验证数据展示
经过测试的应用
| Positive WB detected in | Neuro-2a cells, SGC-7901 cells, mouse brain tissue, HEK-293 cells, mouse heart tissue, rat heart tissue | 
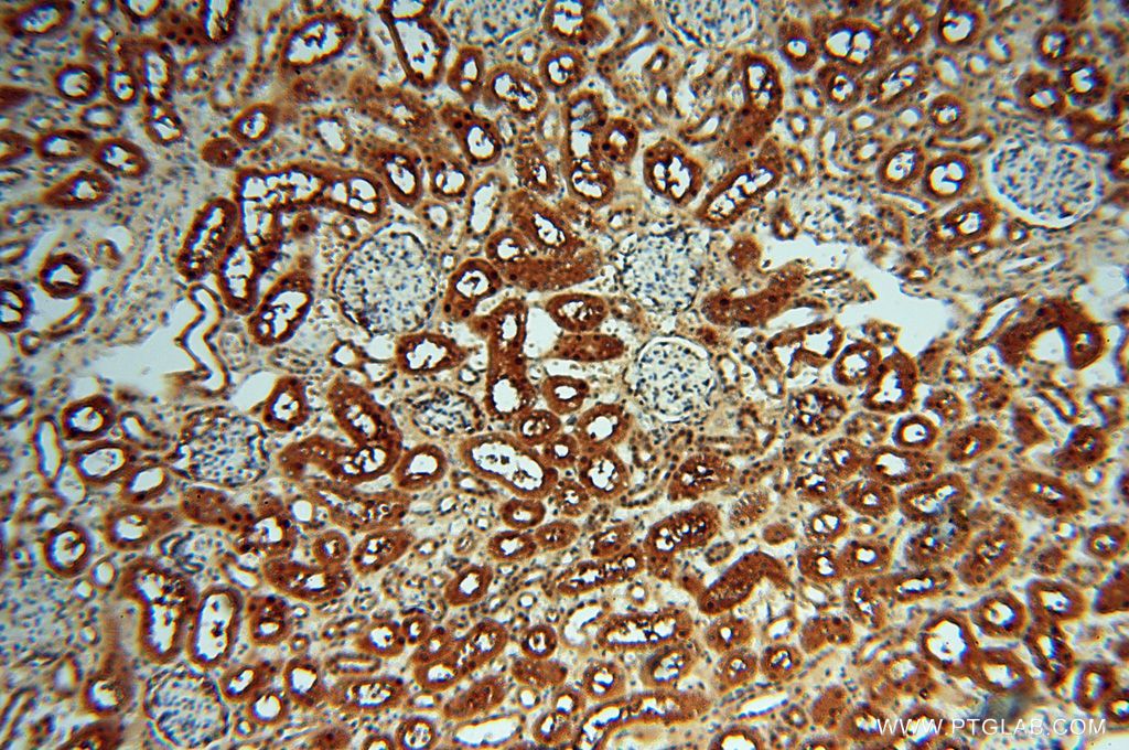
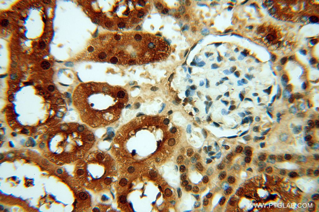
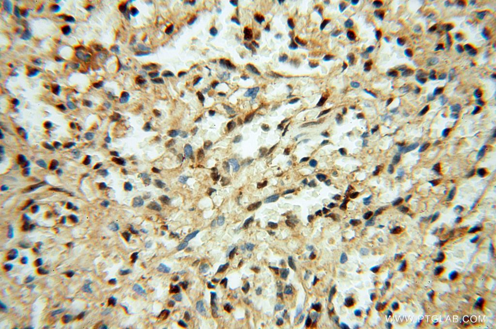
| Positive IHC detected in | human heart tissue,  human brain tissue,  human kidney tissue,  human lung tissue,  human ovary tissue,  human placenta tissue,  human skin tissue,  human spleen tissue,  human testis tissue Note: suggested antigen retrieval with TE buffer pH 9.0; (*) Alternatively, antigen retrieval may be performed with citrate buffer pH 6.0  | 
| Positive IF/ICC detected in | HEK-293 cells | 
推荐稀释比
| 应用 | 推荐稀释比 | 
|---|---|
| Western Blot (WB) | WB : 1:500-1:3000 | 
| Immunohistochemistry (IHC) | IHC : 1:20-1:200 | 
| Immunofluorescence (IF)/ICC | IF/ICC : 1:50-1:500 | 
| It is recommended that this reagent should be titrated in each testing system to obtain optimal results. | |
| Sample-dependent, Check data in validation data gallery. | |
产品信息
15287-1-AP targets HSPB8 in WB, IHC, IF/ICC, CoIP, ELISA applications and shows reactivity with human, mouse, rat samples.
