验证数据展示
经过测试的应用
| Positive WB detected in | mouse heart tissue, HeLa cells, Raji cells, mouse liver tissue |
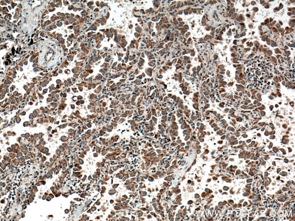
| Positive IHC detected in | human lung cancer tissue Note: suggested antigen retrieval with TE buffer pH 9.0; (*) Alternatively, antigen retrieval may be performed with citrate buffer pH 6.0 |
| Positive IF/ICC detected in | Hela cells |
推荐稀释比
| 应用 | 推荐稀释比 |
|---|---|
| Western Blot (WB) | WB : 1:500-1:2000 |
| Immunohistochemistry (IHC) | IHC : 1:50-1:500 |
| Immunofluorescence (IF)/ICC | IF/ICC : 1:10-1:100 |
| It is recommended that this reagent should be titrated in each testing system to obtain optimal results. | |
| Sample-dependent, Check data in validation data gallery. | |
产品信息
15115-1-AP targets HYAL2 in WB, IHC, IF/ICC, ELISA applications and shows reactivity with human, mouse, rat samples.
| 经测试应用 | WB, IHC, IF/ICC, ELISA Application Description |
| 文献引用应用 | WB, IHC, IF |
| 经测试反应性 | human, mouse, rat |
| 文献引用反应性 | human, mouse |
| 免疫原 |
CatNo: Ag7157 Product name: Recombinant sheep HYAL2 protein Source: e coli.-derived, PGEX-4T Tag: GST Domain: 100-428 aa of BC000692 Sequence: VPQNVSLWAHRKMLQKRVEHYIRTQESAGLAVIDWEDWRPVWVRNWQDKDVYRRLSRQLVASRHPDWPPDRIVKQAQYEFEFAAQQFMLETLRYVKAVRPRHLWGFYLFPDCYNHDYVQNWESYTGRCPDVEVARNDQLAWLWAESTALFPSVYLDETLASSRHGRNFVSFRVQEALRVARTHHANHALPVYVFTRPTYSRRLTGLSEMDLISTIGESAALGAAGVILWGDAGYTTSTETCQYLKDYLTRLLVPYVVNVSWATQYCSRAQCHGHGRCVRRNPSASTFLHLSTNSFRLVPGHAPGEPQLRPVGELSWADIDHLQTHFRCQ 种属同源性预测 |
| 宿主/亚型 | Rabbit / IgG |
| 抗体类别 | Polyclonal |
| 产品类型 | Antibody |
| 全称 | hyaluronoglucosaminidase 2 |
| 别名 | hyaluronoglucosaminidase 2, Hyaluronidase-2, Hyaluronidase 2, Hyal-2, Hyal 2 |
| 计算分子量 | 54 kDa |
| 观测分子量 | 54-60 kDa |
| GenBank蛋白编号 | BC000692 |
| 基因名称 | HYAL2 |
| Gene ID (NCBI) | 8692 |
| RRID | AB_2123393 |
| 偶联类型 | Unconjugated |
| 形式 | Liquid |
| 纯化方式 | Antigen affinity purification |
| UNIPROT ID | Q12891 |
| 储存缓冲液 | PBS with 0.02% sodium azide and 50% glycerol, pH 7.3. |
| 储存条件 | Store at -20°C. Stable for one year after shipment. Aliquoting is unnecessary for -20oC storage. |
背景介绍
Hyaluronic acid (HA) is a glycosaminoglycan that is believed to have numerous important biologic functions, including modulation of cell proliferation, migration, and differentiation, as well as the regulation of extracellular water and protein homeostasis. It is also an integral structural component of cartilage and other tissues and acts as a lubricant in joints. Hyaluronidases are a family of enzymes that catalyse the degradation of HA. In humans, there are five functional hyaluronidases: HYAL1, HYAL2, HYAL3, HYAL4 and HYAL5 (also known as SPAM1 or PH-20); plus a pseudogene, HYAL6 (also known as HYALP1). HYAL2 is present in many tissues except the adult brain (PMID: 11731268). HYAL2 can be exposed to cell surfaces that bind to the plasma membrane via GPI anchors (PMID: 11731268).
实验方案
| Product Specific Protocols | |
|---|---|
| IF protocol for HYAL2 antibody 15115-1-AP | Download protocol |
| IHC protocol for HYAL2 antibody 15115-1-AP | Download protocol |
| WB protocol for HYAL2 antibody 15115-1-AP | Download protocol |
| Standard Protocols | |
|---|---|
| Click here to view our Standard Protocols |
发表文章
| Species | Application | Title |
|---|---|---|
Genet Med Elucidating the clinical spectrum and molecular basis of HYAL2 deficiency.
| ||
Front Immunol Complement protein C1q stimulates hyaluronic acid degradation via gC1qR/HABP1/p32 in malignant pleural mesothelioma | ||
Cancers (Basel) Impact of Hyaluronic Acid on the Cutaneous T-Cell Lymphoma Microenvironment: A Novel Anti-Tumor Mechanism of Bexarotene | ||
Dermatol Ther Role of Momordica charantia in preventing the natural aging process of skin and sexual organs in mice. | ||
Matrix Biol Hyaluronan degradation by HYAL2 is essential for odontoblastic differentiation and migration of mouse dental papilla cells |





