验证数据展示
经过测试的应用
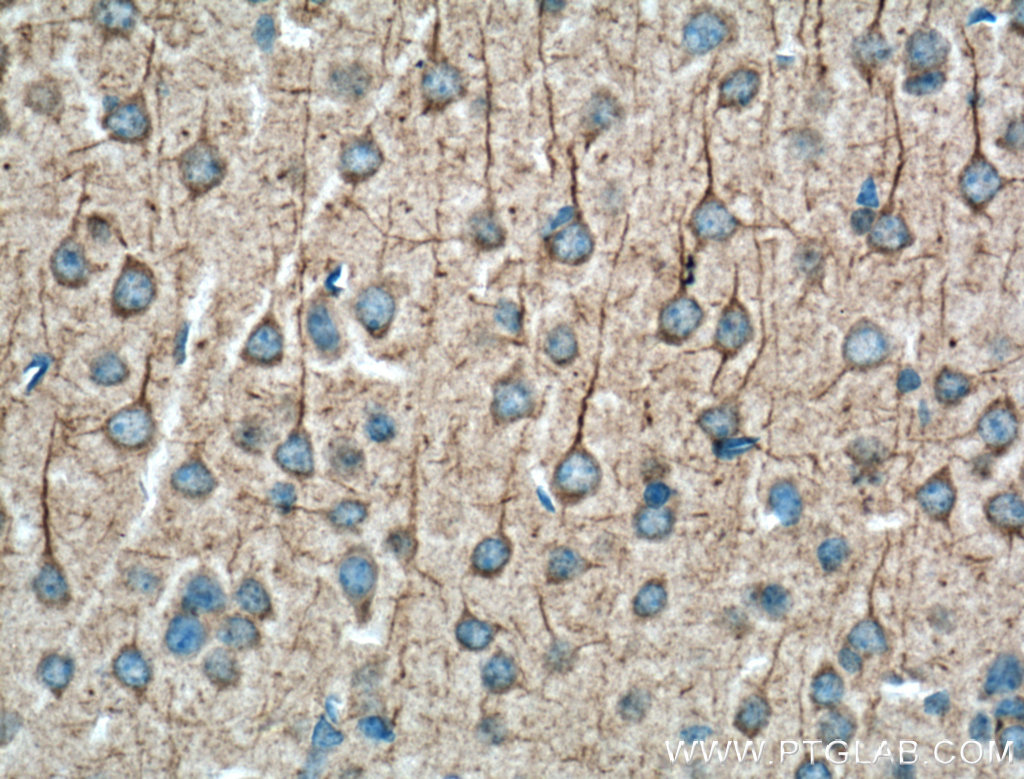
| Positive IHC detected in | rat cerebellum tissue, mouse brain tissue Note: suggested antigen retrieval with TE buffer pH 9.0; (*) Alternatively, antigen retrieval may be performed with citrate buffer pH 6.0 |
| Positive IF-P detected in | rat cerebellum tissue |
| Positive IF/ICC detected in | HEK-293 cells, SH-SY5Y cells |
推荐稀释比
| 应用 | 推荐稀释比 |
|---|---|
| Immunohistochemistry (IHC) | IHC : 1:200-1:800 |
| Immunofluorescence (IF)-P | IF-P : 1:50-1:500 |
| Immunofluorescence (IF)/ICC | IF/ICC : 1:50-1:500 |
| It is recommended that this reagent should be titrated in each testing system to obtain optimal results. | |
| Sample-dependent, Check data in validation data gallery. | |
产品信息
19957-1-AP targets Huntingtin in IHC, IF/ICC, IF-P, ELISA applications and shows reactivity with human, mouse, rat samples.
| 经测试应用 | IHC, IF/ICC, IF-P, ELISA Application Description |
| 经测试反应性 | human, mouse, rat |
| 免疫原 |
Peptide 种属同源性预测 |
| 宿主/亚型 | Rabbit / IgG |
| 抗体类别 | Polyclonal |
| 产品类型 | Antibody |
| 全称 | huntingtin |
| 别名 | HTT, HD, HD protein, Huntingtin, myristoylated N-terminal fragment, Huntington disease protein |
| 计算分子量 | 348 kDa |
| GenBank蛋白编号 | NM_002111 |
| 基因名称 | Huntingtin |
| Gene ID (NCBI) | 3064 |
| RRID | AB_2878629 |
| 偶联类型 | Unconjugated |
| 形式 | Liquid |
| 纯化方式 | Antigen affinity purification |
| UNIPROT ID | P42858 |
| 储存缓冲液 | PBS with 0.02% sodium azide and 50% glycerol, pH 7.3. |
| 储存条件 | Store at -20°C. Stable for one year after shipment. Aliquoting is unnecessary for -20oC storage. |
背景介绍
HTT, also named as HD and IT15, belongs to the huntingtin family. HTT may play a role in microtubule-mediated transport or vesicle function. Defects in HTT are the cause of Huntington disease (HD) which is an autosomal dominant neurodegenerative disorder characterized by involuntary movements (chorea), general motor impairment, psychiatric disorders and dementia. The antibody recognizes the C-term of HTT.
实验方案
| Product Specific Protocols | |
|---|---|
| IF protocol for Huntingtin antibody 19957-1-AP | Download protocol |
| IHC protocol for Huntingtin antibody 19957-1-AP | Download protocol |
| Standard Protocols | |
|---|---|
| Click here to view our Standard Protocols |








