验证数据展示
经过测试的应用
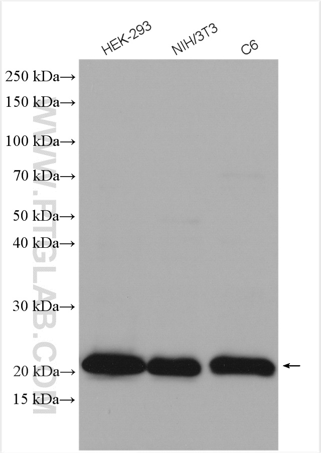
| Positive WB detected in | HEK-293 cells, SH-SY5Y cells, PC-3 cells, C6 cells, mouse kidney tissue, rat tissue, NIH/3T3 cells |
| Positive IP detected in | mouse brain tissue, HEK-293 cells |
| Positive IHC detected in | human colon cancer tissue Note: suggested antigen retrieval with TE buffer pH 9.0; (*) Alternatively, antigen retrieval may be performed with citrate buffer pH 6.0 |
| Positive IF/ICC detected in | MCF-7 cells |
| Positive FC (Intra) detected in | HeLa cells |
推荐稀释比
| 应用 | 推荐稀释比 |
|---|---|
| Western Blot (WB) | WB : 1:500-1:2000 |
| Immunoprecipitation (IP) | IP : 0.5-4.0 ug for 1.0-3.0 mg of total protein lysate |
| Immunohistochemistry (IHC) | IHC : 1:50-1:500 |
| Immunofluorescence (IF)/ICC | IF/ICC : 1:200-1:800 |
| Flow Cytometry (FC) (INTRA) | FC (INTRA) : 0.40 ug per 10^6 cells in a 100 µl suspension |
| It is recommended that this reagent should be titrated in each testing system to obtain optimal results. | |
| Sample-dependent, Check data in validation data gallery. | |
产品信息
18295-1-AP targets HRAS-Specific in WB, IHC, IF/ICC, FC (Intra), IP, ELISA applications and shows reactivity with human, mouse, rat samples.
| 经测试应用 | WB, IHC, IF/ICC, FC (Intra), IP, ELISA Application Description |
| 文献引用应用 | WB, IHC, IF, IP |
| 经测试反应性 | human, mouse, rat |
| 文献引用反应性 | human, mouse, rat |
| 免疫原 |
Peptide 种属同源性预测 |
| 宿主/亚型 | Rabbit / IgG |
| 抗体类别 | Polyclonal |
| 产品类型 | Antibody |
| 全称 | v-Ha-ras Harvey rat sarcoma viral oncogene homolog |
| 别名 | GTPase HRas, H RASIDX, HRAS, HRAS1, EC:3.6.5.2 |
| 计算分子量 | 21 kDa |
| 观测分子量 | 21 kDa |
| GenBank蛋白编号 | BC006499 |
| 基因名称 | HRAS |
| Gene ID (NCBI) | 3265 |
| RRID | AB_2121046 |
| 偶联类型 | Unconjugated |
| 形式 | Liquid |
| 纯化方式 | Antigen affinity purification |
| UNIPROT ID | P01112 |
| 储存缓冲液 | PBS with 0.02% sodium azide and 50% glycerol, pH 7.3. |
| 储存条件 | Store at -20°C. Stable for one year after shipment. Aliquoting is unnecessary for -20oC storage. |
背景介绍
HRAS, also named as c-bas/has and RASH1, is v-Ha-ras Harvey rat sarcoma viral oncogene homolog from the mammalian ras gene family and it is a member of the small GTPase superfamily. RAS proteins are involved in signal transduction pathways, and bind GDP/GTP and possess intrinsic GTPase activity. Defects in HRAS are a cause of cancer. The antibody is specific to HRAS, can't recognize NRAS and KRAS.
实验方案
| Product Specific Protocols | |
|---|---|
| FC protocol for HRAS-Specific antibody 18295-1-AP | Download protocol |
| IF protocol for HRAS-Specific antibody 18295-1-AP | Download protocol |
| IHC protocol for HRAS-Specific antibody 18295-1-AP | Download protocol |
| IP protocol for HRAS-Specific antibody 18295-1-AP | Download protocol |
| WB protocol for HRAS-Specific antibody 18295-1-AP | Download protocol |
| Standard Protocols | |
|---|---|
| Click here to view our Standard Protocols |
发表文章
| Species | Application | Title |
|---|---|---|
Sci Transl Med Targeting KRAS-dependent tumors with AZD4785, a high-affinity therapeutic antisense oligonucleotide inhibitor of KRAS. | ||
Mol Cell KARATE: PKA-induced KRAS4B-RHOA-mTORC2 supercomplex phosphorylates AKT in insulin signaling and glucose homeostasis | ||
J Exp Med Genome-wide CRISPR/Cas9 screens reveal shared and cell-specific mechanisms of resistance to SHP2 inhibition | ||
Nat Commun A potent KRAS macromolecule degrader specifically targeting tumours with mutant KRAS. |











