验证数据展示
经过测试的应用
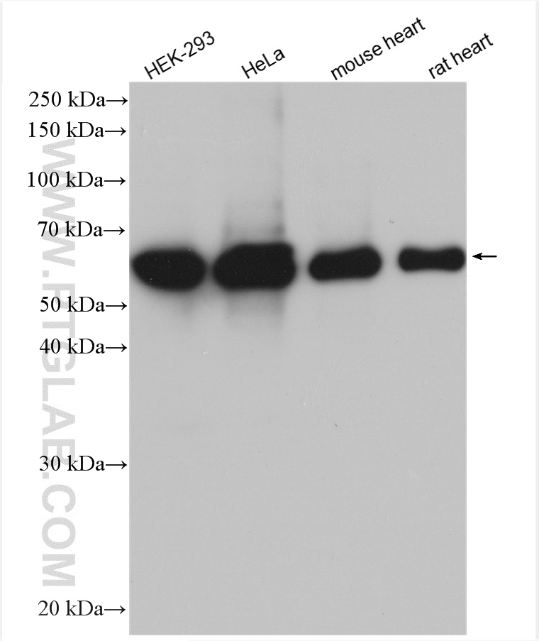
| Positive WB detected in | HEK-293 cells, HepG2 cells, NIH/3T3 cells, HeLa, mouse heart, rat heart |
| Positive IP detected in | HEK-293 cells |
| Positive IHC detected in | human lung cancer tissue Note: suggested antigen retrieval with TE buffer pH 9.0; (*) Alternatively, antigen retrieval may be performed with citrate buffer pH 6.0 |
| Positive IF/ICC detected in | HeLa cells |
| Positive FC (Intra) detected in | HepG2 cells |
推荐稀释比
| 应用 | 推荐稀释比 |
|---|---|
| Western Blot (WB) | WB : 1:2000-1:16000 |
| Immunoprecipitation (IP) | IP : 0.5-4.0 ug for 1.0-3.0 mg of total protein lysate |
| Immunohistochemistry (IHC) | IHC : 1:50-1:500 |
| Immunofluorescence (IF)/ICC | IF/ICC : 1:50-1:500 |
| Flow Cytometry (FC) (INTRA) | FC (INTRA) : 0.40 ug per 10^6 cells in a 100 µl suspension |
| It is recommended that this reagent should be titrated in each testing system to obtain optimal results. | |
| Sample-dependent, Check data in validation data gallery. | |
产品信息
15282-1-AP targets HSP60 in WB, IHC, IF/ICC, FC (Intra), IP, CoIP, ELISA applications and shows reactivity with human, mouse, rat samples.
| 经测试应用 | WB, IHC, IF/ICC, FC (Intra), IP, ELISA Application Description |
| 文献引用应用 | WB, IHC, IF, IP, CoIP, ELISA |
| 经测试反应性 | human, mouse, rat |
| 文献引用反应性 | human, mouse, rat, pig, chicken, zebrafish, goat, yeast, fish, duck |
| 免疫原 |
CatNo: Ag7401 Product name: Recombinant human HSPD1 protein Source: e coli.-derived, PGEX-4T Tag: GST Domain: 225-573 aa of BC003030 Sequence: SPYFINTSKGQKCEFQDAYVLLSEKKISSIQSIVPALEIANAHRKPLVIIAEDVDGEALSTLVLNRLKVGLQVVAVKAPGFGDNRKNQLKDMAIATGGAVFGEEGLTLNLEDVQPHDLGKVGEVIVTKDDAMLLKGKGDKAQIEKRIQEIIEQLDVTTSEYEKEKLNERLAKLSDGVAVLKVGGTSDVEVNEKKDRVTDALNATRAAVEEGIVLGGGCALLRCIPALDSLTPANEDQKIGIEIIKRTLKIPAMTIAKNAGVEGSLIVEKIMQSSSEVGYDAMAGDFVNMVEKGIIDPTKVVRTALLDAAGVASLLTTAEVVVTEIPKEEKDPGMGAMGGMGGGMGGGMF 种属同源性预测 |
| 宿主/亚型 | Rabbit / IgG |
| 抗体类别 | Polyclonal |
| 产品类型 | Antibody |
| 全称 | heat shock 60kDa protein 1 (chaperonin) |
| 别名 | HSPD1, 60 kDa chaperonin, Chaperonin 60, CPN60, EC:5.6.1.7 |
| 计算分子量 | 61 kDa |
| 观测分子量 | 60 kDa |
| GenBank蛋白编号 | BC003030 |
| 基因名称 | HSP60 |
| Gene ID (NCBI) | 3329 |
| RRID | AB_2121440 |
| 偶联类型 | Unconjugated |
| 形式 | Liquid |
| 纯化方式 | Antigen affinity purification |
| UNIPROT ID | P10809 |
| 储存缓冲液 | PBS with 0.02% sodium azide and 50% glycerol, pH 7.3. |
| 储存条件 | Store at -20°C. Stable for one year after shipment. Aliquoting is unnecessary for -20oC storage. |
背景介绍
HSPD1, also known as HSP60, belongs to the chaperonin family and acts as a chaperone to enhance cell survival under physiological stresses. Hsp60 has been shown to be connected with many aspects of cell functions such as protein folding and assembling of polypeptide chains in mitochondria. Recently it has been reported that HSP60 is associated with apoptosis or inhibition of cancer cell growth. (21822415)
实验方案
| Product Specific Protocols | |
|---|---|
| IF protocol for HSP60 antibody 15282-1-AP | Download protocol |
| IHC protocol for HSP60 antibody 15282-1-AP | Download protocol |
| IP protocol for HSP60 antibody 15282-1-AP | Download protocol |
| WB protocol for HSP60 antibody 15282-1-AP | Download protocol |
| Standard Protocols | |
|---|---|
| Click here to view our Standard Protocols |
发表文章
| Species | Application | Title |
|---|---|---|
Nucleic Acids Res RNase H1 facilitates recombinase recruitment by degrading DNA-RNA hybrids during meiosis | ||
J Hazard Mater Long-term effect of PBDE-99 prenatal exposure on spermatogenic injuries via the dysregulation of autophagy | ||
Nat Commun Endonuclease G promotes autophagy by suppressing mTOR signaling and activating the DNA damage response. | ||
Nat Commun Prohibitin 1 is essential to preserve mitochondria and myelin integrity in Schwann cells. |









