验证数据展示
经过测试的应用
| Positive WB detected in | Daudi cells, HEK-293 cells | 
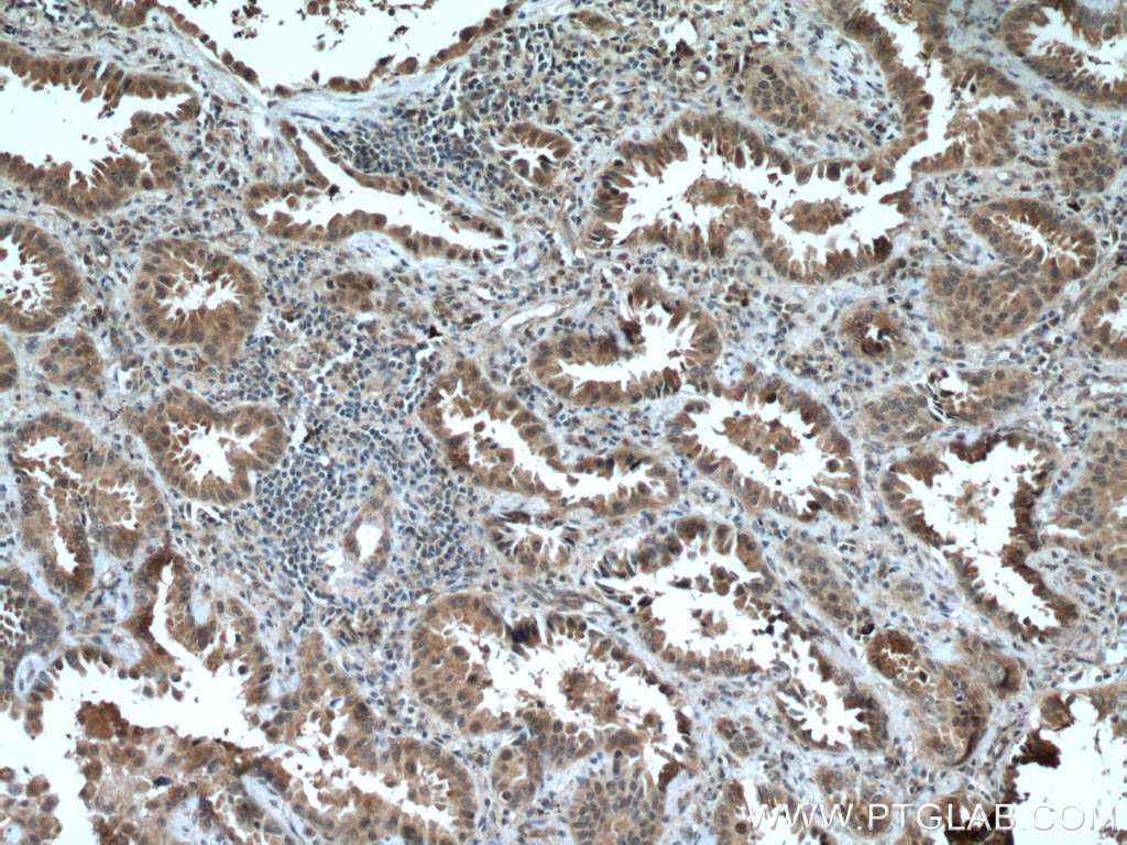
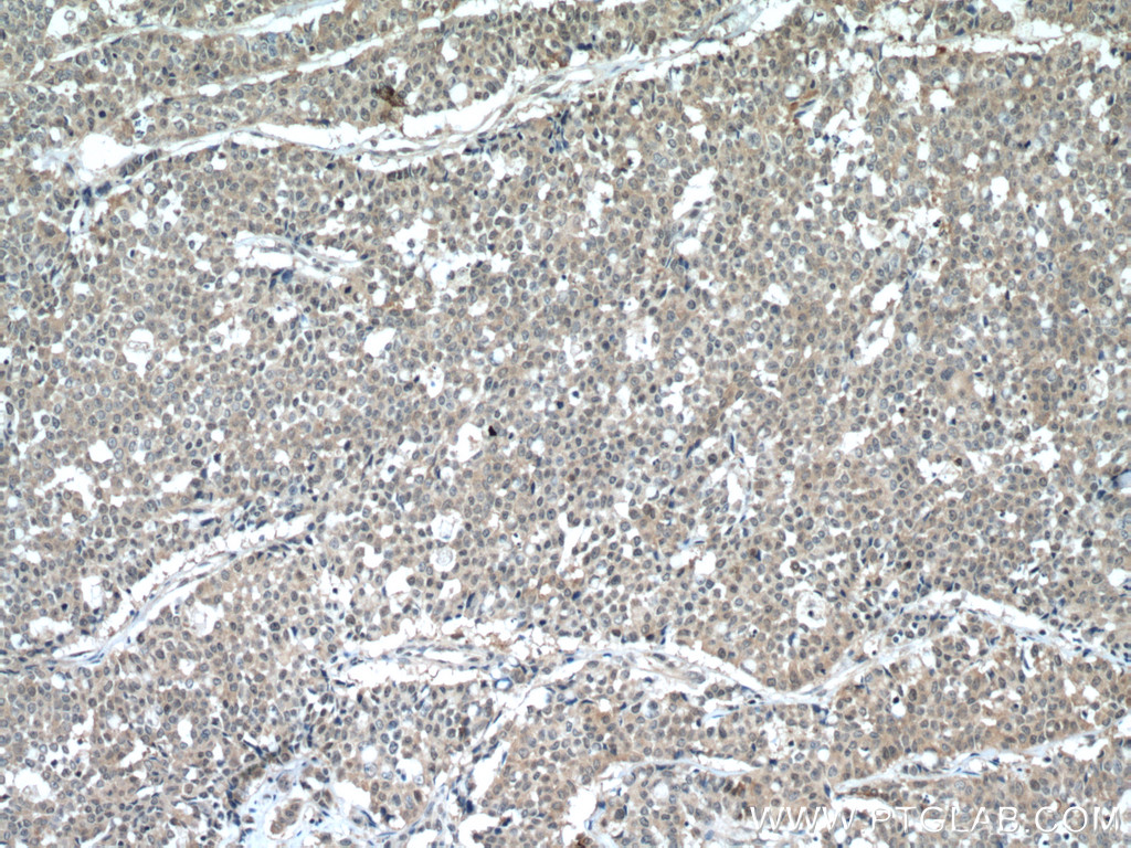
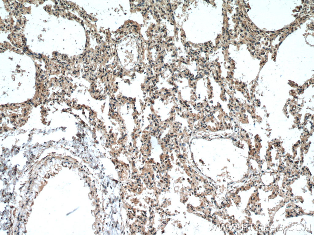
| Positive IHC detected in | human lung cancer tissue, human lung tissue,  human colon cancer tissue Note: suggested antigen retrieval with TE buffer pH 9.0; (*) Alternatively, antigen retrieval may be performed with citrate buffer pH 6.0 | 
推荐稀释比
| 应用 | 推荐稀释比 | 
|---|---|
| Western Blot (WB) | WB : 1:500-1:3000 | 
| Immunohistochemistry (IHC) | IHC : 1:500-1:2000 | 
| It is recommended that this reagent should be titrated in each testing system to obtain optimal results. | |
| Sample-dependent, Check data in validation data gallery. | |
产品信息
19430-1-AP targets HUWE1 in WB, IHC, IF, IP, ELISA applications and shows reactivity with human, mouse samples.
