IHCeasy® ATF6B Ready-To-Use IHC Kit
ATF6B Ready-to-use reagent kit for IHC.
Reactivity
Human, Mouse, Rat
Sample Type
FFPE tissue
Cat no : KHC1899
Synonyms
ATF6 beta, ATF6B, CREB RP, CREBL1, G13, Protein G13
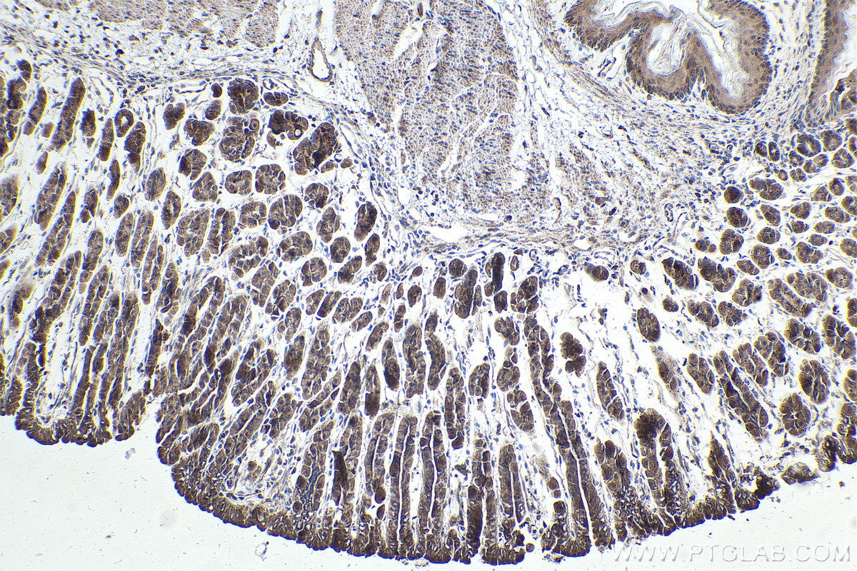
Validation Data Gallery
Product Information
KHC1899 is a ready-to-use IHC kit for staining of ATF6B. The kit provides all reagents, from antigen retrieval to cover slip mounting, that require little to no diluting or handling prior to use. Simply apply the reagents to your sample slide according to the protocol and you're steps away from obtaining high-quality IHC data.
| Product name | IHCeasy ATF6B Ready-To-Use IHC Kit |
| Sample type | FFPE tissue |
| Assay type | Immunohistochemistry |
| Primary antibody type | Rabbit Polyclonal |
| Secondary antibody type | Polymer-HRP-Goat anti-Rabbit |
| Reactivity | Human, Mouse, Rat |
Kit components
| Component | Size | Concentration |
|---|---|---|
| Antigen Retrieval Buffer | 100 mL | 50× |
| Washing Buffer | 100 mL ×2 | 20× |
| Blocking Buffer | 5 mL | RTU |
| Primary Antibody | 5 mL | RTU |
| Secondary Antibody | 5 mL | RTU |
| Chromogen Component A | 0.2 mL | RTU |
| Chromogen Component B | 4 mL | RTU |
| Signal Enhancer | 5 mL | RTU |
| Counter Staining Reagent | 5 mL | RTU |
| Mounting Media | 5 mL | RTU |
| Datasheet | 1 Copy | |
| Manual | 1 Copy |
Background Information
The endoplasmic reticulum (ER)-transmembrane proteins, ATF6 alpha (ATF6) and ATF6 beta (ATF6B), are cleaved during the ER stress response (ERSR). The resulting N-terminal fragments of both ATF6 isoforms, which have conserved basic leucine-zipper and DNA binding domains but divergent transcriptional activation domains, translocate to the nucleus where they bind to ER stress-response elements (ERSE) in ERSR, such as Bip/GRP78.
Properties
| Storage Instructions | All the reagents are stored at 2-8°C. The kit is stable for 6 months from the date of receipt. |
| Synonyms | ATF6 beta, ATF6B, CREB RP, CREBL1, G13, Protein G13 |






