IHCeasy® ACADL Ready-To-Use IHC Kit
ACADL Ready-to-use reagent kit for IHC.
Reactivity
Human, Mouse, Rat
Sample Type
FFPE tissue
Cat no : KHC3205
Synonyms
ACAD4, EC:1.3.8.8, LCAD, Long-chain specific acyl-CoA dehydrogenase, mitochondrial
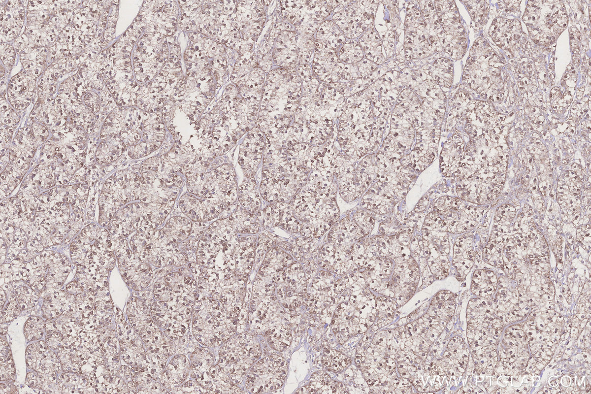
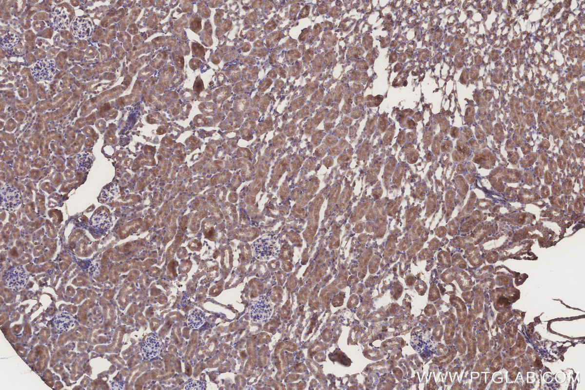
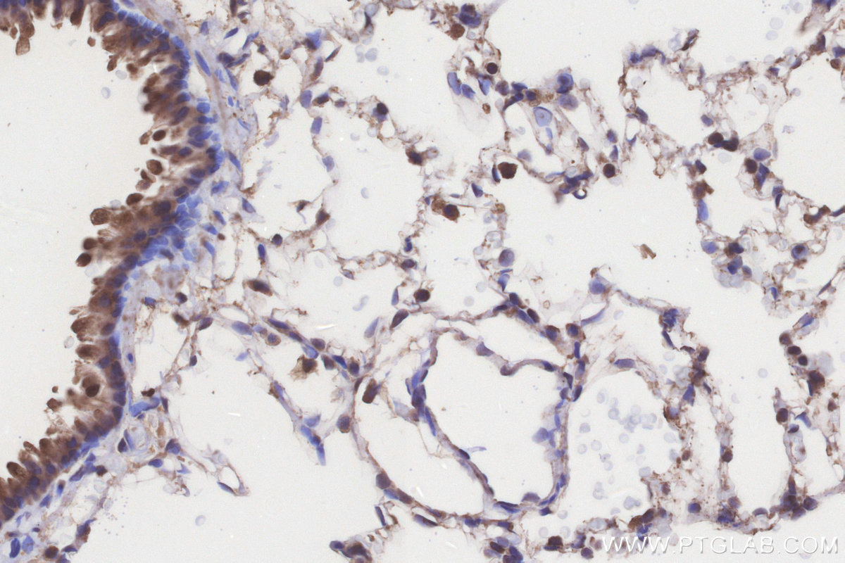
Validation Data Gallery
Product Information
KHC3205 is a ready-to-use IHC kit for staining of ACADL. The kit provides all reagents, from antigen retrieval to cover slip mounting, that require little to no diluting or handling prior to use. Simply apply the reagents to your sample slide according to the protocol and you're steps away from obtaining high-quality IHC data.
| Product name | IHCeasy® ACADL Ready-To-Use IHC Kit |
| Sample type | FFPE tissue |
| Assay type | Immunohistochemistry |
| Primary antibody type | Rabbit Polyclonal |
| Secondary antibody type | Polymer-HRP-Goat anti-Rabbit |
| Reactivity | Human, Mouse, Rat |
Kit components
| Component | Size | Concentration |
|---|---|---|
| Antigen Retrieval Buffer | 100 mL | 50× |
| Washing Buffer | 100 mL ×2 | 20× |
| Blocking Buffer | 5 mL | RTU |
| Primary Antibody | 5 mL | RTU |
| Secondary Antibody | 5 mL | RTU |
| Chromogen Component A | 0.2 mL | RTU |
| Chromogen Component B | 4 mL | RTU |
| Signal Enhancer | 5 mL | RTU |
| Counter Staining Reagent | 5 mL | RTU |
| Mounting Media | 5 mL | RTU |
| Datasheet | 1 Copy | |
| Manual | 1 Copy |
Background Information
ACADL(Long-chain specific acyl-CoA dehydrogenase, mitochondrial) is also named as LCAD and belongs to the acyl-CoA dehydrogenase family. It catalyzes the first reaction of the mitochondrial β-oxidation of fatty acids and is synthesized in the cytosol as a precursor that is larger than its mature from. Defects in ACADL are a cause of acyl-CoA dehydrogenase very long-chain deficiency (ACADVLD).
Properties
| Storage Instructions | All the reagents are stored at 2-8°C. The kit is stable for 6 months from the date of receipt. |
| Synonyms | ACAD4, EC:1.3.8.8, LCAD, Long-chain specific acyl-CoA dehydrogenase, mitochondrial |




