验证数据展示
经过测试的应用
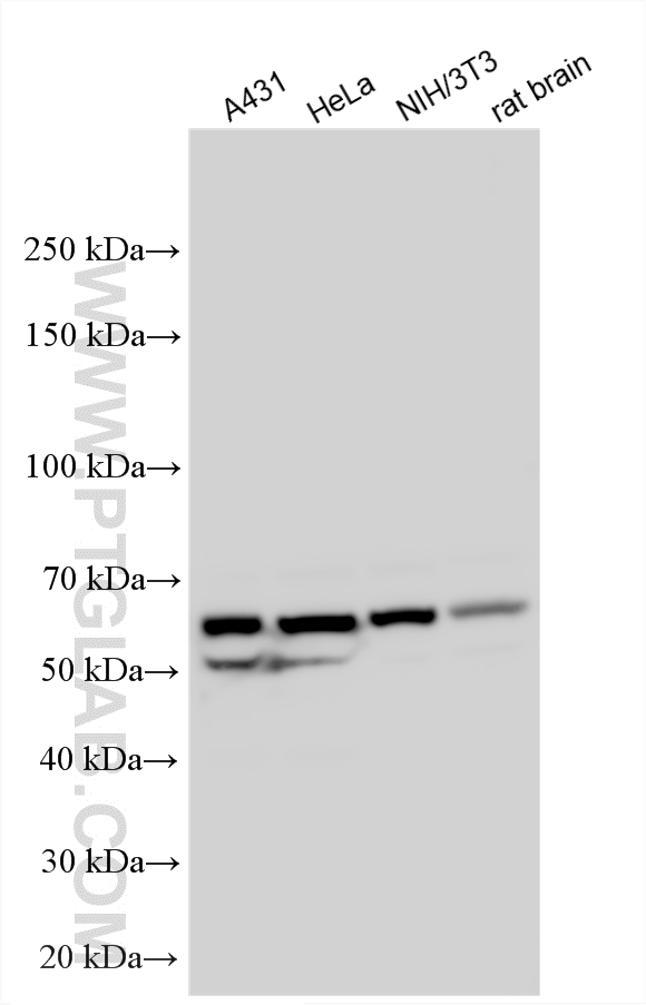
| Positive WB detected in | A431 cells, MCF-7 cells, HeLa cells, NIH/3T3 cells, rat brain tissue |
| Positive IP detected in | HeLa cells |
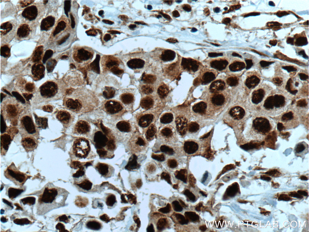
| Positive IHC detected in | human breast cancer tissue, mouse brain tissue Note: suggested antigen retrieval with TE buffer pH 9.0; (*) Alternatively, antigen retrieval may be performed with citrate buffer pH 6.0 |
| Positive IF/ICC detected in | HeLa cells |
| Positive FC (Intra) detected in | HepG2 cells |
推荐稀释比
| 应用 | 推荐稀释比 |
|---|---|
| Western Blot (WB) | WB : 1:5000-1:50000 |
| Immunoprecipitation (IP) | IP : 0.5-4.0 ug for 1.0-3.0 mg of total protein lysate |
| Immunohistochemistry (IHC) | IHC : 1:50-1:500 |
| Immunofluorescence (IF)/ICC | IF/ICC : 1:50-1:500 |
| Flow Cytometry (FC) (INTRA) | FC (INTRA) : 0.40 ug per 10^6 cells in a 100 µl suspension |
| It is recommended that this reagent should be titrated in each testing system to obtain optimal results. | |
| Sample-dependent, Check data in validation data gallery. | |
产品信息
11426-1-AP targets HNRNPK in WB, IHC, IF/ICC, FC (Intra), IP, CoIP, chIP, RIP, ELISA applications and shows reactivity with human, mouse, rat samples.
