验证数据展示
经过测试的应用
| Positive WB detected in | human placenta tissue |
| Positive IP detected in | human placenta tissue |
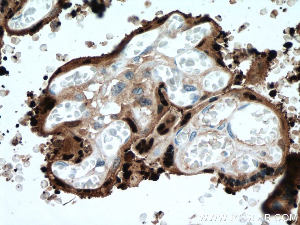
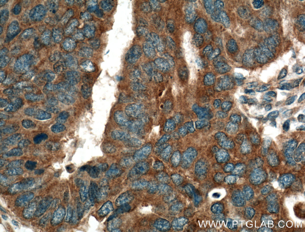
| Positive IHC detected in | human placenta tissue, human colon cancer tissue, human endometrial cancer tissue, human kidney tissue Note: suggested antigen retrieval with TE buffer pH 9.0; (*) Alternatively, antigen retrieval may be performed with citrate buffer pH 6.0 |
推荐稀释比
| 应用 | 推荐稀释比 |
|---|---|
| Western Blot (WB) | WB : 1:1000-1:4000 |
| Immunoprecipitation (IP) | IP : 0.5-4.0 ug for 1.0-3.0 mg of total protein lysate |
| Immunohistochemistry (IHC) | IHC : 1:500-1:2000 |
| It is recommended that this reagent should be titrated in each testing system to obtain optimal results. | |
| Sample-dependent, Check data in validation data gallery. | |
发表文章中的应用
| WB | See 6 publications below |
| IHC | See 2 publications below |
产品信息
25334-1-AP targets HSD17B1 in WB, IHC, IP, ELISA applications and shows reactivity with human samples.
| 经测试应用 | WB, IHC, IP, ELISA Application Description |
| 文献引用应用 | WB, IHC |
| 经测试反应性 | human |
| 文献引用反应性 | human, mouse |
| 免疫原 |
CatNo: Ag17886 Product name: Recombinant human HSD17B1 protein Source: e coli.-derived, PGEX-4T Tag: GST Domain: 1-328 aa of BC104752 Sequence: MARTVVLITGCSSGIGLHLAVRLASDPSQSFKVYATLRDLKTQGRLWEAARALACPPGSLETLQLDVRDSKSVAAARERVTEGRVDVLVCNAGLGLLGPLEALGEDAVASVLDVNVVGTVRMLQAFLPDMKRRGSGRVLVTGSVGGLMGLPFNDVYCASKFALEGLCESLAVLLLPFGVHLSLIECGPVHTAFMEKVLGSPEEVLDRTDIHTFHRFYQYLAHSKQVFREAAQNPEEVAEVFLTALRAPKPTLRYFTTERFLPLLRMRLDDPSGSNYVTAMHREVFGDVPAKAEAGAEAGGGAGPGAEDEAGRSAVGDPELGDPPAAPQ 种属同源性预测 |
| 宿主/亚型 | Rabbit / IgG |
| 抗体类别 | Polyclonal |
| 产品类型 | Antibody |
| 全称 | hydroxysteroid (17-beta) dehydrogenase 1 |
| 别名 | 20 alpha-hydroxysteroid dehydrogenase, 20 alpha HSD, 17β-HSD, 17-beta-hydroxysteroid dehydrogenase type 1, 17-beta-HSD 1 |
| 计算分子量 | 328 aa, 35 kDa |
| 观测分子量 | 35 kDa |
| GenBank蛋白编号 | BC104752 |
| 基因名称 | HSD17B1 |
| Gene ID (NCBI) | 3292 |
| RRID | AB_2880032 |
| 偶联类型 | Unconjugated |
| 形式 | Liquid |
| 纯化方式 | Antigen affinity purification |
| UNIPROT ID | P14061 |
| 储存缓冲液 | PBS with 0.02% sodium azide and 50% glycerol, pH 7.3. |
| 储存条件 | Store at -20°C. Stable for one year after shipment. Aliquoting is unnecessary for -20oC storage. |
实验方案
| Product Specific Protocols | |
|---|---|
| IHC protocol for HSD17B1 antibody 25334-1-AP | Download protocol |
| IP protocol for HSD17B1 antibody 25334-1-AP | Download protocol |
| WB protocol for HSD17B1 antibody 25334-1-AP | Download protocol |
| Standard Protocols | |
|---|---|
| Click here to view our Standard Protocols |
发表文章
| Species | Application | Title |
|---|---|---|
J Transl Med An integrated approach of network pharmacology, molecular docking, and experimental verification uncovers kaempferol as the effective modulator of HSD17B1 for treatment of endometrial cancer | ||
Cells HDAC1-Mediated lncRNA Stimulatory Factor of Follicular Development to Inhibit the Apoptosis of Granulosa Cells and Regulate Sexual Maturity through miR-202-3p-COX1 Axis | ||
Gut Microbes High-fat diet-induced L-saccharopine accumulation inhibits estradiol synthesis and damages oocyte quality by disturbing mitochondrial homeostasis | ||
Aquac Nutr Dietary DHA Regulated the Androgen Production in Male Chinese Tongue Sole Cynoglossus semilaevis |