| 经测试应用 | WB, IHC, IF/ICC, ELISA Application Description | 
| 文献引用应用 | WB, IHC, IF, CoIP | 
| 经测试反应性 | human, mouse, rat | 
| 文献引用反应性 | human, mouse | 
| 免疫原 | 
                                             CatNo: Ag7456 Product name: Recombinant human HSPB8 protein Source: e coli.-derived, PGEX-4T Tag: GST Domain: 1-196 aa of BC002673 Sequence: MADGQMPFSCHYPSRLRRDPFRDSPLSSRLLDDGFGMDPFPDDLTASWPDWALPRLSSAWPGTLRSGMVPRGPTATARFGVPAEGRTPPPFPGEPWKVCVNVHSFKPEELMVKTKDGYVEVSGKHEEKQQEGGIVSKNFTKKIQLPAEVDPVTVFASLSPEGLLIIEAPQVPPYSTFGESSFNNELPQDSQEVTCT 种属同源性预测 | 
                                    
| 宿主/亚型 | Rabbit / IgG | 
| 抗体类别 | Polyclonal | 
| 产品类型 | Antibody | 
| 全称 | heat shock 22kDa protein 8 | 
| 别名 | E2-induced gene 1 protein, E2IG1, DHMN2, CRYAC, CMT2L | 
| 计算分子量 | 22 kDa | 
| 观测分子量 | 20-22 kDa | 
| GenBank蛋白编号 | BC002673 | 
| 基因名称 | HSPB8 | 
| Gene ID (NCBI) | 26353 | 
| RRID | AB_2248640 | 
| 偶联类型 | Unconjugated | 
| 形式 | Liquid | 
| 纯化方式 | Antigen affinity purification | 
| UNIPROT ID | Q9UJY1 | 
| 储存缓冲液 | PBS with 0.02% sodium azide and 50% glycerol, pH 7.3. | 
| 储存条件 | Store at -20°C. Stable for one year after shipment. Aliquoting is unnecessary for -20oC storage. | 
背景介绍
The Heat Shock Protein B8 (HSPB8), also named small stress protein-like protein (sHSP22), protein kinase H11(H11), E2-induced gene 1 protein (E2IG1), or alpha-crystallin C chain (CRYAC), is a small chaperone involved in chaperone-assisted selective autophagy (CASA) (PMID: 33562660). HSPB8 is expressed at relatively high levels in the heart and the skeletal muscle tissue. HSPB8 is composed of 196 amino acids with an apparent molecular mass of 21.6 kDa (PMID: 20570967).
实验方案
| Product Specific Protocols | |
|---|---|
| IF protocol for HSPB8 antibody 15287-1-AP | Download protocol | 
| IHC protocol for HSPB8 antibody 15287-1-AP | Download protocol | 
| WB protocol for HSPB8 antibody 15287-1-AP | Download protocol | 
| Standard Protocols | |
|---|---|
| Click here to view our Standard Protocols | 
发表文章
| Species | Application | Title | 
|---|---|---|
Nat Commun Cardiomyocyte contractile impairment in heart failure results from reduced BAG3-mediated sarcomeric protein turnover. | ||
J Neurosci The α crystallin domain of small heat shock protein b8 (Hspb8) acts as survival and differentiation factor in adult hippocampal neurogenesis. | ||
J Am Heart Assoc Reduction of Filamin C Results in Altered Proteostasis, Cardiomyopathy, and Arrhythmias | ||
J Mol Cell Cardiol The BAG3-HSP70-CHIP axis controls the degradation of TGFBR2 in cardiac fibroblasts | ||
J Cell Biochem Pharmacological inhibition of BAG3-HSP70 with the proposed cancer therapeutic JG-98 is toxic for cardiomyocytes. | ||
Genes (Basel) BAG3 Alleviates Atherosclerosis by Inhibiting Endothelial-to-Mesenchymal Transition via Autophagy Activation. | 






















