验证数据展示
经过测试的应用
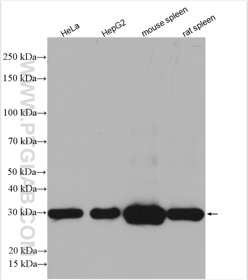
| Positive WB detected in | HeLa cells, HepG2 cells, mouse spleen tissue, rat spleen tissue, L02 cells |
| Positive IP detected in | HeLa cells |
| Positive IHC detected in | mouse spleen tissue Note: suggested antigen retrieval with TE buffer pH 9.0; (*) Alternatively, antigen retrieval may be performed with citrate buffer pH 6.0 |
| Positive IF-P detected in | mouse spleen tissue |
| Positive IF-Fro detected in | mouse spleen tissue |
| Positive FC (Intra) detected in | HeLa cells |
推荐稀释比
| 应用 | 推荐稀释比 |
|---|---|
| Western Blot (WB) | WB : 1:5000-1:50000 |
| Immunoprecipitation (IP) | IP : 0.5-4.0 ug for 1.0-3.0 mg of total protein lysate |
| Immunohistochemistry (IHC) | IHC : 1:50-1:500 |
| Immunofluorescence (IF)-P | IF-P : 1:50-1:500 |
| Immunofluorescence (IF)-FRO | IF-FRO : 1:50-1:500 |
| Flow Cytometry (FC) (INTRA) | FC (INTRA) : 0.40 ug per 10^6 cells in a 100 µl suspension |
| It is recommended that this reagent should be titrated in each testing system to obtain optimal results. | |
| Sample-dependent, Check data in validation data gallery. | |
产品信息
10701-1-AP targets HO-1/HMOX1 in WB, IHC, IF-P, IF-Fro, FC (Intra), IP, CoIP, ELISA applications and shows reactivity with human, mouse, rat samples.
| 经测试应用 | WB, IHC, IF-P, IF-Fro, FC (Intra), IP, ELISA Application Description |
| 文献引用应用 | WB, IHC, IF, IP, CoIP |
| 经测试反应性 | human, mouse, rat |
| 文献引用反应性 | human, mouse, rat, pig, monkey, chicken, bovine, hamster, goat |
| 免疫原 |
CatNo: Ag1190 Product name: Recombinant human HO-1 protein Source: e coli.-derived, PGEX-4T Tag: GST Domain: 1-288 aa of BC001491 Sequence: MERPQPDSMPQDLSEALKEATKEVHTQAENAEFMRNFQKGQVTRDGFKLVMASLYHIYVALEEEIERNKESPVFAPVYFPEELHRKAALEQDLAFWYGPRWQEVIPYTPAMQHYVKRLHEVGRTEPELLVAHAYTRYLGDLSGGQVLKKIAQKALDLPSSGEGLAFFTFPNIASATKFKQLYRSRMNSLEMTPAVRQRVIEEAKTAFLLNIQLFEELQELLTHDTKDQSPSRAPGLRQRASNKVQDSAPVETPRGKPPLNTRSQAPLLRWVLTLSFLVATVAVGLYAM 种属同源性预测 |
| 宿主/亚型 | Rabbit / IgG |
| 抗体类别 | Polyclonal |
| 产品类型 | Antibody |
| 全称 | heme oxygenase (decycling) 1 |
| 别名 | HMOX1, HO-1, bK286B10, EC:1.14.14.18, heme oxygenase (decycling) 1 |
| 计算分子量 | 33 kDa |
| 观测分子量 | 28-33 kDa |
| GenBank蛋白编号 | BC001491 |
| 基因名称 | HO-1 |
| Gene ID (NCBI) | 3162 |
| RRID | AB_2118685 |
| 偶联类型 | Unconjugated |
| 形式 | Liquid |
| 纯化方式 | Antigen affinity purification |
| UNIPROT ID | P09601 |
| 储存缓冲液 | PBS with 0.02% sodium azide and 50% glycerol, pH 7.3. |
| 储存条件 | Store at -20°C. Stable for one year after shipment. Aliquoting is unnecessary for -20oC storage. |
背景介绍
Heme oxygenase (HMOX1) catalyzes the first and rate-limiting step in the degradation of heme to yield equimolar quantities of biliverdin Ixa, carbon monoxide (CO), and iron. It has 3 isoforms: HO-1 is highly inducible, whereas HO-2 and HO-3 are constitutively expressed (PMID:10194478). Heme oxygenase-1 (HO-1) is expressed in many tissues and vascular smooth muscle cells, and endothelial cells (PMID:15451051) and has been identified as an important endogenous protective factor induced in many cell types by various stimulants, such as hemolysis, infiammatory cytokines,oxidative stress, heat shock, heavy metals, and endotoxin (PMID: 11522663). And the full-length HO-1 is very unstable and susceptible to truncation that generates an inactive, soluble form (28 kDa) (James R. Reed, Pharmacology, 535-568).
实验方案
| Product Specific Protocols | |
|---|---|
| FC protocol for HO-1/HMOX1 antibody 10701-1-AP | Download protocol |
| IF protocol for HO-1/HMOX1 antibody 10701-1-AP | Download protocol |
| IHC protocol for HO-1/HMOX1 antibody 10701-1-AP | Download protocol |
| IP protocol for HO-1/HMOX1 antibody 10701-1-AP | Download protocol |
| WB protocol for HO-1/HMOX1 antibody 10701-1-AP | Download protocol |
| Standard Protocols | |
|---|---|
| Click here to view our Standard Protocols |
发表文章
| Species | Application | Title |
|---|---|---|
Cell Metab Integrative genetic analysis identifies FLVCR1 as a plasma-membrane choline transporter in mammals | ||
Gut Histone methyltransferase Suv39h1 regulates hepatic stellate cell activation and is targetable in liver fibrosis | ||
Cell Metab Functional Genomics In Vivo Reveal Metabolic Dependencies of Pancreatic Cancer Cells. | ||
Bioact Mater A two-pronged approach to inhibit ferroptosis of MSCs caused by the iron overload in postmenopausal osteoporosis and promote osseointegration of titanium implant |










