验证数据展示
经过测试的应用
| Positive WB detected in | HEK-293 cells, HeLa cells, K-562 cells |
| Positive IP detected in | HeLa cells |
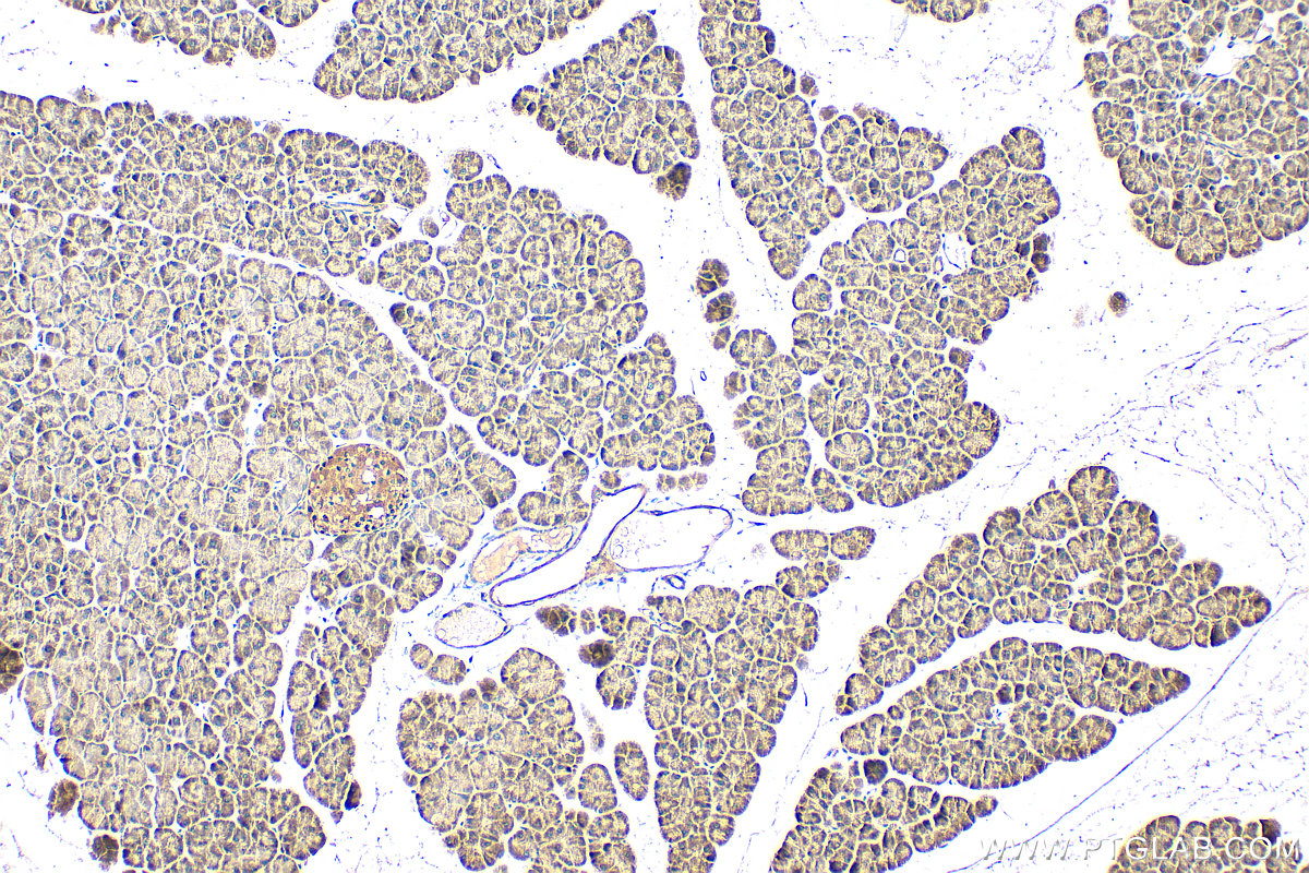
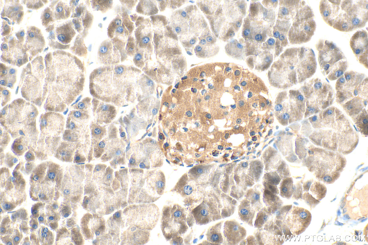
| Positive IHC detected in | mouse pancreas tissue Note: suggested antigen retrieval with TE buffer pH 9.0; (*) Alternatively, antigen retrieval may be performed with citrate buffer pH 6.0 |
推荐稀释比
| 应用 | 推荐稀释比 |
|---|---|
| Western Blot (WB) | WB : 1:2000-1:12000 |
| Immunoprecipitation (IP) | IP : 0.5-4.0 ug for 1.0-3.0 mg of total protein lysate |
| Immunohistochemistry (IHC) | IHC : 1:50-1:500 |
| It is recommended that this reagent should be titrated in each testing system to obtain optimal results. | |
| Sample-dependent, Check data in validation data gallery. | |
产品信息
12667-2-AP targets HSPA13 in WB, IHC, IF, IP, CoIP, ELISA applications and shows reactivity with human samples.
