验证数据展示
产品信息
60951-1-PBS targets HSD17B4 as part of a matched antibody pair:
MP51363-1: 60951-1-PBS capture and 60951-2-PBS detection (validated in Cytometric bead array)
Unconjugated mouse monoclonal antibody pair in PBS only (BSA and azide free) storage buffer at a concentration of 1 mg/mL, ready for conjugation.
This conjugation ready format makes antibodies ideal for use in many applications including: ELISAs, multiplex assays requiring matched pairs, mass cytometry, and multiplex imaging applications.Antibody use should be optimized by the end user for each application and assay.
| 经测试应用 | WB, IF/ICC, Cytometric bead array, Indirect ELISA Application Description |
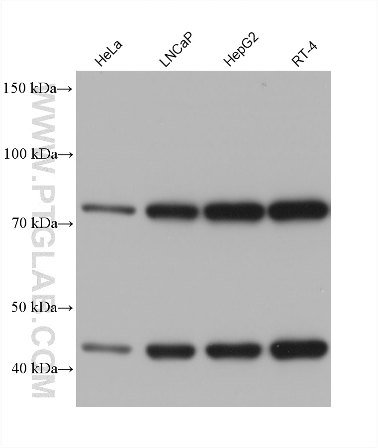
| 经测试反应性 | human |
| 免疫原 |
CatNo: Ag7221 Product name: Recombinant human HSD17B4 protein Source: e coli.-derived, PET28a Tag: 6*His Domain: 436-736 aa of BC003098 Sequence: GSGVVIIMDVYSYSEKELICHNQFSLFLVGSGGFGGKRTSDKVKVAVAIPNRPPDAVLTDTTSLNQAALYRLSGDWNPLHIDPNFASLAGFDKPILHGLCTFGFSARRVLQQFADNDVSRFKAIKARFAKPVYPGQTLQTEMWKEGNRIHFQTKVQETGDIVISNAYVDLAPTSGTSAKTPSEGGKLQSTFVFEEIGRRLKDIGPEVVKKVNAVFEWHITKGGNIGAKWTIDLKSGSGKVYQGPAKGAADTTIILSDEDFMEVVLGKLDPQKAFFSGRLKARGNIMLSQKLQMILKDYAKL 种属同源性预测 |
| 宿主/亚型 | Mouse / IgG2a |
| 抗体类别 | Monoclonal |
| 产品类型 | Antibody |
| 全称 | hydroxysteroid (17-beta) dehydrogenase 4 |
| 别名 | (3R)-hydroxyacyl-CoA dehydrogenase, 17 beta HSD 4, 17-beta-HSD 4, 17-beta-hydroxysteroid dehydrogenase 4, D bifunctional protein |
| 计算分子量 | 80 kDa |
| 观测分子量 | 80 kDa, 45 kDa |
| GenBank蛋白编号 | BC003098 |
| 基因名称 | HSD17B4 |
| Gene ID (NCBI) | 3295 |
| 偶联类型 | Unconjugated |
| 形式 | Liquid |
| 纯化方式 | Protein A purification |
| UNIPROT ID | P51659 |
| 储存缓冲液 | PBS only, pH 7.3. |
| 储存条件 | Store at -80°C. The product is shipped with ice packs. Upon receipt, store it immediately at -80°C |
背景介绍
HSD17B4 (17-beta-hydroxysteroid dehydrogenase 4) is also named as Peroxisomal multifunctional enzyme type 2, D-bifuntional protein or multifunctional protein 2. It codes for a 80 kDa enzyme containing three distinct functional domains and is localized in peroxisomes. It is a bifunctional enzyme acting on the peroxisomal beta-oxidation pathway for fatty acids and catalyzing the formation of 3-ketoacyl-CoA intermediates from both straight-chain and 2-methyl-brancked-chian fatty acids. After peroxisomal import, the full-length protein is proteolytically cleaved to yield a 35-kDa dehydrogenase subunit and a 45-kDa hydratase subunit containing the hydratase and SCP domains (PMID: 28868548, 24602372).



