IHCeasy® ATP2C1 Ready-To-Use IHC Kit
ATP2C1 Ready-to-use reagent kit for IHC.
Reactivity
Human, Mouse, Rat
Sample Type
FFPE tissue
Cat no : KHC2379
Synonyms
PMR1, ATP-dependent Ca(2+) pump PMR1, Ca(2+)/Mn(2+)-ATPase 2C1, Calcium-transporting ATPase type 2C member 1, EC:7.2.2.10
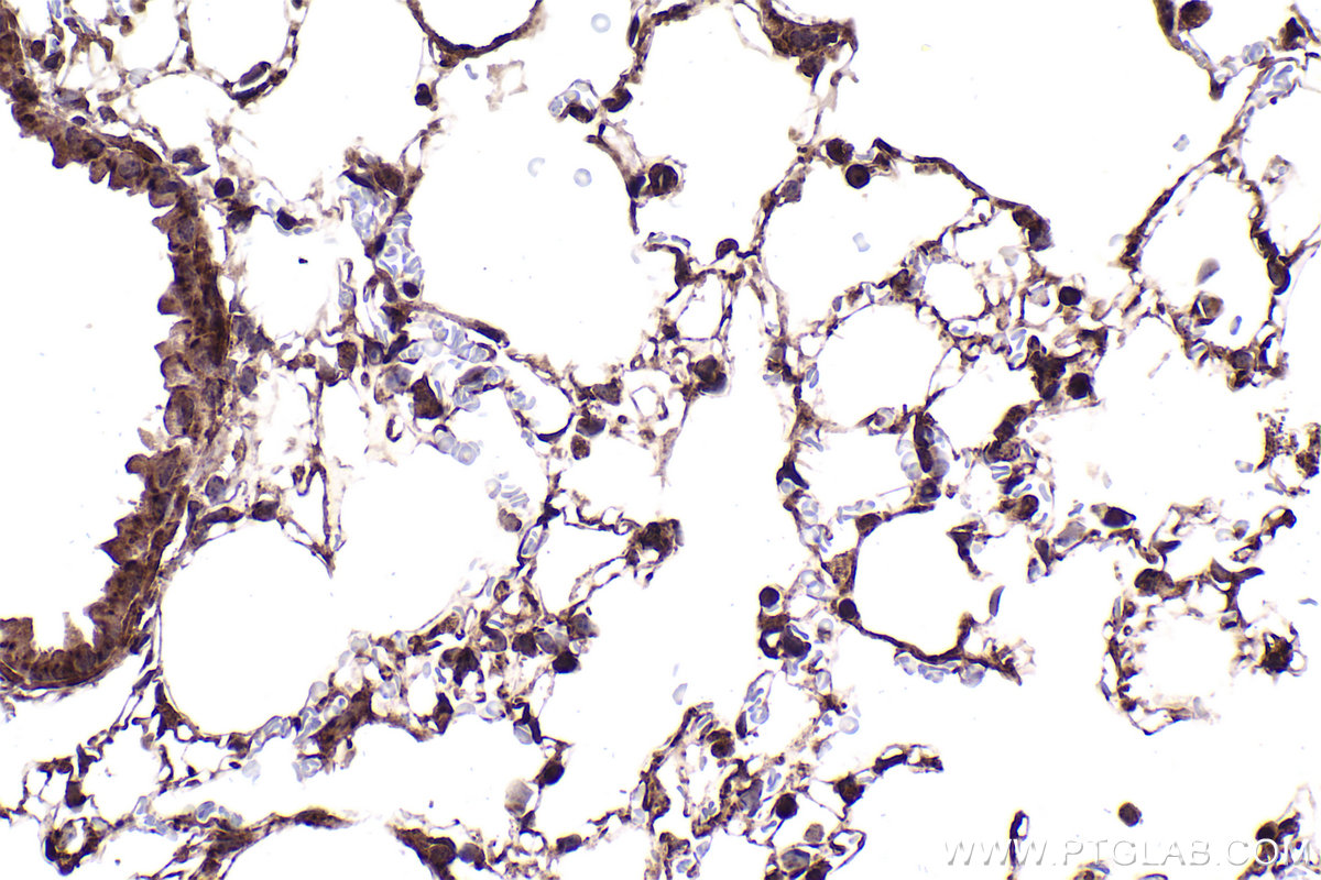
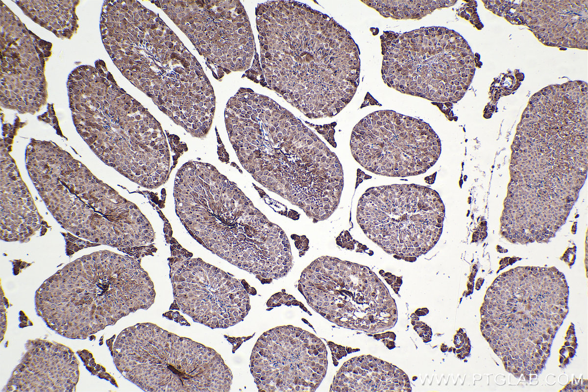
Validation Data Gallery
Product Information
KHC2379 is a ready-to-use IHC kit for staining of ATP2C1. The kit provides all reagents, from antigen retrieval to cover slip mounting, that require little to no diluting or handling prior to use. Simply apply the reagents to your sample slide according to the protocol and you're steps away from obtaining high-quality IHC data.
| Product name | IHCeasy ATP2C1 Ready-To-Use IHC Kit |
| Sample type | FFPE tissue |
| Assay type | Immunohistochemistry |
| Primary antibody type | Rabbit Polyclonal |
| Secondary antibody type | Polymer-HRP-Goat anti-Rabbit |
| Reactivity | Human, Mouse, Rat |
Kit components
| Component | Size | Concentration |
|---|---|---|
| Antigen Retrieval Buffer | 100 mL | 50× |
| Washing Buffer | 100 mL ×2 | 20× |
| Blocking Buffer | 5 mL | RTU |
| Primary Antibody | 5 mL | RTU |
| Secondary Antibody | 5 mL | RTU |
| Chromogen Component A | 0.2 mL | RTU |
| Chromogen Component B | 4 mL | RTU |
| Signal Enhancer | 5 mL | RTU |
| Counter Staining Reagent | 5 mL | RTU |
| Mounting Media | 5 mL | RTU |
| Datasheet | 1 Copy | |
| Manual | 1 Copy |
Background Information
ATP2C1, also known as hSPCA1, belongs to the family of P-type cation transport ATPases. ATP2C1 is a Golgi-localized ATPase that mediates Golgi uptake of cytosolic Ca(2+) and Mg(2+) and has a role in regulating Ca(2+) and Mn(2+) cellular content. ATP2C1 is found in most tissues except colon, thymus, spleen, and leukocytes. It is expressed in keratinocytes. Defects in ATP2C1 cause Hailey-Hailey disease (HHD).
Properties
| Storage Instructions | All the reagents are stored at 2-8°C. The kit is stable for 6 months from the date of receipt. |
| Synonyms | PMR1, ATP-dependent Ca(2+) pump PMR1, Ca(2+)/Mn(2+)-ATPase 2C1, Calcium-transporting ATPase type 2C member 1, EC:7.2.2.10 |