| 经测试应用 | WB, IHC, ELISA Application Description | 
| 文献引用应用 | WB, IHC, IF, IP | 
| 经测试反应性 | human, mouse | 
| 文献引用反应性 | human, mouse | 
| 免疫原 | CatNo: Ag13763 Product name: Recombinant human HUWE1 protein Source: e coli.-derived, PGEX-4T Tag: GST Domain: 3983-4374 aa of BC002602 Sequence: AVLVDYIRVLDFDVKRKYFRQELERLDEGLRKEDMAVHVLRDHVFEDSYRELHRKSPEEMKNRLYIVFEGEEGQDAGGLLREWYMIISREMFNPMYALFRTSPGDRVTYTINPSSHCNPNHLSYFKFVGRIVAKAVYDNRLLECYFTRSFYKHILGKSVRYTDMESEDYHFYQGLVYLLENDVSTLGYDLTFSTEVQEFGVCEVRDLKPNGANILVTEENKKEYVHLVCQMRMTGAIRKQLAAFLEGFYEIIPKRLISIFTEQELELLISGLPTIDIDDLKSNTEYHKYQSNSIQIQWFWRALRSFDQADRAKFLQFVTGTSKVPLQGFAALEGMNGIQKFQIHRDDRSTDRLPSAHTCFNQLDLPAYESFEKLRHMLLLAIQECSEGFGLA种属同源性预测 | 
| 宿主/亚型 | Rabbit / IgG | 
| 抗体类别 | Polyclonal | 
| 产品类型 | Antibody | 
| 全称 | HECT, UBA and WWE domain containing 1 | 
| 别名 | ARF binding protein 1, ARF BP1, ARF-binding protein 1, ARF-BP1, E3 ubiquitin-protein ligase HUWE1 | 
| 计算分子量 | 437 aa, 482 kDa | 
| 观测分子量 | 482 kDa-550 kDa | 
| GenBank蛋白编号 | BC002602 | 
| 基因名称 | HUWE1 | 
| Gene ID (NCBI) | 10075 | 
| RRID | AB_2878579 | 
| 偶联类型 | Unconjugated | 
| 形式 | Liquid | 
| 纯化方式 | Antigen affinity purification | 
| UNIPROT ID | Q7Z6Z7 | 
| 储存缓冲液 | PBS with 0.02% sodium azide and 50% glycerol, pH 7.3. | 
| 储存条件 | Store at -20°C. Stable for one year after shipment. Aliquoting is unnecessary for -20oC storage. | 
背景介绍
HUWE1 encodes a HECT domain ubiquitin ligase which is a large protein (500 kDa) has attracted considerable interest because several and quite disparate substrates have been assigned to this E3. It has a role in regulating Berg-mann glia differentiation and this ubiquitin ligase orchestrates the programming of the neural progenitors that give rise to neurons and glia in the cerebellum. HUWE1 is essential for proliferation of a subset of tumor cells, and negative regulator of TP53 during the colorectal carcinoma progression through the ubiquitination pathway mediated by the HECT domain (PMID:15567145). HUWE1 plays a critical role in lung cancer and increased HUWE1 expression is significantly associated with worse prognosis which suggest that HUWE1 might be a potential target for lung cancer therapy (PMID: 30026863).
实验方案
| Product Specific Protocols | |
|---|---|
| IHC protocol for HUWE1 antibody 19430-1-AP | Download protocol | 
| WB protocol for HUWE1 antibody 19430-1-AP | Download protocol | 
| Standard Protocols | |
|---|---|
| Click here to view our Standard Protocols | 
发表文章
| Species | Application | Title | 
|---|---|---|
| Nat Commun Overcoming therapeutic resistance in oncolytic herpes virotherapy by targeting IGF2BP3-induced NETosis in malignant glioma | ||
| Sci Adv Genomic gain of RRS1 promotes hepatocellular carcinoma through reducing the RPL11-MDM2-p53 signaling.
 | ||
| FASEB J HUWE1 promotes EGFR ubiquitination and degradation to protect against renal tubulointerstitial fibrosis. | ||
| J Cell Sci Derlin-1 promotes ubiquitination and degradation of epithelial sodium channel (ENaC).
 | ||
| J Cell Sci The role of USP7 in the Shoc2-ERK1/2 signaling axis and Noonan-like syndrome with loose anagen hair.
 | 








