验证数据展示
产品信息
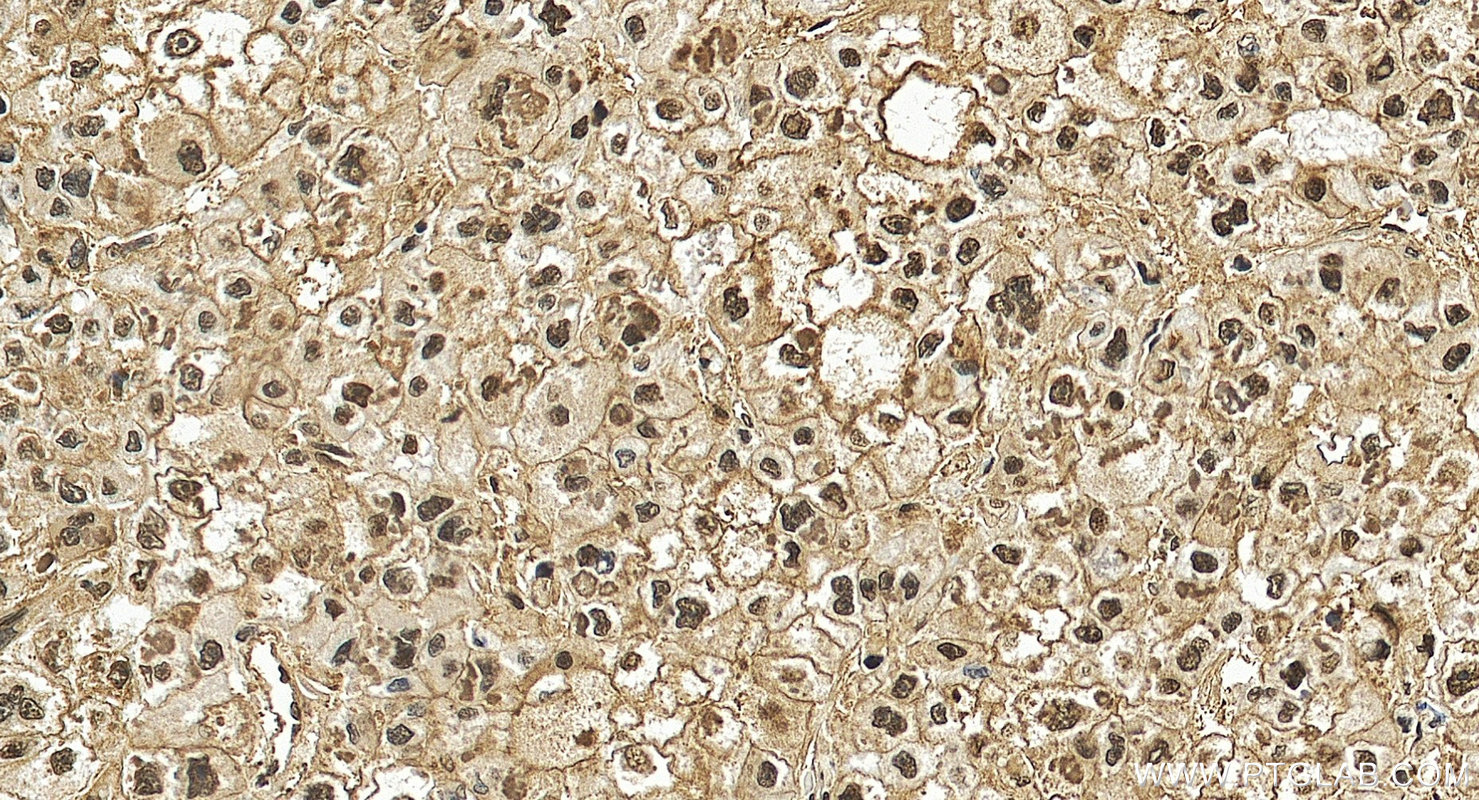
81719-2-PBS targets Hsc70 in WB, IHC, Indirect ELISA applications and shows reactivity with human, mouse, rat samples.
| 经测试应用 | WB, IHC, Indirect ELISA Application Description |
| 经测试反应性 | human, mouse, rat |
| 免疫原 |
CatNo: Ag1018 Product name: Recombinant human Hsc70 protein Source: e coli.-derived, PGEX-4T Tag: GST Domain: 288-587 aa of BC007276 Sequence: QKLLQDFFNGKELNKSINPDEAVAYGAAVQAAILSGDKSENVQDLLLLDVTPLSLGIETAGGVMTVLIKRNTTIPTKQTQTFTTYSDNQPGVLIQVYEGERAMTKDNNLLGKFELTGIPPAPRGVPQIEVTFDIDANGILNVSAVDKSTGKENKITITNDKGRLSKEDIERMVQEAEKYKAEDEKQRDKVSSKNSLESYAFNMKATVEDEKLQGKINDEDKQKILDKCNEIINWLDKNQTAEKEEFEHQQKELEKVCNPIITKLYQSAGGMPGGMPGGFPGGGAPPSGGASSGPTIEEVD 种属同源性预测 |
| 宿主/亚型 | Rabbit / IgG |
| 抗体类别 | Recombinant |
| 产品类型 | Antibody |
| 全称 | heat shock 70kDa protein 8 |
| 别名 | HSPA8, 3H9, EC:3.6.4.10, Heat shock cognate 71 kDa protein, Heat shock protein family A member 8 |
| 计算分子量 | 70 kDa |
| 观测分子量 | 70 kDa |
| GenBank蛋白编号 | BC007276 |
| 基因名称 | HSC70 |
| Gene ID (NCBI) | 3312 |
| 偶联类型 | Unconjugated |
| 形式 | Liquid |
| 纯化方式 | Protein A purification |
| UNIPROT ID | P11142 |
| 储存缓冲液 | PBS only, pH 7.3. |
| 储存条件 | Store at -80°C. The product is shipped with ice packs. Upon receipt, store it immediately at -80°C |
背景介绍
HSPA8 (also known as HSC70) is a member of the HSPA (HSP70) family of heat-shock proteins which are highly conserved chaperons implicated in protein folding, protein refolding, protein transport, and protein targeting. HSPA8 is a constitutively expressed cytosol/nuclear protein able to translocate between cytoplasm and nucleus. Recently it has been reported that HSPA8 can interact with α-synuclein, the critical pathological protein of Parkinson's disease, indicating its implication in neurodegenerative disease. (PMID: 21832061)


