验证数据展示
经过测试的应用
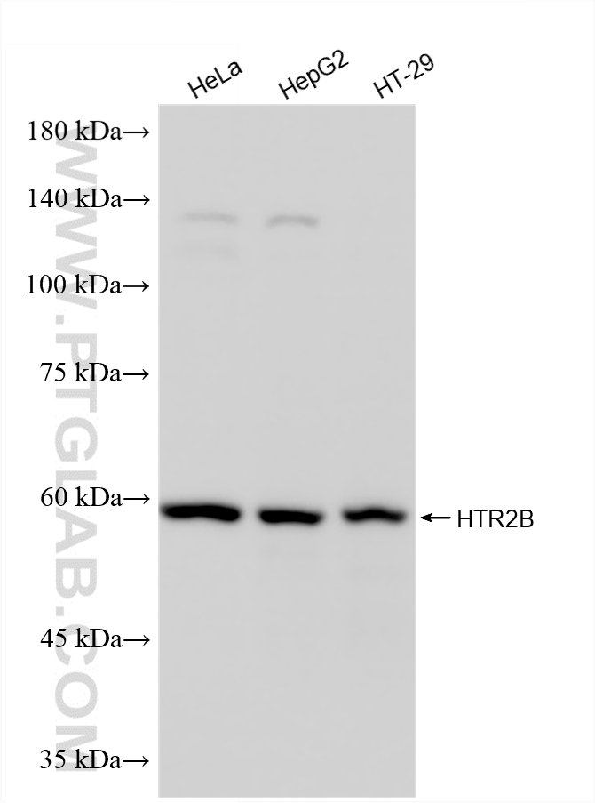
| Positive WB detected in | HeLa cells, HepG2 cells, HT-29 cells |
推荐稀释比
| 应用 | 推荐稀释比 |
|---|---|
| Western Blot (WB) | WB : 1:1000-1:8000 |
| It is recommended that this reagent should be titrated in each testing system to obtain optimal results. | |
| Sample-dependent, Check data in validation data gallery. | |
产品信息
87277-1-RR targets HTR2B in WB, ELISA applications and shows reactivity with human samples.
| 经测试应用 | WB, ELISA Application Description |
| 经测试反应性 | human |
| 免疫原 |
CatNo: Ag24007 Product name: Recombinant human HTR2B protein Source: e coli.-derived, PET28a Tag: 6*His Domain: 1-56 aa of BC063123 Sequence: MALSYRVSELQSTIPEHILQSTFVHVISSNWSGLQTESIPEEMKQIVEEQGNKLHW 种属同源性预测 |
| 宿主/亚型 | Rabbit / IgG |
| 抗体类别 | Recombinant |
| 产品类型 | Antibody |
| 全称 | 5-hydroxytryptamine (serotonin) receptor 2B |
| 别名 | 5 HT 2B, 5 HT(2B), 5 HT2B, 5-HT2B, 5-HT-2B |
| 计算分子量 | 54 kDa |
| 观测分子量 | 57 kDa |
| GenBank蛋白编号 | BC063123 |
| 基因名称 | HTR2B |
| Gene ID (NCBI) | 3357 |
| RRID | AB_3745441 |
| 偶联类型 | Unconjugated |
| 形式 | Liquid |
| 纯化方式 | Protein A purification |
| UNIPROT ID | P41595 |
| 储存缓冲液 | PBS with 0.02% sodium azide and 50% glycerol, pH 7.3. |
| 储存条件 | Store at -20°C. Stable for one year after shipment. Aliquoting is unnecessary for -20oC storage. |
背景介绍
The serotonin (5-HT) gene has been implicated in the development of personality traits or temperament predisposition. HTR2B(serotonin receptor 2B) has been shown that 3,4-methylene-dioxymethamphetamine, commonly referred to as the drug ecstasy, selectively binds and activates 5-HT2B receptors to induce serotonin release in mouse raphe nuclei, which leads to dopamine release in the nucleus accumbens and ventral tegmentum (PMID:23774082). Moreover, One of the most reliable predictive markers of UM (Uveal melanoma) at risk of evolving toward the formation of liver lesions is an abnormally elevated level of expression of the transcript encoding the HTR2B (PMID:31002821).
实验方案
| Product Specific Protocols | |
|---|---|
| WB protocol for HTR2B antibody 87277-1-RR | Download protocol |
| Standard Protocols | |
|---|---|
| Click here to view our Standard Protocols |
