验证数据展示
经过测试的应用
| Positive WB detected in | HeLa cells, HEK-293 cells, HepG2 cells, K-562 cells, Jurkat cells, NIH/3T3 cells, HSC-T6 cells |
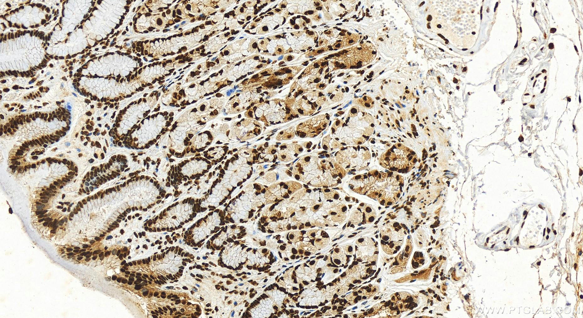
| Positive IHC detected in | human stomach tissue, mouse colon tissue Note: suggested antigen retrieval with TE buffer pH 9.0; (*) Alternatively, antigen retrieval may be performed with citrate buffer pH 6.0 |
| Positive IF/ICC detected in | HeLa cells |
推荐稀释比
| 应用 | 推荐稀释比 |
|---|---|
| Western Blot (WB) | WB : 1:5000-1:50000 |
| Immunohistochemistry (IHC) | IHC : 1:1000-1:4000 |
| Immunofluorescence (IF)/ICC | IF/ICC : 1:500-1:2000 |
| It is recommended that this reagent should be titrated in each testing system to obtain optimal results. | |
| Sample-dependent, Check data in validation data gallery. | |
产品信息
82798-3-RR targets HNRNPC in WB, IHC, IF/ICC, ELISA applications and shows reactivity with human, mouse, rat samples.
| 经测试应用 | WB, IHC, IF/ICC, ELISA Application Description |
| 经测试反应性 | human, mouse, rat |
| 免疫原 |
CatNo: Ag2356 Product name: Recombinant human HNRNPC protein Source: e coli.-derived, PGEX-4T Tag: GST Domain: 1-293 aa of BC003394 Sequence: MASNVTNKTDPRSMNSRVFIGNLNTLVVKKSDVEAIFSKYGKIVGCSVHKGFAFVQYVNERNARAAVAGEDGRMIAGQVLDINLAAEPKVNRGKAGVKRSAAEMYGSSFDLDYDFQRDYYDRMYSYPARVPPPPPIARAVVPSKRQRVSGNTSRRGKSGFNSKSGQRGSSKSGKLKGDDLQAIKKELTQIKQKVDSLLENLEKIEKEQSKQAVEMKNDKSEEEQSSSSVKKDETNVKMESEGGADDSAEEGDLLDDDDNEDRGDDQLELIKDDEKEAEEGEDDRDSANGEDDS 种属同源性预测 |
| 宿主/亚型 | Rabbit / IgG |
| 抗体类别 | Recombinant |
| 产品类型 | Antibody |
| 全称 | heterogeneous nuclear ribonucleoprotein C (C1/C2) |
| 别名 | HNRPC, hnRNP C1/C2, HNRNP, C2, C1 |
| 计算分子量 | 32 kDa |
| 观测分子量 | 36-40 kDa |
| GenBank蛋白编号 | BC003394 |
| 基因名称 | HNRNPC |
| Gene ID (NCBI) | 3183 |
| RRID | AB_3086542 |
| 偶联类型 | Unconjugated |
| 形式 | Liquid |
| 纯化方式 | Protein A purification |
| UNIPROT ID | P07910 |
| 储存缓冲液 | PBS with 0.02% sodium azide and 50% glycerol, pH 7.3. |
| 储存条件 | Store at -20°C. Stable for one year after shipment. Aliquoting is unnecessary for -20oC storage. |
实验方案
| Product Specific Protocols | |
|---|---|
| IF protocol for HNRNPC antibody 82798-3-RR | Download protocol |
| IHC protocol for HNRNPC antibody 82798-3-RR | Download protocol |
| WB protocol for HNRNPC antibody 82798-3-RR | Download protocol |
| Standard Protocols | |
|---|---|
| Click here to view our Standard Protocols |






