验证数据展示
经过测试的应用
| Positive WB detected in | HepG2 cells, L02 cells |
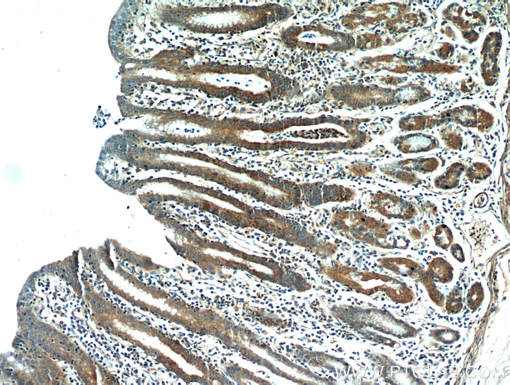
| Positive IHC detected in | human stomach tissue, human colon tissue Note: suggested antigen retrieval with TE buffer pH 9.0; (*) Alternatively, antigen retrieval may be performed with citrate buffer pH 6.0 |
| Positive IF/ICC detected in | Caco-2 cells |
推荐稀释比
| 应用 | 推荐稀释比 |
|---|---|
| Western Blot (WB) | WB : 1:1000-1:4000 |
| Immunohistochemistry (IHC) | IHC : 1:20-1:200 |
| Immunofluorescence (IF)/ICC | IF/ICC : 1:50-1:500 |
| It is recommended that this reagent should be titrated in each testing system to obtain optimal results. | |
| Sample-dependent, Check data in validation data gallery. | |
发表文章中的应用
| WB | See 1 publications below |
产品信息
20777-1-AP targets HPDL in WB, IHC, IF/ICC, ELISA applications and shows reactivity with human samples.
| 经测试应用 | WB, IHC, IF/ICC, ELISA Application Description |
| 文献引用应用 | WB |
| 经测试反应性 | human |
| 文献引用反应性 | human |
| 免疫原 |
CatNo: Ag14773 Product name: Recombinant human HPDL protein Source: e coli.-derived, PGEX-4T Tag: GST Domain: 1-371 aa of BC007293 Sequence: MAAPALRLCHIAFHVPAGQPLARNLQRLFGFQPLASREVDGWRQLALRSGDAVFLVNEGAGSGEPLYGLDPRHAVPSATNLCFDVADAGAATRELAALGCSVPVPPVRVRDAQGAATYAVVSSPAGILSLTLLERAGYRGPFLPGFRPVSSAPGPGWVSRVDHLTLACTPGSSPTLLRWFHDCLGFCHLPLSPGEDPELGLEMTAGFGLGGLRLTALQAQPGSIVPTLVLAESLPGATTRQDQVEQFLARHKGPGLQHVGLYTPNIVEATEGVATAGGQFLAPPGAYYQQPGKERQIRAAGHEPHLLARQGILLDGDKGKFLLQVFTKSLFTEDTFFLELIQRQGATGFGQGNIRALWQSVQEQSARSQEA 种属同源性预测 |
| 宿主/亚型 | Rabbit / IgG |
| 抗体类别 | Polyclonal |
| 产品类型 | Antibody |
| 全称 | 4-hydroxyphenylpyruvate dioxygenase-like |
| 别名 | HPD-like protein, Glyoxalase domain-containing protein 1, GLOXD1, EC:1.13.-.-, 4-hydroxyphenylpyruvate dioxygenase-like protein |
| 计算分子量 | 371 aa, 39 kDa |
| 观测分子量 | 35-39 kDa |
| GenBank蛋白编号 | BC007293 |
| 基因名称 | HPDL |
| Gene ID (NCBI) | 84842 |
| RRID | AB_10697807 |
| 偶联类型 | Unconjugated |
| 形式 | Liquid |
| 纯化方式 | Antigen affinity purification |
| UNIPROT ID | Q96IR7 |
| 储存缓冲液 | PBS with 0.02% sodium azide and 50% glycerol, pH 7.3. |
| 储存条件 | Store at -20°C. Stable for one year after shipment. Aliquoting is unnecessary for -20oC storage. |
实验方案
| Product Specific Protocols | |
|---|---|
| WB protocol for HPDL antibody 20777-1-AP | Download protocol |
| IHC protocol for HPDL antibody 20777-1-AP | Download protocol |
| IF protocol for HPDL antibody 20777-1-AP | Download protocol |
| Standard Protocols | |
|---|---|
| Click here to view our Standard Protocols |







