验证数据展示
经过测试的应用
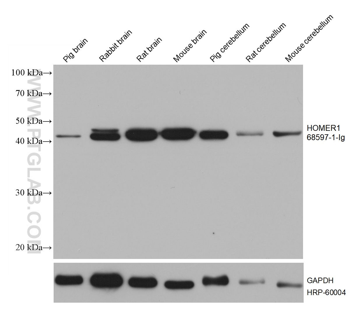
| Positive WB detected in | pig brain tissue, LNCaP cells, Calu-3 cells, HEK-293 cells, rabbit brain tissue, rat brain tissue, mouse brain tissue, pig cerebellum tissue, rat cerebellum tissue, mouse cerebellum tissue, MCF-10A cells, MOLT-4 cells, rat brain tisue, chicken brain tissue |
| Positive IF/ICC detected in | SH-SY5Y cells |
推荐稀释比
| 应用 | 推荐稀释比 |
|---|---|
| Western Blot (WB) | WB : 1:5000-1:50000 |
| Immunofluorescence (IF)/ICC | IF/ICC : 1:400-1:1600 |
| It is recommended that this reagent should be titrated in each testing system to obtain optimal results. | |
| Sample-dependent, Check data in validation data gallery. | |
发表文章中的应用
| KD/KO | See 1 publications below |
| WB | See 2 publications below |
产品信息
68597-1-Ig targets HOMER1 in WB, IF/ICC, ELISA applications and shows reactivity with human, mouse, rat, pig, rabbit, chicken samples.
| 经测试应用 | WB, IF/ICC, ELISA Application Description |
| 文献引用应用 | WB |
| 经测试反应性 | human, mouse, rat, pig, rabbit, chicken |
| 文献引用反应性 | human, mouse |
| 免疫原 |
CatNo: Ag21302 Product name: Recombinant human HOMER1 protein Source: e coli.-derived, PET28a Tag: 6*His Domain: 7-354 aa of BC015502 Sequence: FSTRAHVFQIDPNTKKNWVPTSKHAVTVSYFYDSTRNVYRIISLDGSKAIINSTITPNMTFTKTSQKFGQWADSRANTVYGLGFSSEHHLSKFAEKFQEFKEAARLAKEKSQEKMELTSTPSQESAGGDLQSPLTPESINGTDDERTPDVTQNSEPRAEPTQNALPFSHSSAISKHWEAELATLKGNNAKLTAALLESTANVKQWKQQLAAYQEEAERLHKRVTELECVSSQANAVHTHKTELNQTIQELEETLKLKEEEIERLKQEIDNARELQEQRDSLTQKLQEVEIRNKDLEGQLSDLEQRLEKSQNEQEAFRNNLKTLLEILDGKIFELTELRDNLAKLLECS 种属同源性预测 |
| 宿主/亚型 | Mouse / IgG1 |
| 抗体类别 | Monoclonal |
| 产品类型 | Antibody |
| 全称 | homer homolog 1 (Drosophila) |
| 别名 | 3B1B11, HOMER, Homer 1, homer homolog 1 (Drosophila), Homer protein homolog 1 |
| 计算分子量 | 40 kDa |
| 观测分子量 | 40-46 kDa |
| GenBank蛋白编号 | BC015502 |
| 基因名称 | HOMER1 |
| Gene ID (NCBI) | 9456 |
| RRID | AB_3085295 |
| 偶联类型 | Unconjugated |
| 形式 | Liquid |
| 纯化方式 | Protein G purification |
| UNIPROT ID | Q86YM7 |
| 储存缓冲液 | PBS with 0.02% sodium azide and 50% glycerol, pH 7.3. |
| 储存条件 | Store at -20°C. Stable for one year after shipment. Aliquoting is unnecessary for -20oC storage. |
背景介绍
Human HOMER1, also named as SYN47, belongs to the Homer family. Human HOMER1 has some isoforms: HOMER1a, HOMER1b, HOMER1c, HOMER1e and HOMER1h. Mouse Homer1 also named as Vesl-1 and it has some isoforms: Vesl-1l, Vesl-1m, Vesl-1s, Homer1b, and Homer1d. HOMER1 is a postsynaptic density scaffolding protein. It is a neuronal immediate-early gene (IEG) that is enriched at excitatory synapses and binds mGluRs. In WB, the MW of HOMER1 is about 46-50kd, 40-43kd and 20-26kd.
实验方案
| Product Specific Protocols | |
|---|---|
| IF protocol for HOMER1 antibody 68597-1-Ig | Download protocol |
| WB protocol for HOMER1 antibody 68597-1-Ig | Download protocol |
| Standard Protocols | |
|---|---|
| Click here to view our Standard Protocols |
发表文章
| Species | Application | Title |
|---|---|---|
Environ Pollut Air pollution decreases postsynaptic PSD-95 and NMDA receptor subunits in synaptosomes from mouse cerebral cortex | ||
Discov Oncol Pan-cancer analysis of HOMER1 in hepatocellular carcinoma revealing diagnostic potential and immune landscape with experimental validation.
|




