验证数据展示
产品信息
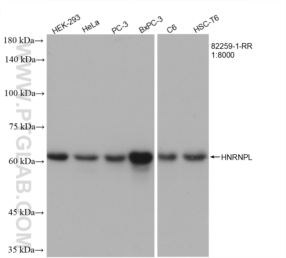
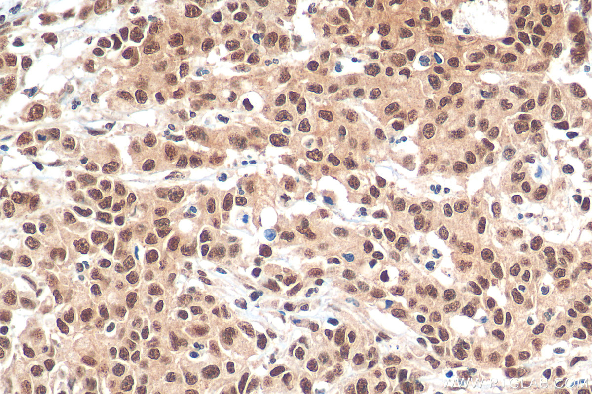
82259-1-PBS targets HNRNPL in WB, IHC, Indirect ELISA applications and shows reactivity with human, rat samples.
| 经测试应用 | WB, IHC, Indirect ELISA Application Description |
| 经测试反应性 | human, rat |
| 免疫原 |
CatNo: Ag13211 Product name: Recombinant human HNRNPL protein Source: e coli.-derived, PGEX-4T Tag: GST Domain: 210-572 aa of BC069184 Sequence: FRKNGVQAMVEFDSVQSAQRAKASLNGADIYSGCCTLKIEYAKPTRLNVFKNDQDTWDYTNPNLSGQGDPGSNPNKRQRQPPLLGDHPAEYGGPHGGYHSHYHDEGYGPPPPHYEGRRMGPPVGGHRRGPSRYGPQYGHPPPPPPPPEYGPHADSPVLMVYGLDQSKMNCDRVFNVFCLYGNVEKVKFMKSKPGAAMVEMADGYAVDRAITHLNNNFMFGQKLNVCVSKQPAIMPGQSYGLEDGSCSYKDFSESRNNRFSTPEQAAKNRIQHPSNVLHFFNAPLEVTEENFFEICDELGVKRPSSVKVFSGKSERSSSGLLEWESKSDALETLGFLNHYQMKNPNGPYPYTLKLCFSTAQHAS 种属同源性预测 |
| 宿主/亚型 | Rabbit / IgG |
| 抗体类别 | Recombinant |
| 产品类型 | Antibody |
| 全称 | heterogeneous nuclear ribonucleoprotein L |
| 别名 | hnRNP L, HNRPL, P/OKcl.14 |
| 计算分子量 | 572 aa, 62 kDa |
| 观测分子量 | 64-70 kDa |
| GenBank蛋白编号 | BC069184 |
| 基因名称 | HNRNPL |
| Gene ID (NCBI) | 3191 |
| 偶联类型 | Unconjugated |
| 形式 | Liquid |
| 纯化方式 | Protein A purification |
| UNIPROT ID | P14866 |
| 储存缓冲液 | PBS only, pH 7.3. |
| 储存条件 | Store at -80°C. The product is shipped with ice packs. Upon receipt, store it immediately at -80°C |
背景介绍
Heterogeneous nuclear ribonucleoprotein L (hnRNP L) is a component of the heterogeneous nuclear ribonucleoprotein (hnRNP) complexes which provide the substrate for the processing events that pre-mRNAs undergo before becoming functional, translatable mRNAs in the cytoplasm. It is associated with most nascent transcripts including those of the landmark giant loops of amphibian lampbrush chromosomes. The two isoforms of hnRNP L are generated by alternative splicing. The human hnRNPL gene encodes a protein that is localized in the nucleoplasm and cytoplasm. This antibody may recognize both isoforms of the hnRNP L protein.








