验证数据展示
经过测试的应用
| Positive WB detected in | mouse brain tissue, mouse lung tissue, human brain tissue, rat brain tissue |
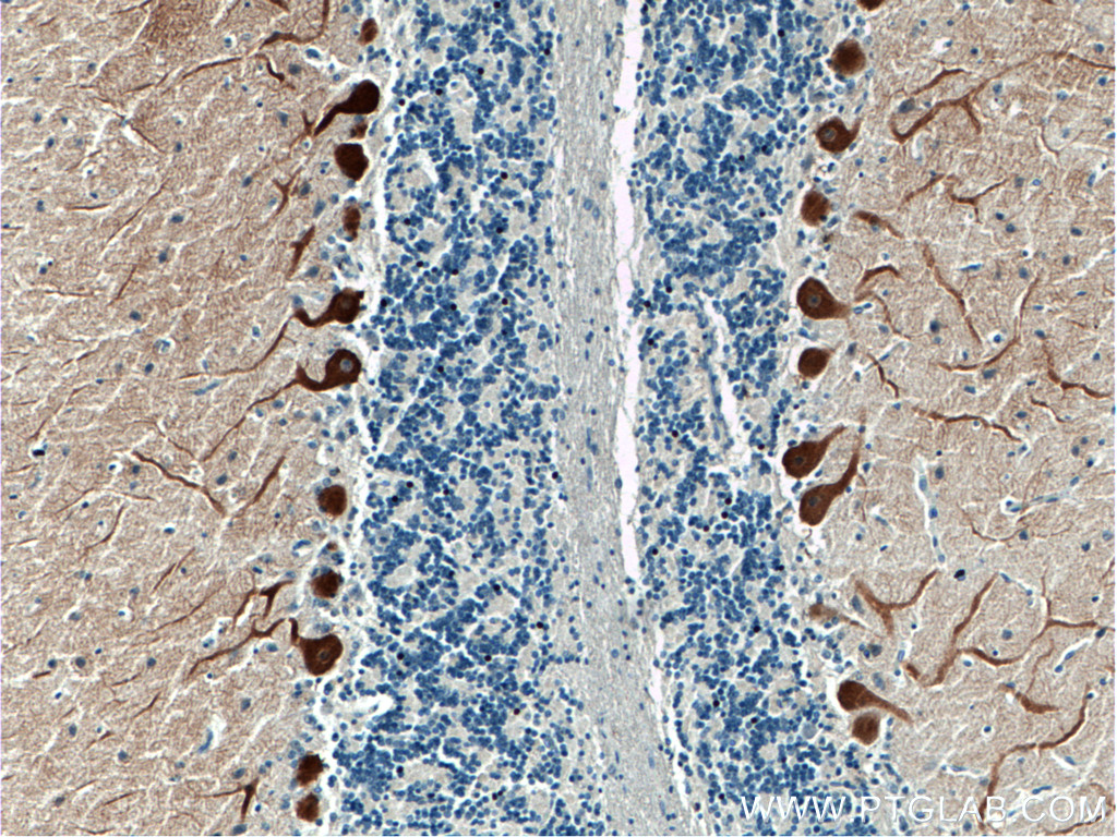
| Positive IHC detected in | human cerebellum tissue Note: suggested antigen retrieval with TE buffer pH 9.0; (*) Alternatively, antigen retrieval may be performed with citrate buffer pH 6.0 |
推荐稀释比
| 应用 | 推荐稀释比 |
|---|---|
| Western Blot (WB) | WB : 1:300-1:1200 |
| Immunohistochemistry (IHC) | IHC : 1:50-1:500 |
| It is recommended that this reagent should be titrated in each testing system to obtain optimal results. | |
| Sample-dependent, Check data in validation data gallery. | |
发表文章中的应用
| KD/KO | See 3 publications below |
| WB | See 5 publications below |
| IHC | See 5 publications below |
产品信息
16624-1-AP targets HOMER3 in WB, IHC, ELISA applications and shows reactivity with human, mouse, rat samples.
