验证数据展示
经过测试的应用
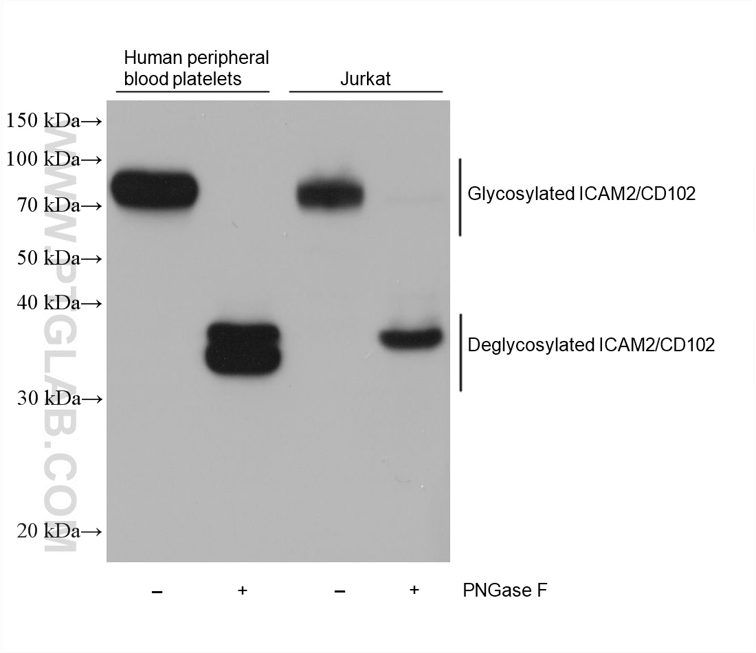
| Positive WB detected in | human peripheral blood platelets, Jurkat cells |
| Positive IF/ICC detected in | HUVEC cells |
推荐稀释比
| 应用 | 推荐稀释比 |
|---|---|
| Western Blot (WB) | WB : 1:5000-1:50000 |
| Immunofluorescence (IF)/ICC | IF/ICC : 1:995-1:3982 |
| It is recommended that this reagent should be titrated in each testing system to obtain optimal results. | |
| Sample-dependent, Check data in validation data gallery. | |
产品信息
67628-1-Ig targets ICAM2/CD102 in WB, IF/ICC, ELISA applications and shows reactivity with human samples.
| 经测试应用 | WB, IF/ICC, ELISA Application Description |
| 经测试反应性 | human |
| 免疫原 |
CatNo: Ag29441 Product name: Recombinant human ICAM2 protein Source: e coli.-derived, PET28a Tag: 6*His Domain: 65-223 aa of BC003097 Sequence: DKILLDEQAQWKHYLVSNISHDTVLQCHFTCSGKQESMNSNVSVYQPPRQVILTLQPTLVAVGKSFTIECRVPTVEPLDSLTLFLFRGNETLHYETFGKAAPAPQEATATFNSTADREDGHRNFSCLAVLDLMSRGGNIFHKHSAPKMLEIYEPVSDSQ 种属同源性预测 |
| 宿主/亚型 | Mouse / IgG2a |
| 抗体类别 | Monoclonal |
| 产品类型 | Antibody |
| 全称 | intercellular adhesion molecule 2 |
| 别名 | CD102, ICAM2, 1H3C6, ICAM 2, ICAM-2 |
| 计算分子量 | 31 kDa |
| 观测分子量 | 80 kDa, 35-37 kDa |
| GenBank蛋白编号 | BC003097 |
| 基因名称 | ICAM2/CD102 |
| Gene ID (NCBI) | 3384 |
| RRID | AB_2882829 |
| 偶联类型 | Unconjugated |
| 形式 | Liquid |
| 纯化方式 | Protein A purification |
| UNIPROT ID | P13598 |
| 储存缓冲液 | PBS with 0.02% sodium azide and 50% glycerol, pH 7.3. |
| 储存条件 | Store at -20°C. Stable for one year after shipment. Aliquoting is unnecessary for -20oC storage. |
背景介绍
ICAM2 is a cell adhesion protein having important roles in cell migration, especially during inflammation when leukocytes cross the endothelium. Initially described as a receptor for lymphocyte function-associated antigen-1 (LFA1), ICAM2 may play a role in lymphocyte recirculation by blocking LFA-1-dependent cell adhesion. It mediates adhesive interactions important for antigen-specific immune response, NK-cell mediated clearance, lymphocyte recirculation, and other cellular interactions important for immune response and surveillance.
实验方案
| Product Specific Protocols | |
|---|---|
| IF protocol for ICAM2/CD102 antibody 67628-1-Ig | Download protocol |
| WB protocol for ICAM2/CD102 antibody 67628-1-Ig | Download protocol |
| Standard Protocols | |
|---|---|
| Click here to view our Standard Protocols |

