验证数据展示
经过测试的应用
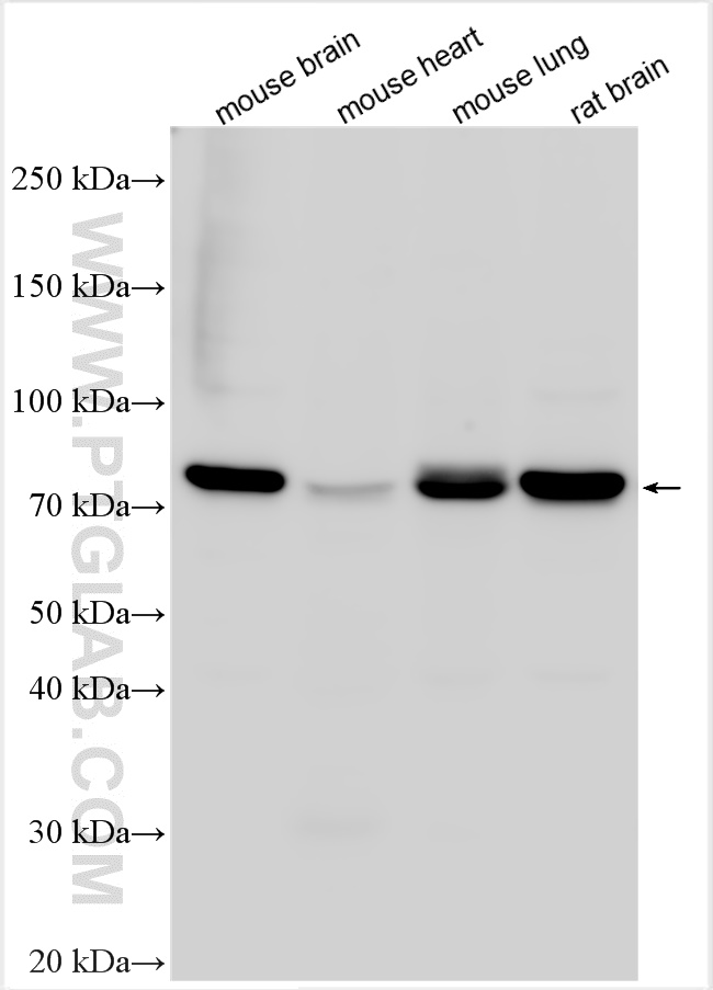
| Positive WB detected in | mouse brain tissue, mouse heart tissue, mouse lung tissue, rat brain tissue |
| Positive IP detected in | mouse brain tissue |
推荐稀释比
| 应用 | 推荐稀释比 |
|---|---|
| Western Blot (WB) | WB : 1:500-1:2000 |
| Immunoprecipitation (IP) | IP : 0.5-4.0 ug for 1.0-3.0 mg of total protein lysate |
| It is recommended that this reagent should be titrated in each testing system to obtain optimal results. | |
| Sample-dependent, Check data in validation data gallery. | |
产品信息
19016-1-AP targets HSPA12B in WB, IP, ELISA applications and shows reactivity with human, mouse, rat samples.
| 经测试应用 | WB, IP, ELISA Application Description |
| 经测试反应性 | human, mouse, rat |
| 免疫原 |
CatNo: Ag13544 Product name: Recombinant human HSPA12B protein Source: e coli.-derived, PGEX-4T Tag: GST Domain: 341-686 aa of BC110881 Sequence: KELYKASGGPYGAVGVDLAFEQLLCRIFGEDFIATFKRQRPAAWVDLTIAFEARKRTAGPHRAGALNISLPFSFIDFYRKQRGHNVETALRRSSVNFVKWSSQGMLRMSCEAMNELFQPTVSGIIQHIEALLARPEVQGVKLLFLVGGFAESAVLQHAVQAALGARGLRVVVPHDVGLTILKGAVLFGQAPGVVRVRRSPLTYGVGVLNRFVPGRHPPEKLLVRDGRRWCTDVFERFVAAEQSVALGEEVRRSYCPARPGQRRVLINLYCCAAEDARFITDPGVRKCGALSLELEPADCGQDTAGAPPGRREIRAAMQFGDTEIKVTAVDVSTNRSVRASIDFLSN 种属同源性预测 |
| 宿主/亚型 | Rabbit / IgG |
| 抗体类别 | Polyclonal |
| 产品类型 | Antibody |
| 全称 | heat shock 70kD protein 12B |
| 别名 | Heat shock protein family A member 12B, heat shock 70kD protein 12B, Heat shock 70 kDa protein 12B, C20orf60 |
| 计算分子量 | 686 aa, 76 kDa |
| 观测分子量 | 75 kDa |
| GenBank蛋白编号 | BC110881 |
| 基因名称 | HSPA12B |
| Gene ID (NCBI) | 116835 |
| 偶联类型 | Unconjugated |
| 形式 | Liquid |
| 纯化方式 | Antigen affinity purification |
| UNIPROT ID | Q96MM6 |
| 储存缓冲液 | PBS with 0.02% sodium azide and 50% glycerol, pH 7.3. |
| 储存条件 | Store at -20°C. Stable for one year after shipment. Aliquoting is unnecessary for -20oC storage. |
实验方案
| Product Specific Protocols | |
|---|---|
| IP protocol for HSPA12B antibody 19016-1-AP | Download protocol |
| WB protocol for HSPA12B antibody 19016-1-AP | Download protocol |
| Standard Protocols | |
|---|---|
| Click here to view our Standard Protocols |