| 经测试应用 | WB, IHC, IP, ELISA Application Description |
| 文献引用应用 | WB, IHC, IF, CoIP |
| 经测试反应性 | human |
| 文献引用反应性 | human, mouse |
| 免疫原 |
CatNo: Ag3349 Product name: Recombinant human HSPA13 protein Source: e coli.-derived, PGEX-4T Tag: GST Domain: 165-471 aa of BC036370 Sequence: MPVANAVISVPAEFDLKQRNSTIEAANLAGLKILRVINEPTAAAMAYGLHKADVFHVLVIDLGGGTLDVSLLNKQGGMFLTRAMSGNNKLGGQDFNQRLLQYLYKQIYQTYGFVPSRKEEIHRLRQAVEMVKLNLTLHQSAQLSVLLTVEEQDRKEPHSSDTELPKDKLSSADDHRVNSGFGRGLSDKKSGESQVLFETEISRKLFDTLNEDLFQKILVPIQQVLKEGHLEKTEIDEVVLVGGSTRIPRIRQVIQEFFGKDPNTSVDPDLAVVTGVAIQAGIDGGFWPLQVSALEIPNKHLQKTNFN 种属同源性预测 |
| 宿主/亚型 | Rabbit / IgG |
| 抗体类别 | Polyclonal |
| 产品类型 | Antibody |
| 全称 | heat shock protein 70kDa family, member 13 |
| 别名 | Heat shock 70 kDa protein 13, Heat shock protein family A member 13, Microsomal stress-70 protein ATPase core, STCH, Stress-70 protein chaperone microsome-associated 60 kDa protein |
| 计算分子量 | 471 aa, 52 kDa |
| 观测分子量 | 52 kDa |
| GenBank蛋白编号 | BC036370 |
| 基因名称 | HSPA13 |
| Gene ID (NCBI) | 6782 |
| RRID | AB_2119204 |
| 偶联类型 | Unconjugated |
| 形式 | Liquid |
| 纯化方式 | Antigen affinity purification |
| UNIPROT ID | P48723 |
| 储存缓冲液 | PBS with 0.02% sodium azide and 50% glycerol, pH 7.3. |
| 储存条件 | Store at -20°C. Stable for one year after shipment. Aliquoting is unnecessary for -20oC storage. |
背景介绍
HSPA13 (Heat shock 70 kDa protein 13), also known as STCH (the stress 70 protein chaperone), is a member of the Hsp70 family of ATPase "stress" or "heat shock" proteins. Human STCH encodes a 60 kDa protein that is highly enriched in the ER. Recently it has been reported that overexpression of the HSPA13 gene reduces prion disease incubation time in mice.
实验方案
| Product Specific Protocols | |
|---|---|
| IHC protocol for HSPA13 antibody 12667-2-AP | Download protocol |
| IP protocol for HSPA13 antibody 12667-2-AP | Download protocol |
| WB protocol for HSPA13 antibody 12667-2-AP | Download protocol |
| Standard Protocols | |
|---|---|
| Click here to view our Standard Protocols |
发表文章
| Species | Application | Title |
|---|---|---|
Sci Adv HSPA13 facilitates NF-κB-mediated transcription and attenuates cell death responses in TNFα signaling.
| ||
Proc Natl Acad Sci U S A Overexpression of the Hspa13 (Stch) gene reduces prion disease incubation time in mice. | ||
Endocrinology Reassessment of the Proteomic Composition and Function of Extracellular Vesicles in the Seminal Plasma. | ||
Proteome Sci PRM-based quantitative proteomics analysis of altered HSP abundance in villi and decidua of patients with early missed abortion | ||
Cell Death Discov Heat shock protein HSPA13 promotes hepatocellular carcinoma progression by stabilizing TANK
| ||
Endocrinology Human seminal extracellular vesicles enhance endometrial receptivity through leukemia inhibitory factor |




