验证数据展示
经过测试的应用
| Positive WB detected in | HEK-293 cells, NIH/3T3 cell, MDCK cells, mouse thymus tissue | 
| Positive IP detected in | knockout cells and WT cells, HEK-293 cells | 
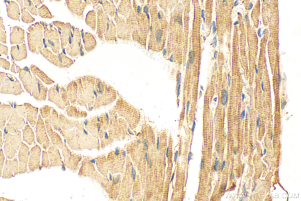
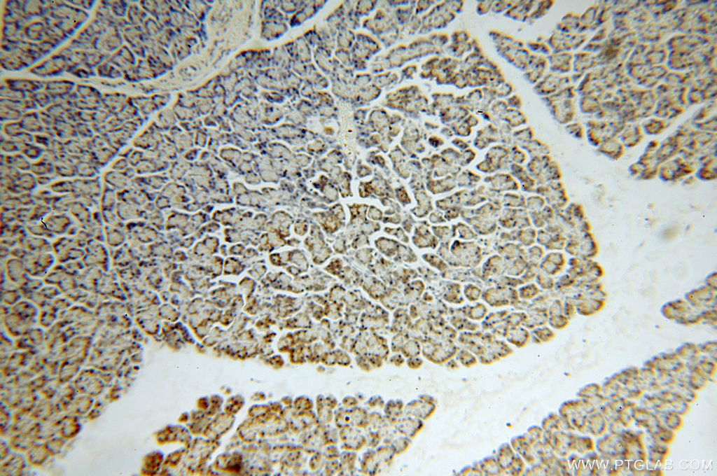
| Positive IHC detected in | mouse heart tissue, human pancreas tissue,  rat heart tissue Note: suggested antigen retrieval with TE buffer pH 9.0; (*) Alternatively, antigen retrieval may be performed with citrate buffer pH 6.0 | 
| Positive IF/ICC detected in | hTERT-RPE1 cells, MDCK cells, C2C12 cells | 
推荐稀释比
| 应用 | 推荐稀释比 | 
|---|---|
| Western Blot (WB) | WB : 1:2000-1:12000 | 
| Immunoprecipitation (IP) | IP : 0.5-4.0 ug for 1.0-3.0 mg of total protein lysate | 
| Immunohistochemistry (IHC) | IHC : 1:200-1:800 | 
| Immunofluorescence (IF)/ICC | IF/ICC : 1:200-1:800 | 
| It is recommended that this reagent should be titrated in each testing system to obtain optimal results. | |
| Sample-dependent, Check data in validation data gallery. | |
产品信息
13967-1-AP targets IFT88 in WB, IHC, IF/ICC, IP, CoIP, ELISA applications and shows reactivity with human, mouse, rat, canine samples.
| 经测试应用 | WB, IHC, IF/ICC, IP, ELISA Application Description | 
| 文献引用应用 | WB, IHC, IF, IP, CoIP | 
| 经测试反应性 | human, mouse, rat, canine | 
| 文献引用反应性 | human, mouse, rat, pig, canine, chicken, zebrafish | 
| 免疫原 | CatNo: Ag4980 Product name: Recombinant human IFT88 protein Source: e coli.-derived, PGEX-4T Tag: GST Domain: 532-833 aa of BC030776 Sequence: NIGLTYEKLNRLDEALDCFLKLHAILRNSAEVLYQIANIYELMENPSQAIEWLMQVVSVIPTDPQVLSKLGELYDRGGDKSQAFQYYYESYRYFPCNIEVIEWLGAYYIDTQFWEKAIQYFERASLIQPTQVKWQLMVASCFRRSGNYQKALDTYKDTHRKFPENVECLRFLVRLCTDLGLKDAQEYARKLKRLEKMKEIREQRIKSGRDGSGGSRGKREGSASGDSGQNYSASSKGERLSARLRALPGTNEPYESSSNKEIDASYVDPLGPQIERPKTAAKKRIDEDDFADEELGDDLLPE种属同源性预测 | 
| 宿主/亚型 | Rabbit / IgG | 
| 抗体类别 | Polyclonal | 
| 产品类型 | Antibody | 
| 全称 | intraflagellar transport 88 homolog (Chlamydomonas) | 
| 别名 | TTC10, TG737, Intraflagellar transport protein 88 homolog | 
| 计算分子量 | 94 kDa | 
| 观测分子量 | 94 kDa | 
| GenBank蛋白编号 | BC030776 | 
| 基因名称 | IFT88 | 
| Gene ID (NCBI) | 8100 | 
| RRID | AB_2121979 | 
| 偶联类型 | Unconjugated | 
| 形式 | Liquid | 
| 纯化方式 | Antigen affinity purification | 
| UNIPROT ID | Q13099 | 
| 储存缓冲液 | PBS with 0.02% sodium azide and 50% glycerol, pH 7.3. | 
| 储存条件 | Store at -20°C. Stable for one year after shipment. Aliquoting is unnecessary for -20oC storage. | 
背景介绍
Intraflagellar transport (IFT), mediated by molecular motors and IFT particles, is an important transport process that occurs in the cilium and has been shown to be essential for the assembly and maintenance of cilia and flagella in many organisms. IFT88 (intraflagellar transport protein 88; also known as TG737 or TTC10) is a component of IFT particles and required for cilium biogenesis. Defects in IFT88/Tg737 lead to polycystic kidney disease (11062270). IFT88 localizes to spindle poles during mitosis and is required for spindle orientation in mitosis (21441926). This antibody was raised against the C-terminal region of human IFT88 and can detect the endogenous level of IFT88.
实验方案
| Product Specific Protocols | |
|---|---|
| IF protocol for IFT88 antibody 13967-1-AP | Download protocol | 
| IHC protocol for IFT88 antibody 13967-1-AP | Download protocol | 
| IP protocol for IFT88 antibody 13967-1-AP | Download protocol | 
| WB protocol for IFT88 antibody 13967-1-AP | Download protocol | 
| Standard Protocols | |
|---|---|
| Click here to view our Standard Protocols | 
发表文章
| Species | Application | Title | 
|---|---|---|
| Science Apical abscission alters cell polarity and dismantles the primary cilium during neurogenesis. | ||
| Nat Genet A transition zone complex regulates mammalian ciliogenesis and ciliary membrane composition. | ||
| Nat Genet Mutations in PLK4, encoding a master regulator of centriole biogenesis, cause microcephaly, growth failure and retinopathy. | 













