验证数据展示
经过测试的应用
| Positive WB detected in | HUVEC cells, THP-1 cells, Raji cells |
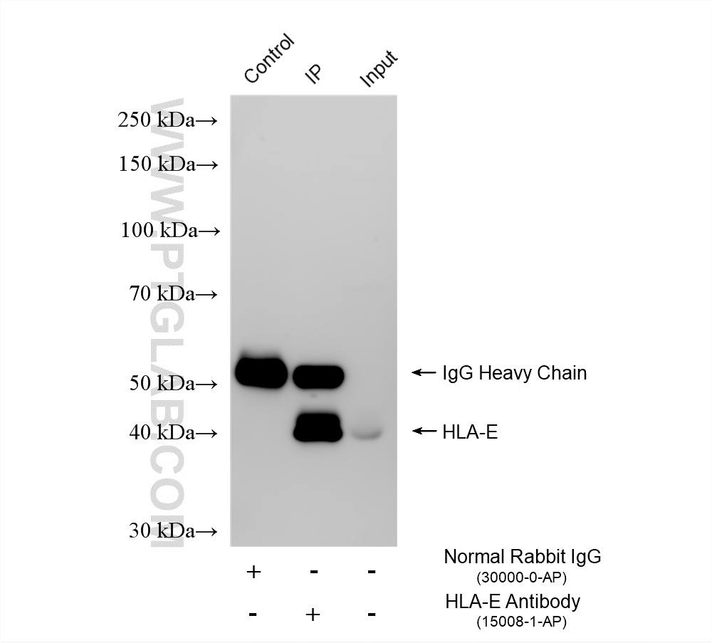
| Positive IP detected in | THP-1 cells |
推荐稀释比
| 应用 | 推荐稀释比 |
|---|---|
| Western Blot (WB) | WB : 1:2000-1:10000 |
| Immunoprecipitation (IP) | IP : 0.5-4.0 ug for 1.0-3.0 mg of total protein lysate |
| It is recommended that this reagent should be titrated in each testing system to obtain optimal results. | |
| Sample-dependent, Check data in validation data gallery. | |
产品信息
15008-1-AP targets HLA-E in WB, IP, ELISA applications and shows reactivity with human samples.
| 经测试应用 | WB, IP, ELISA Application Description |
| 经测试反应性 | human |
| 免疫原 |
CatNo: Ag6703 Product name: Recombinant human HLA-E protein Source: e coli.-derived, PGEX-4T Tag: GST Domain: 23-303 aa of BC002578 Sequence: SHSLKYFHTSVSRPGRGEPRFISVGYVDDTQFVRFDNDAASPRMVPRAPWMEQEGSEYWDRETRSARDTAQIFRVNLRTLRGYYNQSEAGSHTLQWMHGCELGPDRRFLRGYEQFAYDGKDYLTLNEDLRSWTAVDTAAQISEQKSNDASEAEHQRAYLEDTCVEWLHKYLEKGKETLLHLEPPKTHVTHHPISDHEATLRCWALGFYPAEITLTWQQDGEGHTQDTELVETRPAGDGTFQKWAAVVVPSGEEQRYTCHVQHEGLPEPVTLRWKPASQPTI 种属同源性预测 |
| 宿主/亚型 | Rabbit / IgG |
| 抗体类别 | Polyclonal |
| 产品类型 | Antibody |
| 全称 | major histocompatibility complex, class I, E |
| 别名 | HLA 6.2, HLA E, HLA-6.2, HLAE, MHC class I antigen E |
| 计算分子量 | 40 kDa |
| 观测分子量 | 40-50 kDa |
| GenBank蛋白编号 | BC002578 |
| 基因名称 | HLA-E |
| Gene ID (NCBI) | 3133 |
| RRID | AB_1557428 |
| 偶联类型 | Unconjugated |
| 形式 | Liquid |
| 纯化方式 | Antigen affinity purification |
| UNIPROT ID | P13747 |
| 储存缓冲液 | PBS with 0.02% sodium azide and 50% glycerol, pH 7.3. |
| 储存条件 | Store at -20°C. Stable for one year after shipment. Aliquoting is unnecessary for -20oC storage. |
背景介绍
Human major histocompatibility complex (MHC) antigens, also referred to as human leukocyte antigens (HLA), are encoded by genes located on the short arm of chromosome 6 (6p21.3). There are two classes of HLA antigens: class I and class II. This class I molecules are membrane glycoproteins composed of a heavy (alpha) chain which is encoded by a HLA class I gene, and β2-microglobulin light (beta) chain. The most extensively characterized members of the HLA class I gene family are the genes encoding the major transplantation antigenes, HLA-A, B and C. HLA-E is a non-classical MHC class I molecule. HLA-E is frequently overexpressed in tumor diseases, transplants and virus-infected cells and represents an immunomodulatory molecule by binding to the receptors CD94/NKG2A, -B and -C on NK and T cells. Due to its immune suppressive features HLA-E expression might represent an important mechanism of tumors to escape immune surveillance.(PMID: 667938; 3375250; 2249951; 27589686)
实验方案
| Product Specific Protocols | |
|---|---|
| IP protocol for HLA-E antibody 15008-1-AP | Download protocol |
| WB protocol for HLA-E antibody 15008-1-AP | Download protocol |
| Standard Protocols | |
|---|---|
| Click here to view our Standard Protocols |


