验证数据展示
经过测试的应用
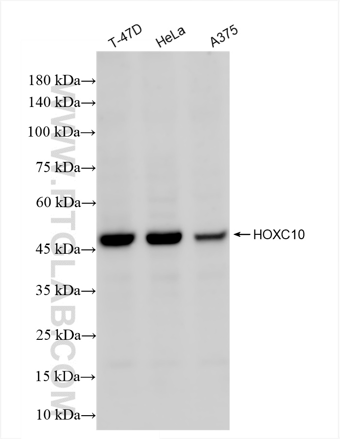
| Positive WB detected in | T-47D cells, U2OS cells, HeLa cells, A375 cells, C2C12 cells |
| Positive IF/ICC detected in | HepG2 cells |
推荐稀释比
| 应用 | 推荐稀释比 |
|---|---|
| Western Blot (WB) | WB : 1:500-1:2000 |
| Immunofluorescence (IF)/ICC | IF/ICC : 1:500-1:2000 |
| It is recommended that this reagent should be titrated in each testing system to obtain optimal results. | |
| Sample-dependent, Check data in validation data gallery. | |
产品信息
86219-3-RR targets HOXC10 in WB, IF/ICC, ELISA applications and shows reactivity with human, mouse samples.
| 经测试应用 | WB, IF/ICC, ELISA Application Description |
| 经测试反应性 | human, mouse |
| 免疫原 |
CatNo: Ag2655 Product name: Recombinant human HOXC10 protein Source: e coli.-derived, PGEX-4T Tag: GST Domain: 1-342 aa of BC001293 Sequence: MTCPRNVTPNSYAEPLAAPGGGERYSRSAGMYMQSGSDFNCGVMRGCGLAPSLSKRDEGSSPSLALNTYPSYLSQLDSWGDPKAAYRLEQPVGRPLSSCSYPPSVKEENVCCMYSAEKRAKSGPEAALYSHPLPESCLGEHEVPVPSYYRASPSYSALDKTPHCSGANDFEAPFEQRASLNPRAEHLESPQLGGKVSFPETPKSDSQTPSPNEIKTEQSLAGPKGSPSESEKERAKAADSSPDTSDNEAKEEIKAENTTGNWLTAKSGRKKRCPYTKHQTLELEKEFLFNMYLTRERRLEISKTINLTDRQVKIWFQNRRMKLKKMNRENRIRELTSNFNFT 种属同源性预测 |
| 宿主/亚型 | Rabbit / IgG |
| 抗体类别 | Recombinant |
| 产品类型 | Antibody |
| 全称 | homeobox C10 |
| 别名 | Homeobox protein Hox-3I, Homeobox protein Hox-C10, HOX3I |
| 计算分子量 | 342 aa, 38 kDa |
| 观测分子量 | 50 kDa |
| GenBank蛋白编号 | BC001293 |
| 基因名称 | HOXC10 |
| Gene ID (NCBI) | 3226 |
| 偶联类型 | Unconjugated |
| 形式 | Liquid |
| 纯化方式 | Protein A purification |
| UNIPROT ID | Q9NYD6 |
| 储存缓冲液 | PBS with 0.02% sodium azide and 50% glycerol, pH 7.3. |
| 储存条件 | Store at -20°C. Stable for one year after shipment. Aliquoting is unnecessary for -20oC storage. |
背景介绍
HOXC10, also named as Homeo box C10, is a 342 amino acid protein. The calculated molecular weight of HOXC10 is 38 kDa, but HOXC10 is detected about 50 kDa (PMID: 12853486).
实验方案
| Product Specific Protocols | |
|---|---|
| IF protocol for HOXC10 antibody 86219-3-RR | Download protocol |
| WB protocol for HOXC10 antibody 86219-3-RR | Download protocol |
| Standard Protocols | |
|---|---|
| Click here to view our Standard Protocols |



