验证数据展示
经过测试的应用
| Positive WB detected in | HL-60 cells, HeLa cells, HepG2 cells, Jurkat cells |
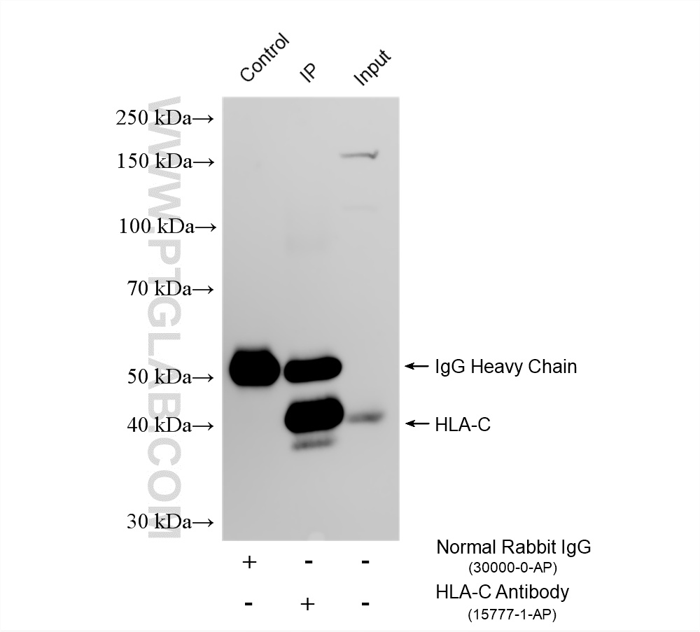
| Positive IP detected in | HepG2 cells |
| Positive IHC detected in | human tonsillitis tissue Note: suggested antigen retrieval with TE buffer pH 9.0; (*) Alternatively, antigen retrieval may be performed with citrate buffer pH 6.0 |
| Positive IF/ICC detected in | HeLa cells |
推荐稀释比
| 应用 | 推荐稀释比 |
|---|---|
| Western Blot (WB) | WB : 1:2000-1:16000 |
| Immunoprecipitation (IP) | IP : 0.5-4.0 ug for 1.0-3.0 mg of total protein lysate |
| Immunohistochemistry (IHC) | IHC : 1:400-1:1600 |
| Immunofluorescence (IF)/ICC | IF/ICC : 1:250-1:1000 |
| It is recommended that this reagent should be titrated in each testing system to obtain optimal results. | |
| Sample-dependent, Check data in validation data gallery. | |
产品信息
15777-1-AP targets HLA class I (HLA-C) in WB, IHC, IF/ICC, IP, ELISA, Cell treatment applications and shows reactivity with human samples.
| 经测试应用 | WB, IHC, IF/ICC, IP, ELISA Application Description |
| 文献引用应用 | WB, IHC, IF, Cell treatment |
| 经测试反应性 | human |
| 文献引用反应性 | human, mouse |
| 免疫原 |
CatNo: Ag8461 Product name: Recombinant human HLA class I (HLA-C) protein Source: e coli.-derived, PGEX-4T Tag: GST Domain: 27-305 aa of BC007814 Sequence: SMRYFDTAVSRPGRGEPRFISVGYVDDTQFVRFDSDAASPRGEPRAPWVEQEGPEYWDRETQKYKRQAQADRVSLRNLRGYYNQSEDGSHTLQRMSGCDLGPDGRLLRGYDQSAYDGKDYIALNEDLRSWTAADTAAQITQRKLEAARAAEQLRAYLEGTCVEWLRRYLENGKETLQRAEPPKTHVTHHPLSDHEATLRCWALGFYPAEITLTWQRDGEDQTQDTELVETRPAGDGTFQKWAAVVVPSGQEQRYTCHMQHEGLQEPLTLSWEPSSQPTI 种属同源性预测 |
| 宿主/亚型 | Rabbit / IgG |
| 抗体类别 | Polyclonal |
| 产品类型 | Antibody |
| 全称 | major histocompatibility complex, class I, C |
| 别名 | HLA-C, HLA C, HLA class I histocompatibility antigen, C alpha chain, HLA Cw, HLA Cw12 |
| 计算分子量 | 366 aa, 41 kDa |
| 观测分子量 | 44 kDa |
| GenBank蛋白编号 | BC007814 |
| 基因名称 | HLA class I (HLA-C) |
| Gene ID (NCBI) | 3107 |
| RRID | AB_1639892 |
| 偶联类型 | Unconjugated |
| 形式 | Liquid |
| 纯化方式 | Antigen affinity purification |
| UNIPROT ID | P10321 |
| 储存缓冲液 | PBS with 0.02% sodium azide and 50% glycerol, pH 7.3. |
| 储存条件 | Store at -20°C. Stable for one year after shipment. Aliquoting is unnecessary for -20oC storage. |
背景介绍
Human major histocompatibility complex (MHC) antigens, also referred to as human leukocyte antigens (HLA), are encoded by genes located on the short arm of chromosome 6 (6p21.3). There are two classes of HLA antigens: class I (HLA-A, B and C) and class II (HLA-D). This class I molecules are polymorphic membrane glycoproteins composed of a heavy (alpha) chain (44 kDa) which is encoded by a HLA class I gene (HLA-A, B or C), and β2-microglobulin light (beta) chain (12 kDa). They are involved in the presentation of foreign antigens to the immune system. This polyclonal antibody raised against human HLA-C can also react with HLA-A and HLA-B. (PMID: 667938; 3375250)
实验方案
| Product Specific Protocols | |
|---|---|
| IF protocol for HLA class I (HLA-C) antibody 15777-1-AP | Download protocol |
| IHC protocol for HLA class I (HLA-C) antibody 15777-1-AP | Download protocol |
| IP protocol for HLA class I (HLA-C) antibody 15777-1-AP | Download protocol |
| WB protocol for HLA class I (HLA-C) antibody 15777-1-AP | Download protocol |
| Standard Protocols | |
|---|---|
| Click here to view our Standard Protocols |
发表文章
| Species | Application | Title |
|---|---|---|
J Matern Fetal Neonatal Med HLA-C promotes proliferation and cell cycle progression in trophoblast cells | ||
Front Pharmacol Proteomics study the potential targets for Rifampicin-resistant spinal tuberculosis | ||
Neuroscience HLA is a potent immunoinflammatory target in asymptomatic Alzheimer's disease | ||
Nat Commun Neoantigen enriched biomimetic nanovaccine for personalized cancer immunotherapy | ||
J Reprod Immunol Endometrial microbiota in maternal-fetal tolerance: An in vitro study of extravillous trophoblasts and uNK cells. |





