Recombinant human HORMAD1 protein
Source
e coli.-derived, PGEX-4T
Tag
GST
Format
Liquid
Species
human
Cat no : Ag4914
Synonyms
HORMAD1, CT46, HORMA domain-containing protein 1, HORMAD 1, NOHMA
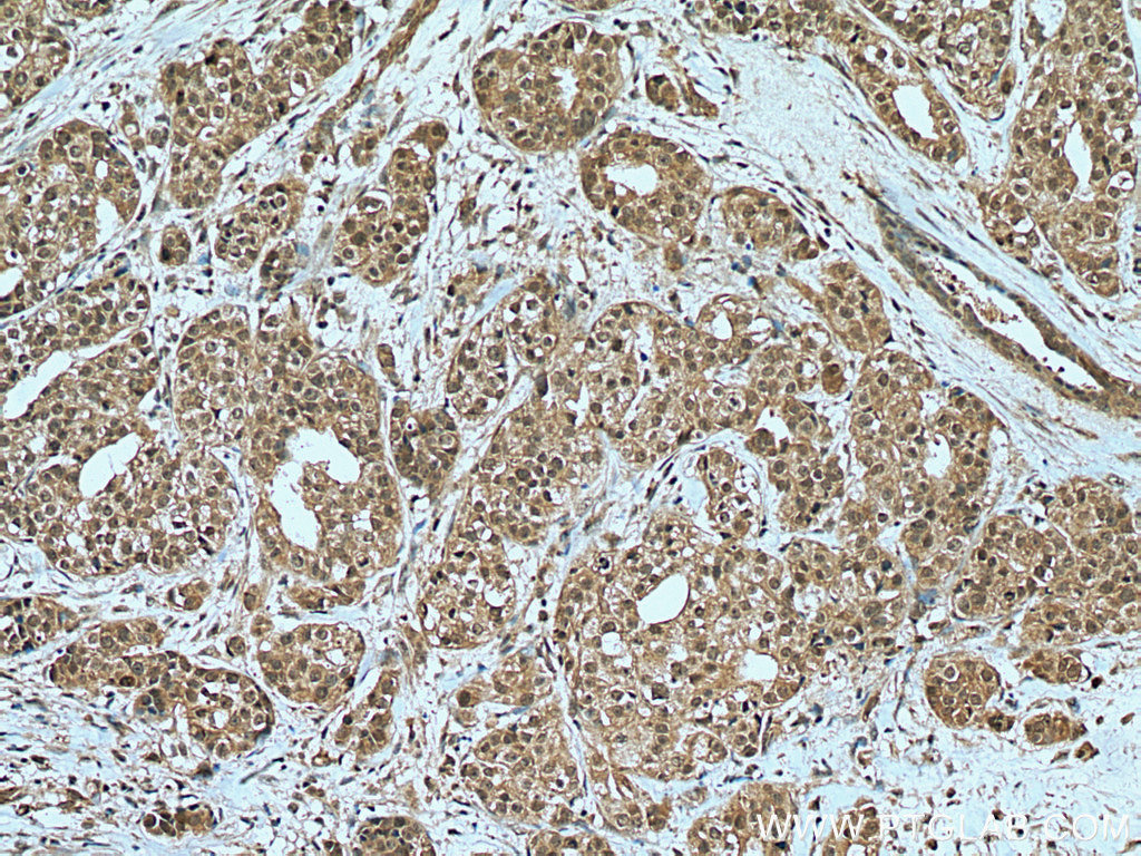
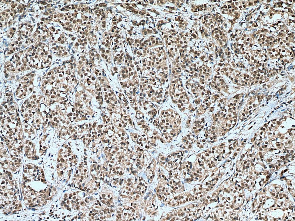
Validation Data Gallery View All
Product Information
| Peptide Sequence |
MATAQLQRTPMSALVFPNKISTEHQSLVLVKRLLAVSVSCITYLRGIFPECAYGTRYLDDLCVKILREDKNCPGSTQLVKWMLGCYDALQKKYLRMVVLAVYTNPEDPQTISECYQFKFKYTNNGPLMDFISKNQSNESSMLSTDTKKASILLIRKIYILMQNLGPLPNDVCLTMKLFYYDEVTPPDYQPPGFKDGDCEGVIFEGEPMYLNVGEVSTPFHIFKVKVTTERERMENIDSTILSPKQIKTPFQKILRDKDVEDEQEHYTSDDLDIETKMEEQEKNPASSELEEPSLVCEEDEIMRSKESPDLSISHSQVEQLVNKTSELDMSESKTRSGKVFQNKMANGNQPVKSSKENRKRSQHESGRIVLHHFDSSSQESVPKRRKFSEPKEHI
(1-394 aa encoded by BC047406) |
| Activity | Not tested. |
| Endotoxin Level |
Please contact the lab for more information.
Note:Remove endotoxin and sterilization is required for cell assay. |
