验证数据展示
经过测试的应用
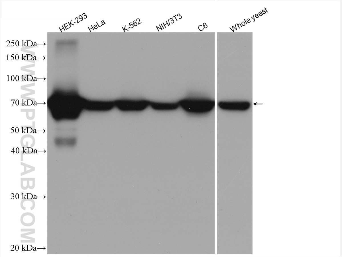
| Positive WB detected in | HEK-293 cells, human urine exosomes, HeLa cells, K-562 cells, NIH/3T3 cells, C6 cells, the whole yeast, HEK-293 exosomes |
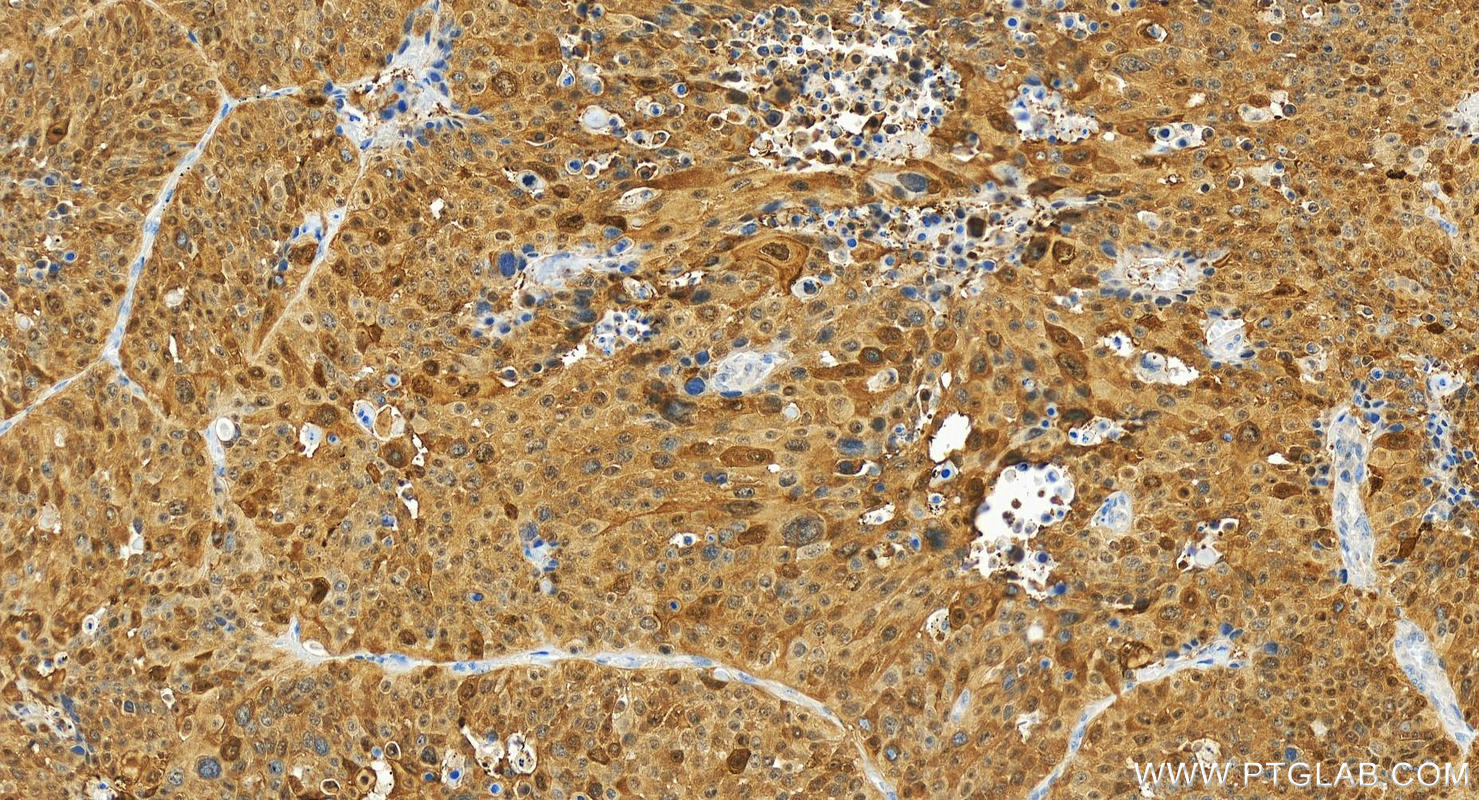
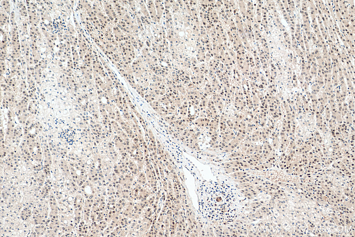
| Positive IHC detected in | human breast cancer tissue, human colon cancer tissue, human liver cancer tissue, human lung squamous cell carcinoma tissue Note: suggested antigen retrieval with TE buffer pH 9.0; (*) Alternatively, antigen retrieval may be performed with citrate buffer pH 6.0 |
| Positive IF/ICC detected in | HeLa cells |
推荐稀释比
| 应用 | 推荐稀释比 |
|---|---|
| Western Blot (WB) | WB : 1:5000-1:20000 |
| Immunohistochemistry (IHC) | IHC : 1:200-1:6000 |
| Immunofluorescence (IF)/ICC | IF/ICC : 1:200-1:800 |
| It is recommended that this reagent should be titrated in each testing system to obtain optimal results. | |
| Sample-dependent, Check data in validation data gallery. | |
发表文章中的应用
| WB | See 2 publications below |
产品信息
80735-1-RR targets HSP70 in WB, IHC, IF/ICC, ELISA applications and shows reactivity with human, mouse, rat, yeast samples.
