验证数据展示
经过测试的应用
| Positive WB detected in | IFN beta treated HeLa cells | 
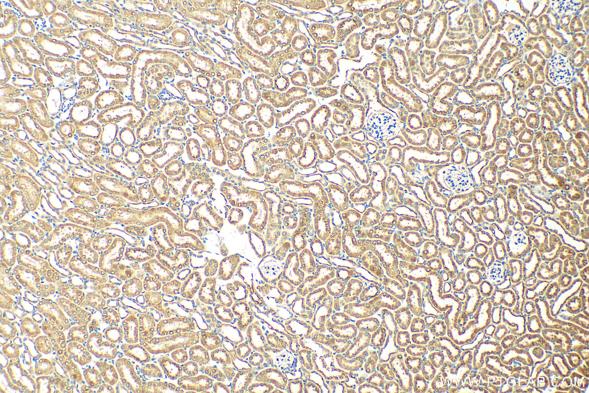
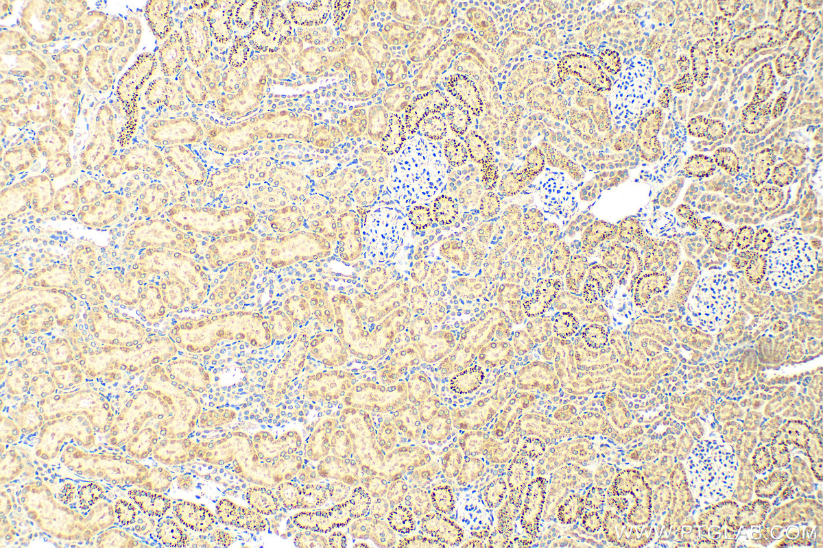
| Positive IHC detected in | mouse kidney tissue, human kidney tissue,  mouse brain tissue,  rat kidney tissue Note: suggested antigen retrieval with TE buffer pH 9.0; (*) Alternatively, antigen retrieval may be performed with citrate buffer pH 6.0 | 
| Positive IF/ICC detected in | HeLa cells | 
推荐稀释比
| 应用 | 推荐稀释比 | 
|---|---|
| Western Blot (WB) | WB : 1:1000-1:4000 | 
| Immunohistochemistry (IHC) | IHC : 1:300-1:1200 | 
| Immunofluorescence (IF)/ICC | IF/ICC : 1:200-1:800 | 
| It is recommended that this reagent should be titrated in each testing system to obtain optimal results. | |
| Sample-dependent, Check data in validation data gallery. | |
产品信息
23247-1-AP targets IFIT1 in WB, IHC, IF/ICC, CoIP, ELISA applications and shows reactivity with human, mouse, rat samples.
| 经测试应用 | WB, IHC, IF/ICC, ELISA Application Description | 
| 文献引用应用 | WB, IHC, IF, CoIP | 
| 经测试反应性 | human, mouse, rat | 
| 文献引用反应性 | human, mouse | 
| 免疫原 | CatNo: Ag19691 Product name: Recombinant human IFIT1 protein Source: e coli.-derived, PET28a Tag: 6*His Domain: 340-460 aa of BC007091 Sequence: EVAHLDLARMYIEAGNHRKAEENFQKLLCMKPVVEETMQDIHFHYGRFQEFQKKSDVNAIIHYLKAIKIEQASLTRDKSINSLKKLVLRKLRRKALDLESLSLLGFVYKLEGNMNEALEYY种属同源性预测 | 
| 宿主/亚型 | Rabbit / IgG | 
| 抗体类别 | Polyclonal | 
| 产品类型 | Antibody | 
| 全称 | interferon-induced protein with tetratricopeptide repeats 1 | 
| 别名 | G10P1, IFI 56K, IFI56, IFI-56K, IFIT 1 | 
| 计算分子量 | 478 aa, 55 kDa | 
| 观测分子量 | 55 KDa | 
| GenBank蛋白编号 | BC007091 | 
| 基因名称 | IFIT1 | 
| Gene ID (NCBI) | 3434 | 
| RRID | AB_2811269 | 
| 偶联类型 | Unconjugated | 
| 形式 | Liquid | 
| 纯化方式 | Antigen Affinity purified | 
| UNIPROT ID | P09914 | 
| 储存缓冲液 | PBS with 0.02% sodium azide and 50% glycerol, pH 7.3. | 
| 储存条件 | Store at -20°C. Stable for one year after shipment. Aliquoting is unnecessary for -20oC storage. | 
背景介绍
IFIT1, also known as glucocorticoid-attenuated response gene 16 protein (GARG-16), is a 463 amino acid protein belonging to the IFIT family. IFIT genes comprise a large family with three (IFIT1, IFIT2, and IFIT3) and four (IFIT1, IFIT2, IFIT3, and IFIT5) members in mice and humans, respectively. IFIT1 specifically bound virus PPP-RNA forms a complex with IFIT2 and IFIT3 to sequester the viral PPP-RNA and prevent virus replication.
实验方案
| Product Specific Protocols | |
|---|---|
| IF protocol for IFIT1 antibody 23247-1-AP | Download protocol | 
| IHC protocol for IFIT1 antibody 23247-1-AP | Download protocol | 
| WB protocol for IFIT1 antibody 23247-1-AP | Download protocol | 
| Standard Protocols | |
|---|---|
| Click here to view our Standard Protocols | 
发表文章
| Species | Application | Title | 
|---|---|---|
| Signal Transduct Target Ther TRAF3 activates STING-mediated suppression of EV-A71 and target of viral evasion | ||
| Adv Sci (Weinh) Single-Cell Transcriptomic Analysis of Primary and Metastatic Tumor Ecosystems in Esophageal Squamous Cell Carcinoma | ||
| Cancer Lett Induction of IFIT1/IFIT3 and inhibition of Bcl-2 orchestrate the treatment of myeloma and leukemia via pyroptosis
 | ||
| Int J Mol Sci Rubella Virus Triggers Type I Interferon Antiviral Response in Cultured Human Neural Cells: Involvement in the Control of Viral Gene Expression and Infectious Progeny Production | ||
| J Neuroinflammation Progression of pathology in PINK1-deficient mouse brain from splicing via ubiquitination, ER stress, and mitophagy changes to neuroinflammation. | ||
| Cell Oncol (Dordr) IFIT1 modulates the proliferation, migration and invasion of pancreatic cancer cells via Wnt/β-catenin signaling.
 | 