| 经测试应用 | WB, IHC, IF/ICC, FC (Intra), IP, ELISA Application Description |
| 文献引用应用 | WB, IHC, IF, IP, CoIP, chIP, RIP |
| 经测试反应性 | human, mouse, rat |
| 文献引用反应性 | human, mouse, rat, pig, chicken, deer |
| 免疫原 |
CatNo: Ag1976 Product name: Recombinant human HNRNPK protein Source: e coli.-derived, PGEX-4T Tag: GST Domain: 114-463 aa of BC014980 Sequence: LPSPTATSQLPLESDAVECLNYQHYKGSDFDCELRLLIHQSLAGGIIGVKGAKIKELRENTQTTIKLFQECCPHSTDRVVLIGGKPDRVVECIKIILDLISESPIKGRAQPYDPNFYDETYDYGGFTMMFDDRRGRPVGFPMRGRGGFDRMPPGRGGRPMPPSRRDYDDMSPRRGPPPPPPGRGGRGGSRARNLPLPPPPPPRGGDLMAYDRRGRPGDRYDGMVGFSADETWDSAIDTWSPSEWQMAYEPQGGSGYDYSYAGGRGSYGDLGGPIITTQVTIPKDLAGSIIGKGGQRIKQIRHESGASIKIDEPLEGSEDRIITITGTQDQIQNAQYLLQNSVKQYSGKFF 种属同源性预测 |
| 宿主/亚型 | Rabbit / IgG |
| 抗体类别 | Polyclonal |
| 产品类型 | Antibody |
| 全称 | heterogeneous nuclear ribonucleoprotein K |
| 别名 | CSBP, FLJ41122, hnRNP K, HNRPK, Transformation up-regulated nuclear protein |
| 计算分子量 | 463 aa, 51 kDa |
| 观测分子量 | 55-65 kDa |
| GenBank蛋白编号 | BC014980 |
| 基因名称 | HNRNPK |
| Gene ID (NCBI) | 3190 |
| RRID | AB_2264314 |
| 偶联类型 | Unconjugated |
| 形式 | Liquid |
| 纯化方式 | Antigen affinity purification |
| UNIPROT ID | P61978 |
| 储存缓冲液 | PBS with 0.02% sodium azide and 50% glycerol, pH 7.3. |
| 储存条件 | Store at -20°C. Stable for one year after shipment. Aliquoting is unnecessary for -20oC storage. |
背景介绍
HNRNPK belongs to the heterogeneous nuclear ribonucleoprotein family of 20 proteins that participate in a wide range of key cellular functions involving many of the pathways implicated, disrupted or dysregulated in tumor development and progression. It is also a conserved pre-mRNA-binding protein that is involved in multiple processes of gene expression, including chromatin remodeling, transcription, and mRNA splicing, translation, and stability.
实验方案
| Product Specific Protocols | |
|---|---|
| FC protocol for HNRNPK antibody 11426-1-AP | Download protocol |
| IF protocol for HNRNPK antibody 11426-1-AP | Download protocol |
| IHC protocol for HNRNPK antibody 11426-1-AP | Download protocol |
| IP protocol for HNRNPK antibody 11426-1-AP | Download protocol |
| WB protocol for HNRNPK antibody 11426-1-AP | Download protocol |
| Standard Protocols | |
|---|---|
| Click here to view our Standard Protocols |
发表文章
| Species | Application | Title |
|---|---|---|
Cell In vivo structural characterization of the SARS-CoV-2 RNA genome identifies host proteins vulnerable to repurposed drugs. | ||
Cell Metab NEAT1 is essential for metabolic changes that promote breast cancer growth and metastasis. | ||
Nat Commun Profiling PRMT methylome reveals roles of hnRNPA1 arginine methylation in RNA splicing and cell growth.
| ||
Nat Commun PRC1 collaborates with SMCHD1 to fold the X-chromosome and spread Xist RNA between chromosome compartments. | ||