| 经测试应用 | WB, IHC, IF/ICC, ELISA Application Description |
| 文献引用应用 | WB |
| 经测试反应性 | human, mouse, rat, yeast |
| 文献引用反应性 | human |
| 免疫原 |
CatNo: Ag1446 Product name: Recombinant human HSP70 protein Source: e coli.-derived, PGEX-4T Tag: GST Domain: 291-641 aa of BC009322 Sequence: IDFYTSITRARFEELCSDLFRSTLEPVEKALRDAKLDKAQIHDLVLVGGSTRIPKVQKLLQDFFNGRDLNKSINPDEAVAYGAAVQAAILMGDKSENVQDLLLLDVAPLSLGLETAGGVMTALIKRNSTIPTKQTQIFTTYSDNQPGVLIQVYEGERAMTKDNNLLGRFELSGIPPAPRGVPQIEVTFDIDANGILNVTATDKSTGKANKITITNDKGRLSKEEIERMVQEAEKYKAEDEVQRERVSAKNALESYAFNMKSAVEDEGLKGKISEADKKKVLDKCQEVISWLDANTLAEKDEFEHKRKELEQVCNPIISGLYQGAGGPGPGGFGAQGPKGGSGSGPTIEEVD 种属同源性预测 |
| 宿主/亚型 | Rabbit / IgG |
| 抗体类别 | Recombinant |
| 产品类型 | Antibody |
| 全称 | heat shock 70kDa protein 1A |
| 别名 | HSPA1A, 4E10, Heat shock 70 kDa protein 1A, heat shock 70kDa protein 1A, Heat shock protein family A member 1A |
| 计算分子量 | 70 kDa |
| 观测分子量 | 70 kDa |
| GenBank蛋白编号 | BC009322 |
| 基因名称 | HSP70 |
| Gene ID (NCBI) | 3303 |
| RRID | AB_2918908 |
| 偶联类型 | Unconjugated |
| 形式 | Liquid |
| 纯化方式 | Protein A purification |
| UNIPROT ID | P0DMV8 |
| 储存缓冲液 | PBS with 0.02% sodium azide and 50% glycerol, pH 7.3. |
| 储存条件 | Store at -20°C. Stable for one year after shipment. Aliquoting is unnecessary for -20oC storage. |
背景介绍
HSPA1A , collectively known as HSP70 (also referred to HSP72), is a stress-inducible member of heat-shock protein 70 (HSP70) proteins which are highly conserved chaperons implicated in protein folding, protein refolding, protein transport, and protein targeting. Encoded by two closely linked, intronless and stress-inducible genes, HSPA1A and HSPA1B differ by only two amino acids and are believed to be fully interchangeable proteins. HSPA1A is a cytosol nuclear protein able to translocate between cytoplasm and nucleus. Generally, HSPA1A is thought to be expressed in unstressed normal cells at low or undetectable levels. Expression of HSPA1A protein can be highly activated by various stressful stimuli. Significant up-regulation of HSPA1A has been found in various tumors. Recently it has been reported that HSPA1A can be constitutively expressed in selected cell types. HSP70 is also used as exosomal marker
实验方案
| Product Specific Protocols | |
|---|---|
| IF protocol for HSP70 antibody 80735-1-RR | Download protocol |
| IHC protocol for HSP70 antibody 80735-1-RR | Download protocol |
| WB protocol for HSP70 antibody 80735-1-RR | Download protocol |
| Standard Protocols | |
|---|---|
| Click here to view our Standard Protocols |
发表文章
| Species | Application | Title |
|---|---|---|
Cell Signal LAPTM5 confers cisplatin resistance in NSCLC by suppressing LAMP1 ubiquitination to stabilize lysosomal membranes and sustain autophagic flux | ||
J Orthop Translat Cuproptosis in osteoarthritis: Exploring chondrocyte cuproptosis and therapeutic avenues | ||
J Med Chem Discovery of Novel Oxazolo[4,3-f]purine Derivatives as Antitumor Agents through PPIA Interaction |






