验证数据展示
经过测试的应用
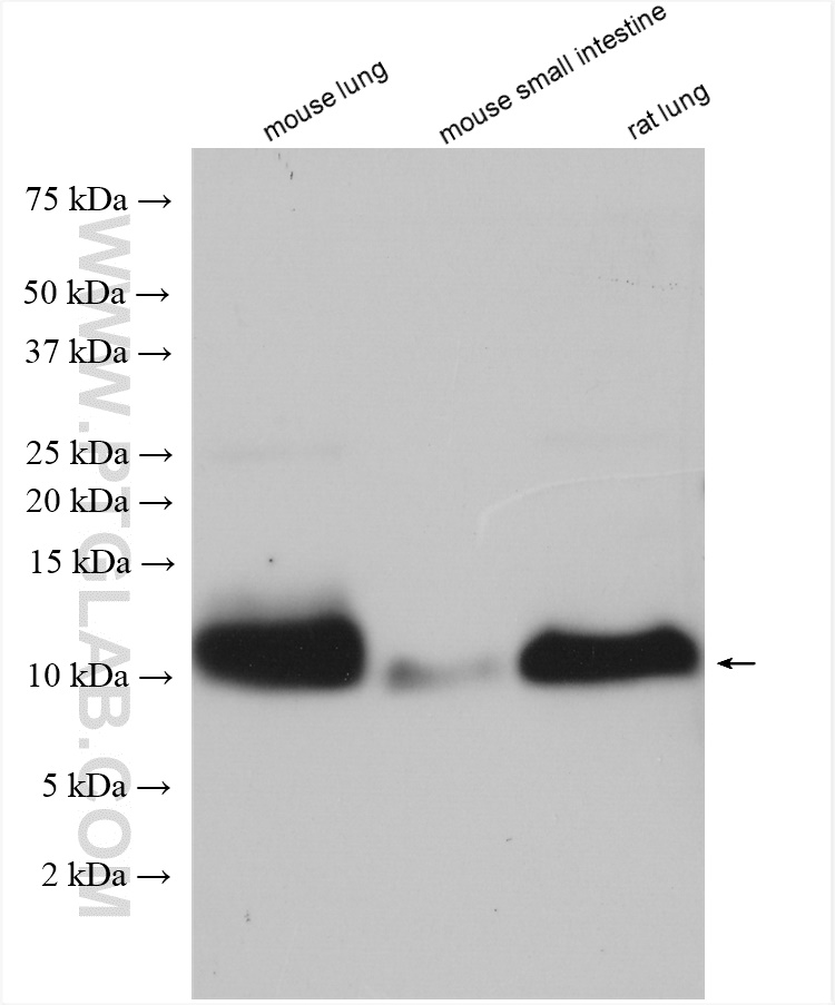
| Positive WB detected in | mouse lung tissue, mouse small intestine tissue, rat lung tissue |
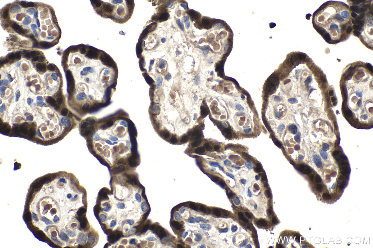
| Positive IHC detected in | human placenta tissue, mouse lung tissue Note: suggested antigen retrieval with TE buffer pH 9.0; (*) Alternatively, antigen retrieval may be performed with citrate buffer pH 6.0 |
推荐稀释比
| 应用 | 推荐稀释比 |
|---|---|
| Western Blot (WB) | WB : 1:500-1:3000 |
| Immunohistochemistry (IHC) | IHC : 1:500-1:2000 |
| It is recommended that this reagent should be titrated in each testing system to obtain optimal results. | |
| Sample-dependent, Check data in validation data gallery. | |
产品信息
11419-1-AP targets HOPX in WB, IHC, IF, ELISA applications and shows reactivity with human, mouse, rat samples.
| 经测试应用 | WB, IHC, ELISA Application Description |
| 文献引用应用 | WB, IHC, IF |
| 经测试反应性 | human, mouse, rat |
| 文献引用反应性 | human, mouse, rat |
| 免疫原 |
CatNo: Ag1979 Product name: Recombinant human HOPX protein Source: e coli.-derived, PGEX-4T Tag: GST Domain: 1-73 aa of BC014225 Sequence: MSAETASGPTEDQVEILEYNFNKVDKHPDSTTLCLIAAEAGLSEEETQKWFKQRLAKWRRSEGLPSECRSVID 种属同源性预测 |
| 宿主/亚型 | Rabbit / IgG |
| 抗体类别 | Polyclonal |
| 产品类型 | Antibody |
| 全称 | HOP homeobox |
| 别名 | HOD, CAMEO, Homeodomain only protein, Homeodomain-only protein, HOP |
| 计算分子量 | 73 aa, 8 kDa |
| 观测分子量 | 8-12 kDa |
| GenBank蛋白编号 | BC014225 |
| 基因名称 | HOPX |
| Gene ID (NCBI) | 84525 |
| RRID | AB_10693525 |
| 偶联类型 | Unconjugated |
| 形式 | Liquid |
| 纯化方式 | Antigen affinity purification |
| UNIPROT ID | Q9BPY8 |
| 储存缓冲液 | PBS with 0.02% sodium azide and 50% glycerol, pH 7.3. |
| 储存条件 | Store at -20°C. Stable for one year after shipment. Aliquoting is unnecessary for -20oC storage. |
背景介绍
HOPX (Homeodomain-only protein) gene has various synonyms including HOD, HOP, OB1, LAGY and NECC1. The protein encoded by this gene is an unusual homeodomain protein that lacks certain conserved residues required for DNA binding. HOPX has diverse effects on cardiac growth. Manipulation of Hopx function in murine models is associated with cardiac hypertrophy, dilation and fibrosis. HOPX protein acts as an antagonist to the serum response factor (SRF), which regulates the opposing processes of cell proliferation and differentiation. Overexpression of HOPX causes cardiac hypertrophy. HOPX protein can inhibit SRF-dependent transcriptional activation by recruiting histone deacetylase (HDAC) activity.
实验方案
| Product Specific Protocols | |
|---|---|
| IHC protocol for HOPX antibody 11419-1-AP | Download protocol |
| WB protocol for HOPX antibody 11419-1-AP | Download protocol |
| Standard Protocols | |
|---|---|
| Click here to view our Standard Protocols |
发表文章
| Species | Application | Title |
|---|---|---|
Cancer Cell Epigenomic State Transitions Characterize Tumor Progression in Mouse Lung Adenocarcinoma. | ||
Cancer Cell Control of alveolar differentiation by the lineage transcription factors GATA6 and HOPX inhibits lung adenocarcinoma metastasis. | ||
Cell Stem Cell LIF signaling regulates outer radial glial to interneuron fate during human cortical development | ||
Protein Cell BMP7 expression in mammalian cortical radial glial cells increases the length of the neurogenic period |





