验证数据展示
经过测试的应用
| Positive WB detected in | HeLa cells, PC-3 cells |
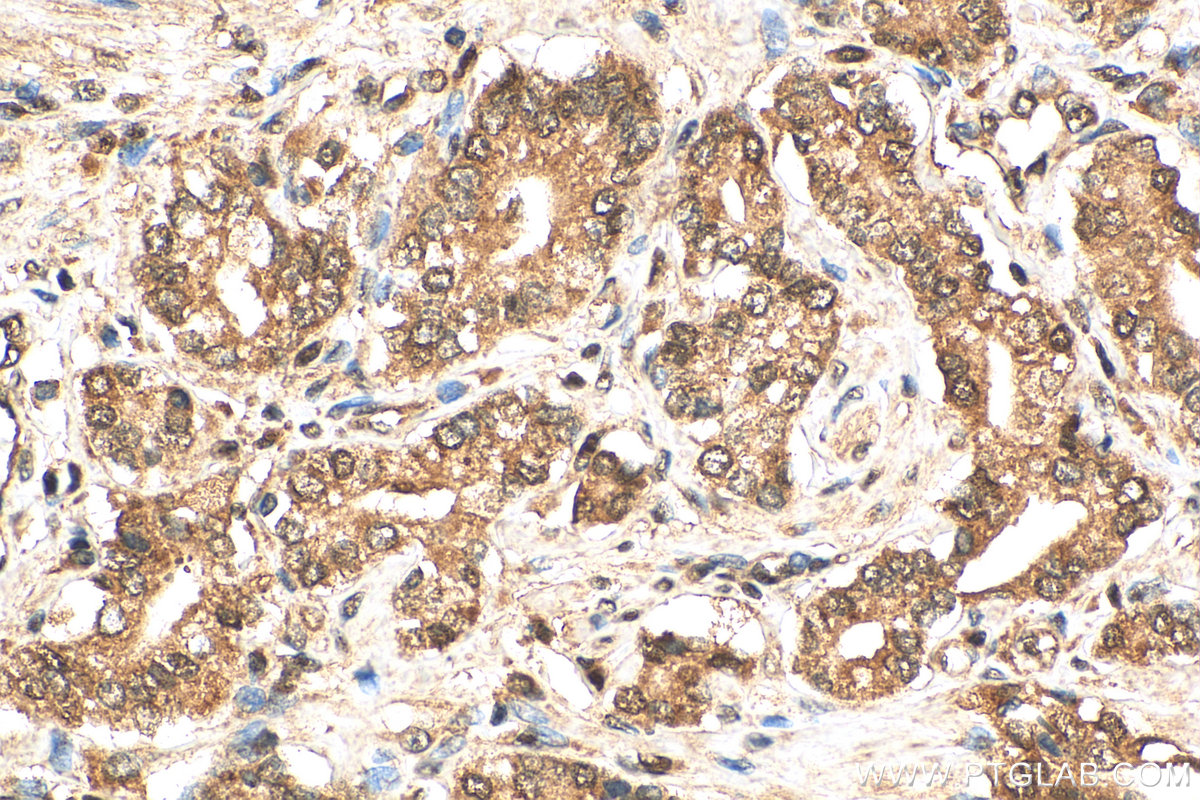
| Positive IHC detected in | mouse kidney tissue, human prostate cancer tissue Note: suggested antigen retrieval with TE buffer pH 9.0; (*) Alternatively, antigen retrieval may be performed with citrate buffer pH 6.0 |
推荐稀释比
| 应用 | 推荐稀释比 |
|---|---|
| Western Blot (WB) | WB : 1:1000-1:8000 |
| Immunohistochemistry (IHC) | IHC : 1:50-1:500 |
| It is recommended that this reagent should be titrated in each testing system to obtain optimal results. | |
| Sample-dependent, Check data in validation data gallery. | |
产品信息
27631-1-AP targets HSPBAP1 in WB, IHC, ELISA applications and shows reactivity with Human, Mouse samples.
| 经测试应用 | WB, IHC, ELISA Application Description |
| 经测试反应性 | Human, Mouse |
| 免疫原 |
CatNo: Ag26428 Product name: Recombinant human HSPBAP1 protein Source: e coli.-derived, PGEX-4T Tag: GST Domain: 1-200 aa of BC017763 Sequence: MLVCALKTAENPQNTRAWLNPTEVEETSHAVNCCYLNAAVSAFFDRCRTSEVVEIQALRTDGEHMKKEELNVCNHMEVGQTGSQNLTTGTDKPEAASPFGPDLVPVAQRSEEPPSERGGIFGSDGKDFVDKDGEHFGKLHCAKRQQIMSNSENAIEEQIASNTTTTPSQTFISTDDLLDCLVNPQVTRIVAQLLIQGRSL 种属同源性预测 |
| 宿主/亚型 | Rabbit / IgG |
| 抗体类别 | Polyclonal |
| 产品类型 | Antibody |
| 全称 | HSPB (heat shock 27kDa) associated protein 1 |
| 别名 | HSPB1 associated protein 1, HSPBAP1, PASS1 |
| 计算分子量 | 55 kDa |
| 观测分子量 | 55-60 kDa |
| GenBank蛋白编号 | BC017763 |
| 基因名称 | HSPBAP1 |
| Gene ID (NCBI) | 79663 |
| RRID | AB_2880931 |
| 偶联类型 | Unconjugated |
| 形式 | Liquid |
| 纯化方式 | Antigen affinity purification |
| UNIPROT ID | Q96EW2 |
| 储存缓冲液 | PBS with 0.02% sodium azide and 50% glycerol, pH 7.3. |
| 储存条件 | Store at -20°C. Stable for one year after shipment. Aliquoting is unnecessary for -20oC storage. |
背景介绍
HSPBAP1, also named as Protein associated with small stress protein 1, is a widely expressed 488 amino acid protein. HSPBAP1 may play a role in regulating stress response in the living cell(PMID: 11978969). A chromosomal aberration involving HSPBAP1 has been found in a family with renal carcinoma (PMID:12939738). HSPBAP1 has multiple isoforms with MW 55, 50, 32 and 25 kDa.
实验方案
| Product Specific Protocols | |
|---|---|
| IHC protocol for HSPBAP1 antibody 27631-1-AP | Download protocol |
| WB protocol for HSPBAP1 antibody 27631-1-AP | Download protocol |
| Standard Protocols | |
|---|---|
| Click here to view our Standard Protocols |




