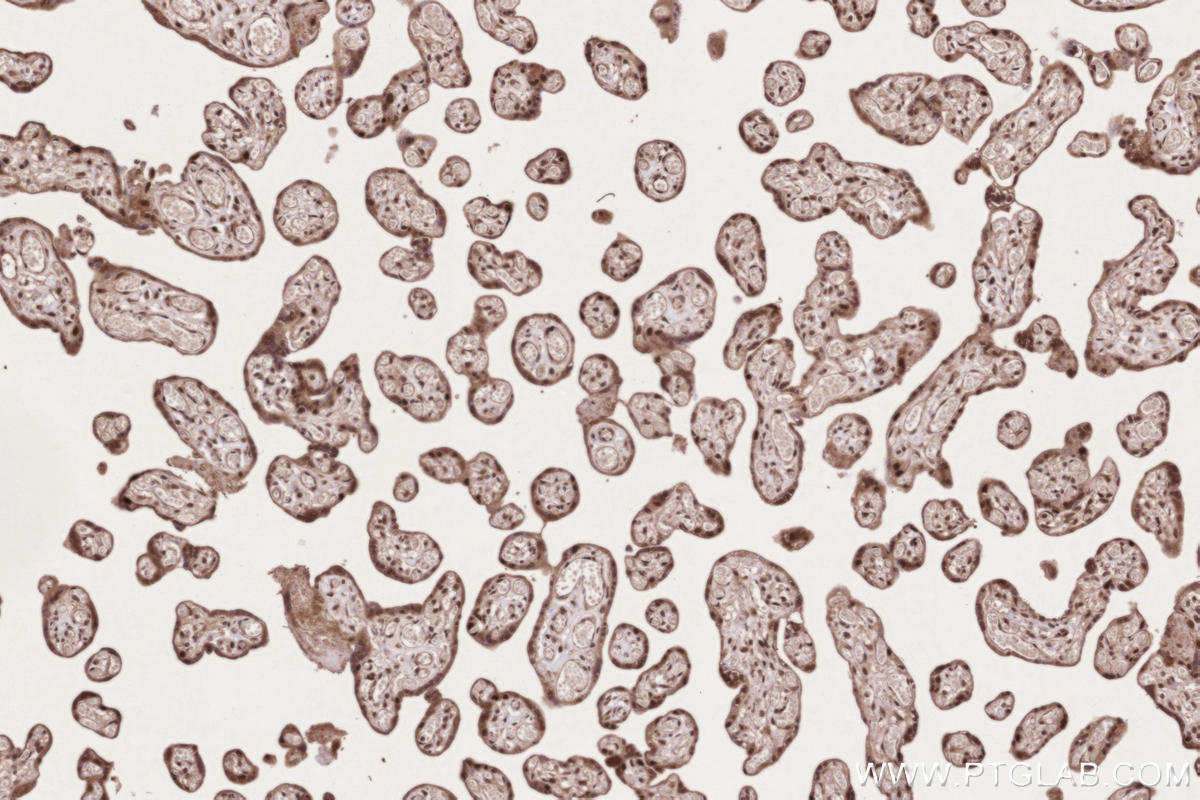
IHCeasy® APTX Ready-To-Use IHC Kit
APTX Ready-to-use reagent kit for IHC.
Reactivity
Human, Rat
Sample Type
FFPE tissue
Cat no : KHC2617
Synonyms
APTX,Aprataxin,AXA 1,AXA1,EC:3.6.1.71
Validation Data Gallery
Product Information
KHC2617 is a ready-to-use IHC kit for staining of APTX. The kit provides all reagents, from antigen retrieval to cover slip mounting, that require little to no diluting or handling prior to use. Simply apply the reagents to your sample slide according to the protocol and you're steps away from obtaining high-quality IHC data.
| Product name | IHCeasy APTX Ready-To-Use IHC Kit |
| Sample type | FFPE tissue |
| Assay type | Immunohistochemistry |
| Primary antibody type | Rabbit Polyclonal |
| Secondary antibody type | Polymer-HRP-Goat anti-Rabbit |
| Reactivity | Human, Rat |
Kit components
| Component | Size | Concentration |
|---|---|---|
| Antigen Retrieval Buffer | 100 mL | 50× |
| Washing Buffer | 100 mL ×2 | 20× |
| Blocking Buffer | 5 mL | RTU |
| Primary Antibody | 5 mL | RTU |
| Secondary Antibody | 5 mL | RTU |
| Chromogen Component A | 0.2 mL | RTU |
| Chromogen Component B | 4 mL | RTU |
| Signal Enhancer | 5 mL | RTU |
| Counter Staining Reagent | 5 mL | RTU |
| Mounting Media | 5 mL | RTU |
| Datasheet | 1 Copy | |
| Manual | 1 Copy |
Background Information
APTX, also named as Aprataxin, is a nuclear protein, present in both the nucleoplasm and the nucleolus, which is a member of the histidine triad (HIT) superfamily. APTX is involved in DNA single-strand break repair, mediating protein-protein interactions with molecules responding to DNA damage. APTX contains three conserved domains: an N-terminal forkhead-associated (FHA) domain which mediates protein-protein interactions, a HIT domain that is similar to Hint, and a C-terminal zinc finger domain. Loss of function mutations in APTX, the gene encoding for Aprataxin, destabilize the Aprataxin protein and result in a rare neurological disorder known as ataxia-oculomotor apraxia, characterized by abnormal movements of the head and eyes.
Properties
| Storage Instructions | All the reagents are stored at 2-8°C. The kit is stable for 6 months from the date of receipt. |
| Synonyms | APTX,Aprataxin,AXA 1,AXA1,EC:3.6.1.71 |