| 经测试应用 | WB, IHC, ELISA Application Description |
| 文献引用应用 | WB, IHC |
| 经测试反应性 | human, mouse, rat |
| 文献引用反应性 | human, mouse, rat |
| 免疫原 |
CatNo: Ag9923 Product name: Recombinant human HOMER3 protein Source: e coli.-derived, PET28a Tag: 6*His Domain: 1-361 aa of BC012113 Sequence: MSTAREQPIFSTRAHVFQIDPATKRNWIPAGKHALTVSYFYDATRNVYRIISIGGAKAIINSTVTPNMTFTKTSQKFGQWADSRANTVYGLGFASEQHLTQFAEKFQEVKEAARLAREKSQDGGELTSPALGLASHQVPPSPLVSANGPGEEKLFRSQSADAPGPTERERLKKMLSEGSVGEVQWEAEFFALQDSNNKLAGALREANAAAAQWRQQLEAQRAEAERLRQRVAELEAQAASEVTPTGEKEGLGQGQSLEQLEALVQTKDQEIQTLKSQTGGPREALEAAEREETQQKVQDLETRNAELEHQLRAMERSLEEARAERERARAEVGRAAQLLDVRLFELSELREGLARLAEAAP 种属同源性预测 |
| 宿主/亚型 | Rabbit / IgG |
| 抗体类别 | Polyclonal |
| 产品类型 | Antibody |
| 全称 | homer homolog 3 (Drosophila) |
| 别名 | HOMER 3, homer homolog 3 (Drosophila), Homer protein homolog 3, HOMER3, VESL3 |
| 计算分子量 | 361 aa, 40 kDa |
| 观测分子量 | 45 kDa |
| GenBank蛋白编号 | BC012113 |
| 基因名称 | HOMER3 |
| Gene ID (NCBI) | 9454 |
| RRID | AB_2121013 |
| 偶联类型 | Unconjugated |
| 形式 | Liquid |
| 纯化方式 | Antigen affinity purification |
| UNIPROT ID | Q9NSC5 |
| 储存缓冲液 | PBS with 0.02% sodium azide and 50% glycerol, pH 7.3. |
| 储存条件 | Store at -20°C. Stable for one year after shipment. Aliquoting is unnecessary for -20oC storage. |
背景介绍
HOMER3 is a member of the HOMER family of postsynaptic density scaffolding proteins that share a similar domain structure consisting of an N-terminal Enabled/vasodilator-stimulated phosphoprotein homology 1 domain which mediates protein-protein interactions, and a carboxy-terminal coiled-coil domain and two leucine zipper motifs that are involved in self-oligomerization. The encoded protein binds numerous other proteins including group I metabotropic glutamate receptors, inositol 1,4,5-trisphosphate receptors and amyloid precursor proteins and has been implicated in diverse biological functions such as neuronal signaling, T-cell activation and trafficking of amyloid beta peptides.
实验方案
| Product Specific Protocols | |
|---|---|
| IHC protocol for HOMER3 antibody 16624-1-AP | Download protocol |
| WB protocol for HOMER3 antibody 16624-1-AP | Download protocol |
| Standard Protocols | |
|---|---|
| Click here to view our Standard Protocols |
发表文章
| Species | Application | Title |
|---|---|---|
Mol Psychiatry A recurrent SHANK1 mutation implicated in autism spectrum disorder causes autistic-like core behaviors in mice via downregulation of mGluR1-IP3R1-calcium signaling. | ||
Biol Direct ELK4 induced upregulation of HOMER3 promotes the proliferation and metastasis in glioma via Wnt/β-catenin/EMT signaling pathway | ||
Neuroscience Comparative Proteomics of Rat Olfactory Bulb Reveal Insights into Susceptibility and Resiliency to Chronic-stress-induced Depression or Anxiety. | ||
Cell Death Dis Long non-coding RNA HOMER3-AS1 drives hepatocellular carcinoma progression via modulating the behaviors of both tumor cells and macrophages.
| ||
Discov Oncol Disulfidptosis-based molecular clustering and prognostic signatures predict patient survival and the immune landscape in patients with colon cancer | ||
Oncogene HOMER3 drives oral squamous cell carcinoma progression through TRPV6 calcium influx and TUBB3 microtubule stabilization.
|





