验证数据展示
经过测试的应用
| Positive WB detected in | SH-SY5Y cells |
| Positive IP detected in | SH-SY5Y cells |
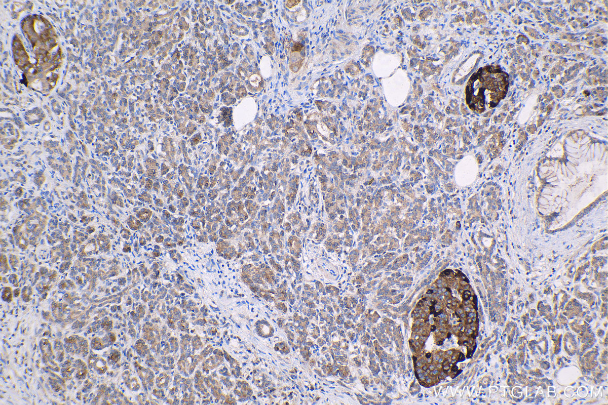
| Positive IHC detected in | human pancreas cancer tissue Note: suggested antigen retrieval with TE buffer pH 9.0; (*) Alternatively, antigen retrieval may be performed with citrate buffer pH 6.0 |
推荐稀释比
| 应用 | 推荐稀释比 |
|---|---|
| Western Blot (WB) | WB : 1:500-1:2000 |
| Immunoprecipitation (IP) | IP : 0.5-4.0 ug for 1.0-3.0 mg of total protein lysate |
| Immunohistochemistry (IHC) | IHC : 1:50-1:500 |
| It is recommended that this reagent should be titrated in each testing system to obtain optimal results. | |
| Sample-dependent, Check data in validation data gallery. | |
产品信息
11065-3-AP targets IGFBP2 in WB, IHC, IF, IP, ELISA applications and shows reactivity with human samples.
| 经测试应用 | WB, IHC, IP, ELISA Application Description |
| 文献引用应用 | WB, IHC, IF |
| 经测试反应性 | human |
| 文献引用反应性 | human, mouse, chicken, zebrafish |
| 免疫原 |
CatNo: Ag1535 Product name: Recombinant human IGFBP2 protein Source: e coli.-derived, PGEX-4T Tag: GST Domain: 1-328 aa of BC009902 Sequence: MLPRVGCPALPLPPPPLLPLLPLLLLLLGASGGGGGARAEVLFRCPPCTPERLAACGPPPVAPPAAVAAVAGGARMPCAELVREPGCGCCSVCARLEGEACGVYTPRCGQGLRCYPHPGSELPLQALVMGEGTCEKRRDAEYGASPEQVADNGDDHSEGGLVENHVDSTMNMLGGGGSAGRKPLKSGMKELAVFREKVTEQHRQMGKGGKHHLGLEEPKKLRPPPARTPCQQELDQVLERISTMRLPDERGPLEHLYSLHIPNCDKHGLYNLKQCKMSLNGQRGECWCVNPNTGKLIQGAPTIRGDPECHLFYNEQQEARGVHTQRMQ 种属同源性预测 |
| 宿主/亚型 | Rabbit / IgG |
| 抗体类别 | Polyclonal |
| 产品类型 | Antibody |
| 全称 | IGF binding protein 2 |
| 别名 | BP 2, BP2, IBP 2, IBP2, IBP-2 |
| 计算分子量 | 35 kDa |
| 观测分子量 | 33-36 kDa |
| GenBank蛋白编号 | BC009902 |
| 基因名称 | IGFBP2 |
| Gene ID (NCBI) | 3485 |
| RRID | AB_2123101 |
| 偶联类型 | Unconjugated |
| 形式 | Liquid |
| 纯化方式 | Antigen affinity purification |
| UNIPROT ID | P18065 |
| 储存缓冲液 | PBS with 0.02% sodium azide and 50% glycerol, pH 7.3. |
| 储存条件 | Store at -20°C. Stable for one year after shipment. Aliquoting is unnecessary for -20oC storage. |
背景介绍
IGFBP2, also known as BP2 and IBP2, is a member of the IGFBP family. It is predominantly expressed in fetal tissues that are highly proliferative, such as the early post-implantation epiblast, the ventricular zone of the rostral neuroepithelium, and has been found to be highly expressed in many cancers (PMID: 31925333). It is a promising protein in non-communicable diseases such as obesity, insulin resistance, metabolic syndrome or type 2 diabetes (PMID: 33498859).
实验方案
| Product Specific Protocols | |
|---|---|
| IHC protocol for IGFBP2 antibody 11065-3-AP | Download protocol |
| IP protocol for IGFBP2 antibody 11065-3-AP | Download protocol |
| WB protocol for IGFBP2 antibody 11065-3-AP | Download protocol |
| Standard Protocols | |
|---|---|
| Click here to view our Standard Protocols |
发表文章
| Species | Application | Title |
|---|---|---|
J Clin Invest A pro-tumorigenic secretory pathway activated by p53 deficiency in lung adenocarcinoma.
| ||
Nat Commun Ciliary membrane proteins traffic through the Golgi via a Rabep1/GGA1/Arl3-dependent mechanism. | ||
Oxid Med Cell Longev IGF1 Knockdown Hinders Myocardial Development through Energy Metabolism Dysfunction Caused by ROS-Dependent FOXO Activation in the Chicken Heart. | ||
Acta Physiol (Oxf) SARM1 promotes the neuroinflammation and demyelination through IGFBP2/NF-κB pathway in experimental autoimmune encephalomyelitis mice | ||
Front Immunol A multi-cohort validated OXPHOS signature predicts survival and immune profiles in grade II/III glioma patients |



