验证数据展示
经过测试的应用
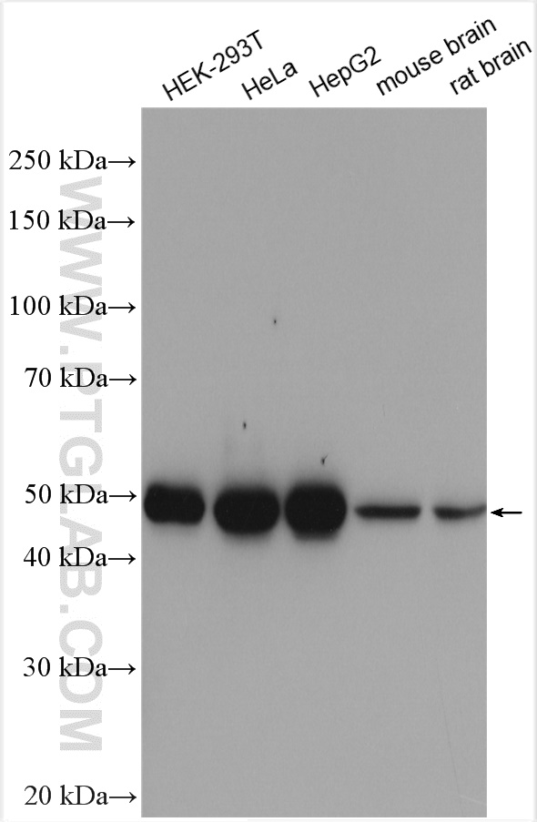
| Positive WB detected in | HEK-293T cells, mouse embryonic stem cells, Hela cells, HepG2 cells, mouse brain tissue, rat brain tissue |
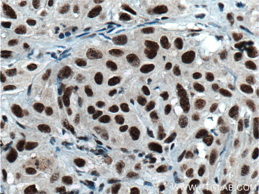
| Positive IHC detected in | human cervical cancer tissue Note: suggested antigen retrieval with TE buffer pH 9.0; (*) Alternatively, antigen retrieval may be performed with citrate buffer pH 6.0 |
| Positive IF/ICC detected in | HepG2 cells |
推荐稀释比
| 应用 | 推荐稀释比 |
|---|---|
| Western Blot (WB) | WB : 1:1000-1:6000 |
| Immunohistochemistry (IHC) | IHC : 1:50-1:500 |
| Immunofluorescence (IF)/ICC | IF/ICC : 1:50-1:500 |
| It is recommended that this reagent should be titrated in each testing system to obtain optimal results. | |
| Sample-dependent, Check data in validation data gallery. | |
产品信息
14774-1-AP targets HNRNPH1 in WB, IHC, IF/ICC, IP, CoIP, RIP, ELISA applications and shows reactivity with human, mouse, rat samples.
| 经测试应用 | WB, IHC, IF/ICC, ELISA Application Description |
| 文献引用应用 | WB, IHC, IF, IP, CoIP, RIP |
| 经测试反应性 | human, mouse, rat |
| 文献引用反应性 | human, mouse, pig |
| 免疫原 |
CatNo: Ag6506 Product name: Recombinant human HNRNPH1 protein Source: e coli.-derived, PGEX-4T Tag: GST Domain: 104-449 aa of BC001348 Sequence: SPDTANDGFVRLRGLPFGCSKEEIVQFFSGLEIVPNGITLPVDFQGRSTGEAFVQFASQEIAEKALKKHKERIGHRYIEIFKSSRAEVRTHYDPPRKLMAMQRPGPYDRPGAGRGYNSIGRGAGFERMRRGAYGGGYGGYDDYNGYNDGYGFGSDRFGRDLNYCFSGMSDHRYGDGGSTFQSTTGHCVHMRGLPYRATENDIYNFFSPLNPVRVHIEIGPDGRVTGEADVEFATHEDAVAAMSKDKANMQHRYVELFLNSTAGASGGAYEHRYVELFLNSTAGASGGAYGSQMMGGMGLSNQSSYGGPASQQLSGGYGGGYGGQSSMSGYDQVLQENSSDFQSNIA 种属同源性预测 |
| 宿主/亚型 | Rabbit / IgG |
| 抗体类别 | Polyclonal |
| 产品类型 | Antibody |
| 全称 | heterogeneous nuclear ribonucleoprotein H1 (H) |
| 别名 | Heterogeneous nuclear ribonucleoprotein H, N-terminally processed, hnRNP H, hnRNPH, HNRPH, HNRPH1 |
| 计算分子量 | 49 kDa |
| 观测分子量 | 49-50 kDa |
| GenBank蛋白编号 | BC001348 |
| 基因名称 | HNRNPH1 |
| Gene ID (NCBI) | 3187 |
| RRID | AB_2120339 |
| 偶联类型 | Unconjugated |
| 形式 | Liquid |
| 纯化方式 | Antigen affinity purification |
| UNIPROT ID | P31943 |
| 储存缓冲液 | PBS with 0.02% sodium azide and 50% glycerol, pH 7.3. |
| 储存条件 | Store at -20°C. Stable for one year after shipment. Aliquoting is unnecessary for -20oC storage. |
背景介绍
The heterogeneous nuclear ribonucleoprotein (hnRNP) complexes which provide the substrate for the processing events that pre-mRNAs undergo before becoming functional, translatable mRNAs in the cytoplasm. HNRNPH1 is one component of hnRNP complex and mediates pre-mRNA alternative splicing regulation [PMID:11003644]. Together with CUGBP1, it inhibits IR pre-mRNA exon 11 inclusion in myoblast [PMID: 16946708].
实验方案
| Product Specific Protocols | |
|---|---|
| IF protocol for HNRNPH1 antibody 14774-1-AP | Download protocol |
| IHC protocol for HNRNPH1 antibody 14774-1-AP | Download protocol |
| WB protocol for HNRNPH1 antibody 14774-1-AP | Download protocol |
| Standard Protocols | |
|---|---|
| Click here to view our Standard Protocols |
发表文章
| Species | Application | Title |
|---|---|---|
Nat Struct Mol Biol TDP-43 aggregation induced by oxidative stress causes global mitochondrial imbalance in ALS. | ||
Nucleic Acids Res Corrigendum to article "Quantitative proteomics reveals that long non-coding RNA MALAT1 interacts with DBC1 to regulate p53 acetylation''. | ||
Acta Neuropathol Transportin 1 accumulates specifically with FET proteins but no other transportin cargos in FTLD-FUS and is absent in FUS inclusions in ALS with FUS mutations. | ||
Nucleic Acids Res Quantitative proteomics reveals that long non-coding RNA MALAT1 interacts with DBC1 to regulate p53 acetylation. | ||
FASEB J 5' UTR variants in the quantitative trait gene Hnrnph1 support reduced 5' UTR usage and hnRNP H protein as a molecular mechanism underlying reduced methamphetamine sensitivity. | ||
Biomedicines C9orf72 Hexanucleotide Repeat Expansion-Related Neuropathology Is Attenuated by Nasal Rifampicin in Mice. |





