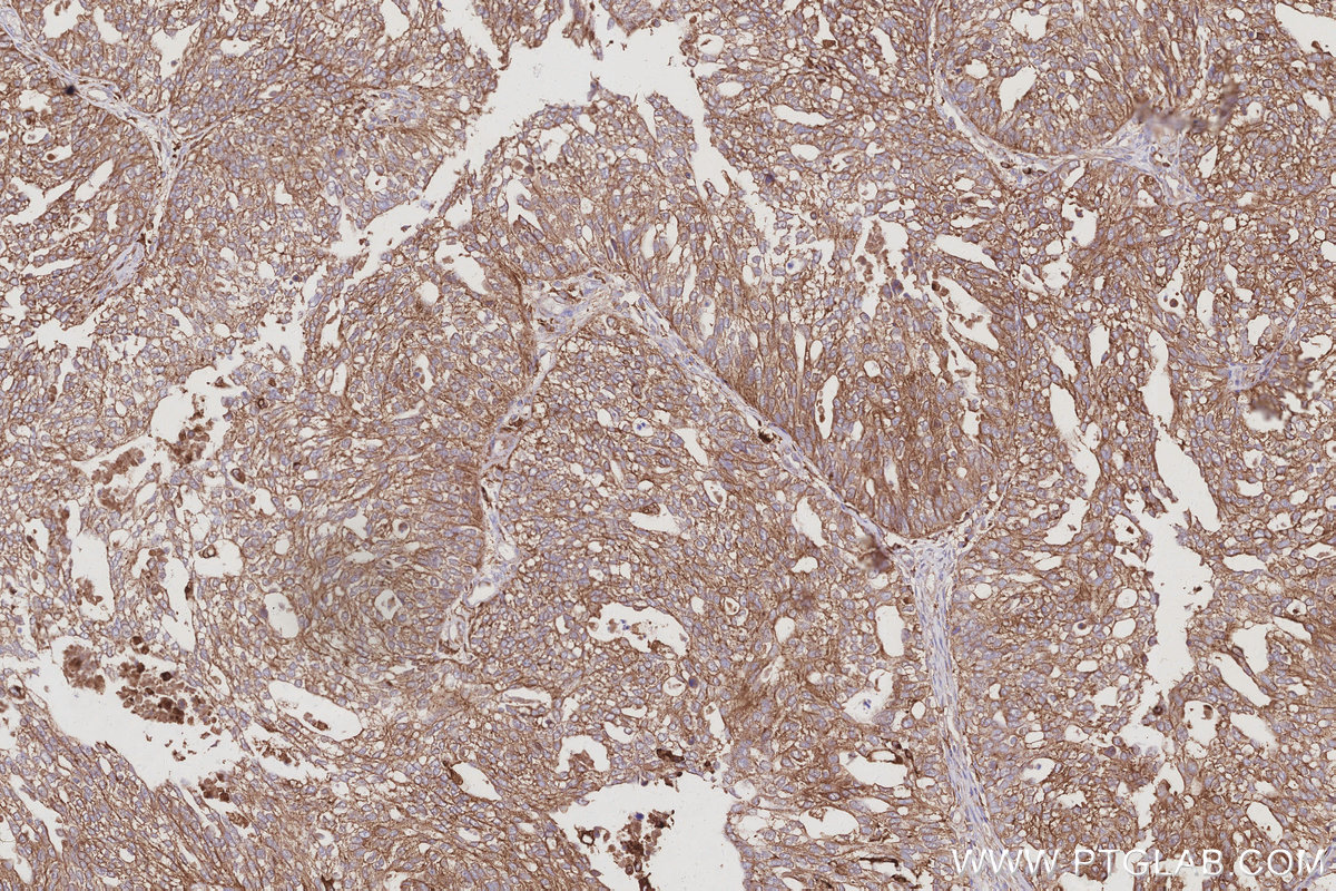
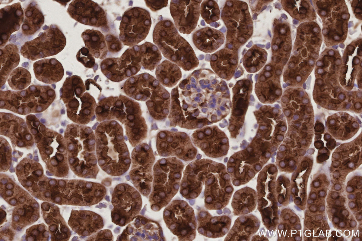
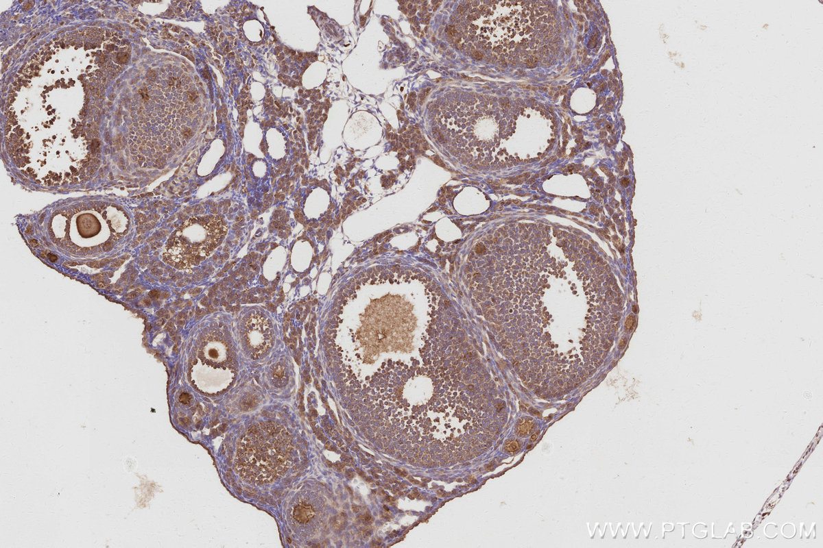
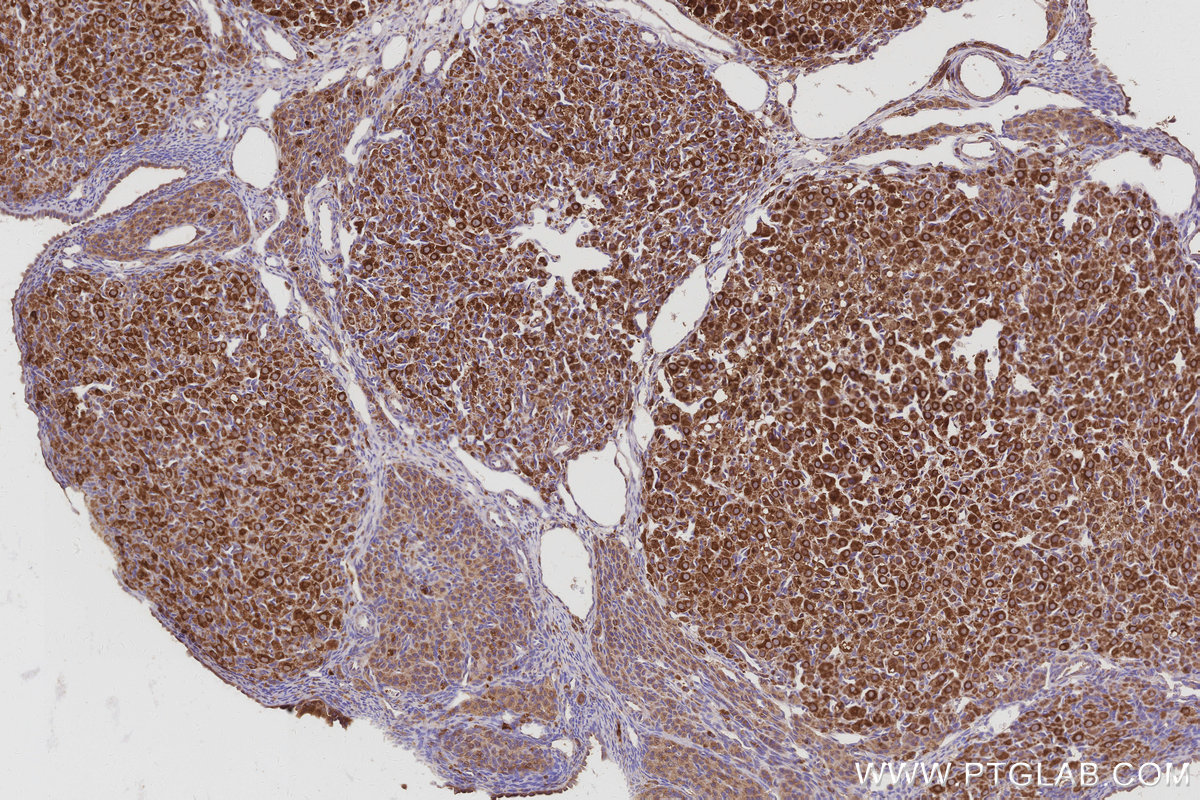
Validation Data Gallery
Product Information
KHC3027 is a ready-to-use IHC kit for staining of ATP6V1H. The kit provides all reagents, from antigen retrieval to cover slip mounting, that require little to no diluting or handling prior to use. Simply apply the reagents to your sample slide according to the protocol and you're steps away from obtaining high-quality IHC data.
| Product name | IHCeasy® ATP6V1H Ready-To-Use IHC Kit |
| Sample type | FFPE tissue |
| Assay type | Immunohistochemistry |
| Primary antibody type | Mouse Monoclonal |
| Secondary antibody type | Polymer-HRP-Goat anti-Mouse |
| Reactivity | Human, Mouse, Rat |
Kit components
| Component | Size | Concentration |
|---|---|---|
| Antigen Retrieval Buffer | 100 mL | 50× |
| Washing Buffer | 100 mL ×2 | 20× |
| Blocking Buffer | 5 mL | RTU |
| Primary Antibody | 5 mL | RTU |
| Secondary Antibody | 5 mL | RTU |
| Chromogen Component A | 0.2 mL | RTU |
| Chromogen Component B | 4 mL | RTU |
| Signal Enhancer | 5 mL | RTU |
| Counter Staining Reagent | 5 mL | RTU |
| Mounting Media | 5 mL | RTU |
| Datasheet | 1 Copy | |
| Manual | 1 Copy |
Background Information
The vacuolar-type H(+)-ATPase (V-ATPase) is responsible for the acidification of endosomes, lysosomes, and other intracellular organelles. It is also involved in hydrogen ion transport across the plasma membrane into the extracellular space. The V-ATPase is a multisubunit complex with cytosolic and transmembrane domains.
Properties
| Storage Instructions | All the reagents are stored at 2-8°C. The kit is stable for 6 months from the date of receipt. |
| Synonyms | CGI 11, CGI-11, MSTP042, NBP1, Nef binding protein 1 |






