验证数据展示
经过测试的应用
| Positive WB detected in | MCF7 cells, HeLa cells, human brain tissue, Jurkat cells, K-562 cells | 
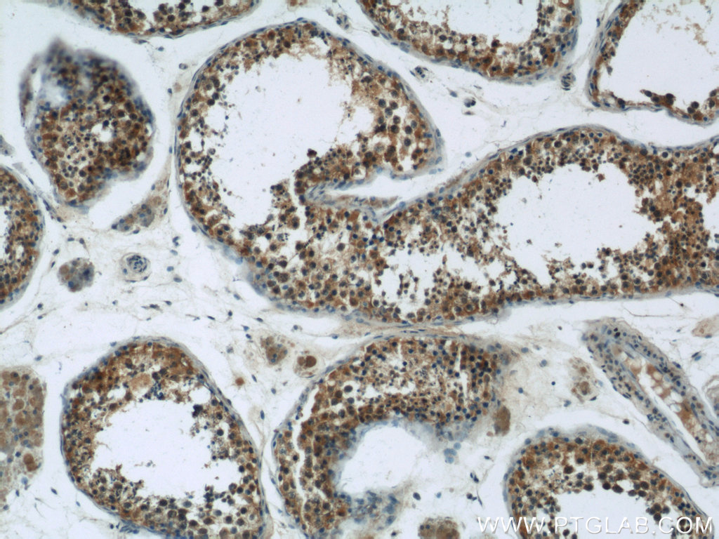
| Positive IHC detected in | human colon cancer tissue, human testis tissue,  human liver cancer tissue,  human pancreas cancer tissue Note: suggested antigen retrieval with TE buffer pH 9.0; (*) Alternatively, antigen retrieval may be performed with citrate buffer pH 6.0  | 
推荐稀释比
| 应用 | 推荐稀释比 | 
|---|---|
| Western Blot (WB) | WB : 1:500-1:2000 | 
| Immunohistochemistry (IHC) | IHC : 1:200-1:1200 | 
| It is recommended that this reagent should be titrated in each testing system to obtain optimal results. | |
| Sample-dependent, Check data in validation data gallery. | |
发表文章中的应用
| WB | See 3 publications below | 
| IF | See 4 publications below | 
产品信息
13383-1-AP targets HSPH1 in WB, IHC, IF, ELISA applications and shows reactivity with human samples.
| 经测试应用 | WB, IHC, ELISA Application Description | 
| 文献引用应用 | WB, IF | 
| 经测试反应性 | human | 
| 文献引用反应性 | human, mouse, rat | 
| 免疫原 | 
                                             CatNo: Ag4224 Product name: Recombinant human HSPH1 protein Source: e coli.-derived, PGEX-4T Tag: GST Domain: 508-858 aa of BC037553 Sequence: MSSEADMECLNQRPPENPDTDKNVQQDNSEAGTQPQVQTDAQQTSQSPPSPELTSEENKIPDADKANEKKVDQPPEAKKPKIKVVNVELPIEANLVWQLGKDLLNMYIETEGKMIMQDKLEKERNDAKNAVEEYVYEFRDKLCGPYEKFICEQDHQNFLRLLTETEDWLYEEGEDQAKQAYVDKLEELMKIGTPVKVRFQEAEERPKMFEELGQRLQHYAKIAADFRNKDEKYNHIDESEMKKVEKSVNEVMEWMNNVMNAQAKKSLDQDPVVRAQEIKTKIKELNNTCEPVVTQPKPKIESPKLERTPNGPNIDKKEEDLEDKNNFGAEPPHQNGECYPNEKNSVNMDLD 种属同源性预测 | 
                                    
| 宿主/亚型 | Rabbit / IgG | 
| 抗体类别 | Polyclonal | 
| 产品类型 | Antibody | 
| 全称 | heat shock 105kDa/110kDa protein 1 | 
| 别名 | KIAA0201, HSP110, HSP105, Heat shock protein family H member 1, Antigen NY-CO-25 | 
| 计算分子量 | 858 aa, 97 kDa | 
| 观测分子量 | 110 kDa | 
| GenBank蛋白编号 | BC037553 | 
| 基因名称 | HSPH1 | 
| Gene ID (NCBI) | 10808 | 
| RRID | AB_2233157 | 
| 偶联类型 | Unconjugated | 
| 形式 | Liquid | 
| 纯化方式 | Antigen affinity purification | 
| UNIPROT ID | Q92598 | 
| 储存缓冲液 | PBS with 0.02% sodium azide and 50% glycerol, pH 7.3. | 
| 储存条件 | Store at -20°C. Stable for one year after shipment. Aliquoting is unnecessary for -20oC storage. | 
背景介绍
HSP105, also known as HSP110 or HSPH1, belongs to the heat shock protein (HSP) family. Human HSP105 is a high-molecular-weight chaperone protein expressed at constitutively low levels as a cytoplasmic α-isoform and as an inducible nuclear β-isoform on exposure to various forms of stress. HSP105 is constitutively overexpressed in several solid tumors, including melanoma, breast, thyroid, and gastroenteric cancers, and exerts antiapoptotic functions. Recently HSP105 has been identified as a novel candidate biomarker of lymphoma aggressiveness. This antibody recognizes both HSP105α and HSP105β isoforms. Western blot analysis using this antibody detected a major band around 100-110 kDa in Jurkat cells.
实验方案
| Product Specific Protocols | |
|---|---|
| IHC protocol for HSPH1 antibody 13383-1-AP | Download protocol | 
| WB protocol for HSPH1 antibody 13383-1-AP | Download protocol | 
| Standard Protocols | |
|---|---|
| Click here to view our Standard Protocols | 
发表文章
| Species | Application | Title | 
|---|---|---|
Nat Cell Biol Heat-shock chaperone HSPB1 regulates cytoplasmic TDP-43 phase separation and liquid-to-gel transition | ||
Dev Cell Nuclear import carrier Hikeshi cooperates with HSP70 to promote murine oligodendrocyte differentiation and CNS myelination | ||
Mol Ther Nucleic Acids Age-associated changes in microglia and astrocytes ameliorate blood-brain barrier dysfunction | ||
Mol Reprod Dev Identification of Hsf1 as a novel androgen receptor-regulated gene in mouse sertoli cells. | ||
bioRxiv Endothelial Cells are Heterogeneous in Different Brain Regions and are Dramatically Altered in Alzheimer's Disease | ||
J Neurosci Endothelial Cells Are Heterogeneous in Different Brain Regions and Are Dramatically Altered in Alzheimer's Disease | 















